ict Опубликовано 21 июня, 2021 Поделиться Опубликовано 21 июня, 2021 первый снимок 2018г. второй свежий. Зуб был запломиброван больше 10 лет назад. За последние года киста увеличилась в размерах, вероятно пломба подтекала. Зуб не беспокоил. Что делать с кистой? Достаточно ли перепломбировать каналы? Ссылка на комментарий
dentikl Опубликовано 21 июня, 2021 Поделиться Опубликовано 21 июня, 2021 ракурсы срезов разные,размеры не проставлены.Лучше не стало точно.А чем и какой методикой пломбировали и как клинически проявляет?(что беспокоит?) 1 Ссылка на комментарий
ict Опубликовано 22 июня, 2021 Автор Поделиться Опубликовано 22 июня, 2021 (изменено) изначально пломбировалось вероятно резорцином, каналы вскрывались с трудом, легко прошло ультразвуком. Никак не беспокоило, редко незаметные ощущения типа почесывания при жевании. Пломба была с краю плоха, поэтому решил поменять. При вскрытии проблемного канала было подтекание крови, что насторожило врача, подумал что перфорировал корень. На неделю временно оставил под временной пломбой, зуб никак не беспокоил. Так как по рентгену не смог ничего увидеть (что канал нормально пройден), то запломбировал (второй снимок в первом посте) триоксидентом (первый снимок в первом посте), сверху жидкотекучий композит и оставил под временной пломбой. Промывал 0.5%, а не 3% раствором. Нашел еще снимок 2019 года, киста на 0.1 мм выросла за год по сравнению со снимком 2018г. (линию провел). Сейчас думаю оставить так и поставить постоянную пломбу или имеет смысл снова вскрыть и что-то делать. Прикрепил снимок от 2019 года Изменено 22 июня, 2021 пользователем ict Ссылка на комментарий
dentikl Опубликовано 22 июня, 2021 Поделиться Опубликовано 22 июня, 2021 Вы-точно пациент? Ссылка на комментарий
dentikl Опубликовано 22 июня, 2021 Поделиться Опубликовано 22 июня, 2021 было бы неплохо открыть вот тот,проблемный, канал и сделать несколько обычных снимков с инструментом (что бы увидеть -куда открылись) Ссылка на комментарий
ict Опубликовано 24 июня, 2021 Автор Поделиться Опубликовано 24 июня, 2021 не стал выскрывать, поставил постоянную пломбу обычный снимок с инстументом видел, по нему ничего не видно - прямая. По воспоминаниям врача до конца не прошел, возможно склерозирован. Гноя, жидкости не было, только кровь. Возможно поступала из ответвления (на срезе можно заметить). Осенью сделаю кт, посмотрю что с гранулемой Ссылка на комментарий
dentikl Опубликовано 25 июня, 2021 Поделиться Опубликовано 25 июня, 2021 так консультация вроде наша?Вы вроде задали вопрос.Мы вроде попросили снимок с инструментом.Вам ответ нужен? Ссылка на комментарий
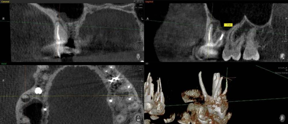
ict Опубликовано 27 мая, 2022 Автор Поделиться Опубликовано 27 мая, 2022 для истории. Через полгода появился свищ у проблемного канала. Перед резекцией верхушки корня хирург попросил перепломбировать канал. думаю перепломбировать не было смысла до конца все равно 0.9мм не смогли пройти, но и вреда не было - верхушка спиливалась, пломбу высверлили в центре и пломба полностью не снималась. Думаю верхушка с канальцами и сгнила. На КТ (справа внизу) при выборе отображения плотности видно, что у верхушки на 1.7мм есть ступенька с меньшей твердостью (декальцинирован) Ссылка на комментарий
Рекомендуемые сообщения
Для публикации сообщений создайте учётную запись или авторизуйтесь
Вы должны быть пользователем, чтобы оставить комментарий
Создать аккаунт
Зарегистрируйте новый аккаунт в нашем сообществе. Это очень просто!
Регистрация нового пользователяВойти
Уже есть аккаунт? Войти в систему.
Войти