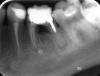
Nataliko Опубликовано 19 ноября, 2008 Поделиться Опубликовано 19 ноября, 2008 Доброго времени суток. Недавно была у стоматолога. В числе прочих, вопрос коснулся непростого зуба.7 лет назад я лечила хронический пульпит нижней 6. Лечение длилось 2 мес., во время лечения зуб сильно болел. Предлагали удалять, но я отказалась. В итоге удалось сделать. В последний визит к стоматологу этот зуб пока не трогали, только сделали рентген. Предложили два варианта: удалить или лечить. Рекомендуют удалять, аргументируют, что лечить сложно, да и результата может не будет.Прошу прокомментировать с профессиональной коллективной точки зрения, стоит ли лечить???Заранее благодарна. Рентген прикреплен к посту. Ссылка на комментарий
Korabahtoff Опубликовано 19 ноября, 2008 Поделиться Опубликовано 19 ноября, 2008 Удалять. Ссылка на комментарий
АНРОША Опубликовано 19 ноября, 2008 Поделиться Опубликовано 19 ноября, 2008 Лечить там уже, увы, нечего... только удалять Ссылка на комментарий
Bier Опубликовано 19 ноября, 2008 Поделиться Опубликовано 19 ноября, 2008 тот, кто предлагает лечить - просто разводит вас на деньги. Однозначное удаление. И зря вы в прошлый раз его сохранили. Только кость потеряли. Удаление и затем имплантация, пока это возможно. Ссылка на комментарий
Nataliko Опубликовано 20 ноября, 2008 Автор Поделиться Опубликовано 20 ноября, 2008 Всем большое спасибо. Придется действительно удалить... Ссылка на комментарий
Doc Опубликовано 20 ноября, 2008 Поделиться Опубликовано 20 ноября, 2008 Доброго времени суток. Недавно была у стоматолога. В числе прочих, вопрос коснулся непростого зуба.7 лет назад я лечила хронический пульпит нижней 6. Лечение длилось 2 мес., во время лечения зуб сильно болел. Предлагали удалять, но я отказалась. В итоге удалось сделать. В последний визит к стоматологу этот зуб пока не трогали, только сделали рентген. Предложили два варианта: удалить или лечить. Рекомендуют удалять, аргументируют, что лечить сложно, да и результата может не будет.Прошу прокомментировать с профессиональной коллективной точки зрения, стоит ли лечить???Заранее благодарна. Рентген прикреплен к посту. Удалять его нужно было семь лет назад. Те, кто предлагают лечить его сегодня вызывают недоумение. Ссылка на комментарий
Ст@ся Опубликовано 21 ноября, 2008 Поделиться Опубликовано 21 ноября, 2008 Удалять - и при первой же возможности ставить имплант, чтобы не потерять кость на семерке Ссылка на комментарий
Рекомендуемые сообщения
Для публикации сообщений создайте учётную запись или авторизуйтесь
Вы должны быть пользователем, чтобы оставить комментарий
Создать аккаунт
Зарегистрируйте новый аккаунт в нашем сообществе. Это очень просто!
Регистрация нового пользователяВойти
Уже есть аккаунт? Войти в систему.
Войти