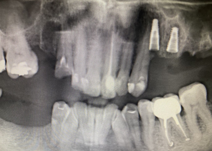
It'sGeorgy Опубликовано 28 мая, 2021 Поделиться Опубликовано 28 мая, 2021 Здравствуйте. 21.05.21: Язычносмещенный разрез, удаление оставленного корня 2.4, удаление 2.6 и 3.8. Имплантаты 2.4, 2.5. Пошел сделал снимок: Не понравился дистальный наклон 2.5, пошел перекручивать. Пока крутил-вертел торк с 25 упал до пальцевого. Принял решение установки коротких формиков, ССТ вестибулярно и ушивания наглухо. Сегодня пациент пришел на осмотр к другому доктору, а там вот такая печалька: Какие ошибки предполагаю сам: 1. Слишком толстый трансп, ушивание которого вызвало перенатяжение 2. Медиальный шов, который держит трансп совсем хиленький и, на самом деле, мало что держит. И главный вопрос: что делать? Оставлять и надеяться, что что-то приживется или полностью убирать? Ссылка на комментарий
stommm Опубликовано 28 мая, 2021 Поделиться Опубликовано 28 мая, 2021 Не трогайте. Что отвалится, то отвалится само со временем 1 1 Ссылка на комментарий
АнтонТЛТ Опубликовано 28 мая, 2021 Поделиться Опубликовано 28 мая, 2021 Пусть пока побудет, нижние слои хоть немного да прилипли. Рот не санирован, гигиена перед операцией не сделана. Какой смысл в свободном трансплантате был? Ссылка на комментарий
Карен Аванесов Опубликовано 29 мая, 2021 Поделиться Опубликовано 29 мая, 2021 Ждать, полоскать пассивно или лизобакт, а на будущее, при таком шикарной ретромолярной области, не трогать болезненное небо. 11 часов назад, АнтонТЛТ сказал: Пусть пока побудет, нижние слои хоть немного да прилипли. Рот не санирован, гигиена перед операцией не сделана. Какой смысл в свободном трансплантате был? Доктор получил опыт и выводы сделает. 1 Ссылка на комментарий
Irouil Опубликовано 29 мая, 2021 Поделиться Опубликовано 29 мая, 2021 (изменено) Я бы все, что совсем некротическое, аккуратно срезал Изменено 29 мая, 2021 пользователем Irouil Ссылка на комментарий
Женька Опубликовано 29 мая, 2021 Поделиться Опубликовано 29 мая, 2021 Не слишком ли высоко трансплантат забран? не критикую, только интересуюсь. 1 Ссылка на комментарий
It'sGeorgy Опубликовано 29 мая, 2021 Автор Поделиться Опубликовано 29 мая, 2021 (изменено) Всем спасибо за отклик. Через 2 мес, если не забуду, выложу фото результата. 28.05.2021 в 22:17, АнтонТЛТ сказал: Какой смысл в свободном трансплантате был? По плану было увеличить объем вестибулярно и толщину окклюзионно, чтобы в дальнейшем, на этапе времяшек, дополнительно сместить все в сторону этого дефекта, чтобы его закрыть: 11 часов назад, Женька сказал: Не слишком ли высоко трансплантат забран? не критикую, только интересуюсь. Сложно сказать. При заборе трансп с неба я иглой во время анестезии смотрю участок, где достаточная толщина. Вероятно, в момент операции, эта область показалась наиболее перспективной с этой точки зрения. Сейчас, как сказал @Карен Аванесов , я бы вообще с бугра взял. Да и в целом, с десной бы работал на этапе высоких формиков. Изменено 29 мая, 2021 пользователем It'sGeorgy Ссылка на комментарий
АнтонТЛТ Опубликовано 30 мая, 2021 Поделиться Опубликовано 30 мая, 2021 Если так хочется по высоте добавить мягких тканей, то лучше на питающей ножке трансплантат (vip-ct). А тут получился толстый трансплантат, который не успел нормально прорасти сосудами, да ещё слишком близко к линии разреза. Мобилизация вестибулярного лоскута была? Если нет, то может швами ещё передавил его питание. Пациент курит? 1 Ссылка на комментарий
Irouil Опубликовано 30 мая, 2021 Поделиться Опубликовано 30 мая, 2021 ИМХО изначально дизайн разреза и план трансплантации мало совместимы. Покрывной (и питающий) лоскут получился очень длинным, он себя с горем пополам кровью обеспечивает, а уж стать источником и для графта - это тяжело. Если планируете графтить - лучше сразу разрез стараться посередине гребня размещать, а если не планировали, а получилось как получилось - действительно лучше как советует @АнтонТЛТ , брать самый надёжный вариант 1 Ссылка на комментарий
It'sGeorgy Опубликовано 2 июня, 2021 Автор Поделиться Опубликовано 2 июня, 2021 @АнтонТЛТ @Irouil Спасибо большое за ваши мнения. 30.05.2021 в 10:13, АнтонТЛТ сказал: Мобилизация вестибулярного лоскута была? не было 30.05.2021 в 10:13, АнтонТЛТ сказал: Пациент курит? нет 30.05.2021 в 10:13, АнтонТЛТ сказал: да ещё слишком близко к линии разреза подскажите, на каком расстоянии от линии разреза в идеале располагать трансплантат? Ссылка на комментарий
АнтонТЛТ Опубликовано 2 июня, 2021 Поделиться Опубликовано 2 июня, 2021 (изменено) Я правильно понимаю, что установлены короткие фдм, подшит трансплантат, не было мобилизации и рана ушита наглухо? Если да, то за счёт чего получилось ушить наглухо? Трансплантат получается не вестибулярно, а окклюзионно пришит. И рана ушита с чрезмерным натяжением. Есть фото со швами? Трансплантат фиксирован обычным П-образным швом? Изменено 2 июня, 2021 пользователем АнтонТЛТ Ссылка на комментарий
АнтонТЛТ Опубликовано 2 июня, 2021 Поделиться Опубликовано 2 июня, 2021 А вообще лучше загрузить все фотки с операции, тогда можно будет обсудить все технические ошибки) Ссылка на комментарий
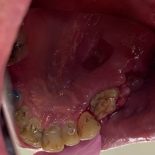
It'sGeorgy Опубликовано 12 июня, 2021 Автор Поделиться Опубликовано 12 июня, 2021 Прошу прощения, что долго не получилось ответить. 03.06.2021 в 00:11, АнтонТЛТ сказал: Я правильно понимаю, что установлены короткие фдм, подшит трансплантат, не было мобилизации и рана ушита наглухо? Верно. 03.06.2021 в 00:11, АнтонТЛТ сказал: Если да, то за счёт чего получилось ушить наглухо? Выходит, что за счет излишнего натяжения. Но, во время операции, мне не показалось, что я сильно что-то тягу. 03.06.2021 в 00:11, АнтонТЛТ сказал: Трансплантат получается не вестибулярно, а окклюзионно пришит. Да. В целом, хотел, чтобы было так: Трансп лежит частично над имплантатами, частично - вестибулярно под лоскутом. Лоскут фиксируется небно . 03.06.2021 в 00:11, АнтонТЛТ сказал: Трансплантат фиксирован обычным П-образным швом? Да, двумя. 03.06.2021 в 00:11, АнтонТЛТ сказал: Есть фото со швами? К сожалению, нет. Вот так вот это выглядело вчера. По-моему, десна возвращается в состояние, которое было до операции. Дальше по плану долгожданная чистка + коррекция домашней гигиены и лечение всего того, что надо полечить. Через 1.5 мес буду открывать имплантаты и устанавливать высокие формики и думать, что дальше. Ссылка на комментарий
АнтонТЛТ Опубликовано 12 июня, 2021 Поделиться Опубликовано 12 июня, 2021 (изменено) Какие ошибки вижу. 1)Разрез смещен небно, сосуды кровоснабжающие десну идут вестибулярно и небно, на вершине альвеолярного отростка самые конечные "ветви", т.е. самые тонкие. Из-за небного разреза край вестибулярного лоскута потерял часть питания. 2) Лоскут ушит с натяжением, т.к. не было мобилизации, и где были швы лоскут пережат. Опять же нарушение питания. 3) Трансплантат пришит большими П-образным швами, которые пережимают сосуды вестибулярного лоскута. 4) Трансплантат лежит поверх имплантатов, значит ушивание раны было не стык в стык. И рассчитывать на заживление первичным натяжением не особо нужно. 5) Про толщину трансплантата уже было сказано, могу добавить что трансплантат должен питаться от покрывающего лоскута и от кости. Площадь контакта с костью снижена из-за наличия имплантатов. Изменено 12 июня, 2021 пользователем АнтонТЛТ 3 Ссылка на комментарий
Irouil Опубликовано 12 июня, 2021 Поделиться Опубликовано 12 июня, 2021 Практически слово в слово согласен с Антоном Потребители кровоснабжения - трансплант и края раны. Доноры - кость и основания лоскутов. В Вашем случае графт отнимает у вестибулярного края раны и от основания, и от кости. Сам он, при этом, недополучает от кости из-за железок, на которых лежит, следовательно просит у лоскута еще больше. Зато небный край раны получает избыток питания, который там нафиг не нужен. 1 Ссылка на комментарий
It'sGeorgy Опубликовано 12 июня, 2021 Автор Поделиться Опубликовано 12 июня, 2021 @АнтонТЛТ @Irouil Спасибо большое, учту ошибки в будущем. Ссылка на комментарий
Рекомендуемые сообщения
Для публикации сообщений создайте учётную запись или авторизуйтесь
Вы должны быть пользователем, чтобы оставить комментарий
Создать аккаунт
Зарегистрируйте новый аккаунт в нашем сообществе. Это очень просто!
Регистрация нового пользователяВойти
Уже есть аккаунт? Войти в систему.
Войти