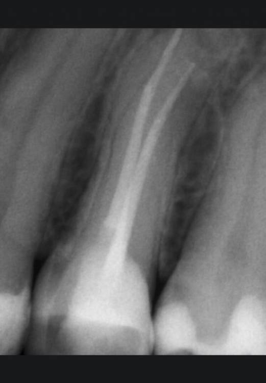
Selena 85 Опубликовано 12 мая, 2021 Поделиться Опубликовано 12 мая, 2021 (изменено) Добрый вечер! Подскажите пожалуйста могут ли симптомы напоминать трещину ? лечила зуб эндодонтически 14, ждала установки коронки. В общем зуб берегла, но как то пища попала между зубами и я машинально ? попробовала пару раз достать ее как бы расклиня зуб ногтем. и после чего начала чувствовать некий дискомфорт в верхней части коронки зуба ( где десна). Скорее даже в месте связки зуба с десной... При надкусывании также ощущался дискомфорт легкий . Побежала быстрее к своему доктору. Доктор пошатал зуб, посмотрел на него в микроскоп. Сказал что ничего не видит. При пошатывании зуба не ощущалось боли. Также обточил под коронку зуб ( точил под микроскопом). одели временную коронку. Прошло 2 дня и все равно при нажатии на временную коронку с этого края слегка чувствуется дискомфорт ( уже меньше) . может ли это напоминать трещину или я напрасно переживаю? Также прикрепляю снимок который сделали и тоже вроде не нашли там трещин... Изменено 12 мая, 2021 пользователем Selena 85 Ссылка на комментарий
St. Опубликовано 12 мая, 2021 Поделиться Опубликовано 12 мая, 2021 Добрый день. Больше похоже на травму десны. Постарайтесь на будущее не давить на десну ногтем и очень аккуратно с зубочистками, т.к. легко нечаяно себя травмировать. Для удаления застрявшей пищи лучше использовать зубную нить, она "нежнее" 1 Ссылка на комментарий
Selena 85 Опубликовано 12 мая, 2021 Автор Поделиться Опубликовано 12 мая, 2021 Только что, St. сказал: Добрый день. Больше похоже на травму десны. Постарайтесь на будущее не давить на десну ногтем и очень аккуратно с зубочистками, т.к. легко нечаяно себя травмировать. Для удаления застрявшей пищи лучше использовать зубную нить, она "нежнее" Спасибо. Я себя сама очень ругаю и огромный мне урок на будущее... спасибо что ответили Ссылка на комментарий
Рекомендуемые сообщения
Для публикации сообщений создайте учётную запись или авторизуйтесь
Вы должны быть пользователем, чтобы оставить комментарий
Создать аккаунт
Зарегистрируйте новый аккаунт в нашем сообществе. Это очень просто!
Регистрация нового пользователяВойти
Уже есть аккаунт? Войти в систему.
Войти