Карен Аванесов Опубликовано 10 мая, 2021 Поделиться Опубликовано 10 мая, 2021 Через 2.5 месяца к ортопеду. 5 Ссылка на комментарий
Irouil Опубликовано 10 мая, 2021 Поделиться Опубликовано 10 мая, 2021 Такое впечатление создаётся, что у моляра можно было побольше тканей перекинуть вестибулярно склада вкусняшек там не будет теперь? Ссылка на комментарий
It'sGeorgy Опубликовано 10 мая, 2021 Поделиться Опубликовано 10 мая, 2021 (изменено) Если есть фото и снимок после протезирования, добавьте пожалуйста. Правильно ли я понимаю, что у дистального имплантата мультиюнитом выход шахты будет как раз посередине 1.7? Что думаете о таком концепте? (взял со Штраумянского недавнего онлайн-форума) Изменено 10 мая, 2021 пользователем It'sGeorgy Ссылка на комментарий
Карен Аванесов Опубликовано 10 мая, 2021 Автор Поделиться Опубликовано 10 мая, 2021 16 минут назад, Irouil сказал: Такое впечатление создаётся, что у моляра можно было побольше тканей перекинуть вестибулярно склада вкусняшек там не будет теперь? Вполне хватает всего. Наличие или отсутствие зубной бляшки, все на совести пациентов. Ссылка на комментарий
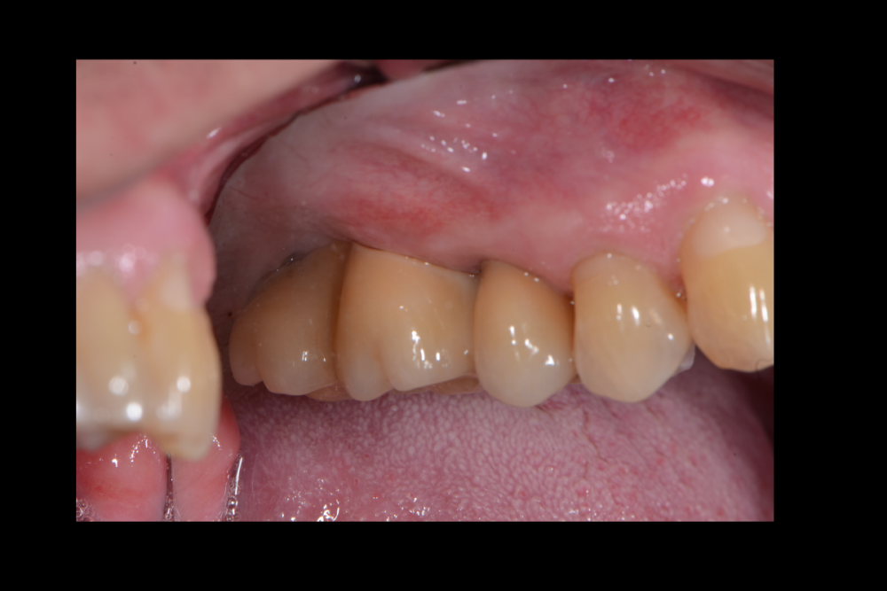
Карен Аванесов Опубликовано 10 мая, 2021 Автор Поделиться Опубликовано 10 мая, 2021 17 минут назад, It'sGeorgy сказал: Если есть фото и снимок после протезирования, добавьте пожалуйста. Правильно ли я понимаю, что у дистального имплантата мультиюнитом выход шахты будет как раз посередине 1.7? Что думаете о таком концепте? (взял со Штраумянского недавнего онлайн-форума) Фото покажу позже. Да, возможно так и будет. Очень здорово что Вы смотрите такие онлайн-форумы, наверно поучительно. Моей работе на слайде 7 лет, хирургия и ортопедия моя, зуботехническая работа такая как есть, фиксация цементная, на дистальном имплантате индивидуальный титановый абатмент, тем не менее нет каких либо проблем. Близкое расположение имплантатов, в данном случае рентгенологический артефакт. Пациентке было с чем сравнивать ощущения, слева делал открытый синуслифтинг, гуманный подход он лучше для пациента и оператора, на мой взгляд. 2 1 2 Ссылка на комментарий
Aquarius Опубликовано 10 мая, 2021 Поделиться Опубликовано 10 мая, 2021 Круто. Почему у настолько близко расположенных друг к другу имплантов не уходит кость? По плоскости смещены?? Ссылка на комментарий
Карен Аванесов Опубликовано 10 мая, 2021 Автор Поделиться Опубликовано 10 мая, 2021 2 часа назад, Aquarius сказал: Круто. Почему у настолько близко расположенных друг к другу имплантов не уходит кость? По плоскости смещены?? Все же искажение сильное, но делал так, с любовью делал, сначала одномоментно в 1.4 зуб, через несколько месяцев 1.5, без сильного торка, что бы не сдавливать костные структуры и мягкотканую аугментацию сделал. Ссылка на комментарий
Карен Аванесов Опубликовано 31 января, 2022 Автор Поделиться Опубликовано 31 января, 2022 10.05.2021 в 15:42, It'sGeorgy сказал: Если есть фото и снимок после протезирования, добавьте пожалуйста. 1 1 Ссылка на комментарий
It'sGeorgy Опубликовано 31 января, 2022 Поделиться Опубликовано 31 января, 2022 @Карен Аванесов как вы вовремя подняли тему) На днях наткнулся на книжку Марка Бера 2007 года, так там этот метод имплантатов под наклоном в бугры уже описан и речь идет про наблюдение в 15 лет. Мы живем в интересном мире: вещи, которые описаны в 80-90х, но представленные на конгрессах только сейчас, кажутся иногда чем-то новым и инновационным. 3 Ссылка на комментарий
Карен Аванесов Опубликовано 31 января, 2022 Автор Поделиться Опубликовано 31 января, 2022 все новое придумано из старого, кто первый вспомнил тот и автор) первопроходцам было сложнее, бросать вызов. Влюбом случае выигрывает пациент, если врач рассматривает все возможные варианты 2 3 Ссылка на комментарий
rustam. Опубликовано 1 февраля, 2022 Поделиться Опубликовано 1 февраля, 2022 Мой случай из моей практики 1 1 Ссылка на комментарий
Карен Аванесов Опубликовано 2 февраля, 2022 Автор Поделиться Опубликовано 2 февраля, 2022 я так вижу что был синуслифтинг справа и очевидно не совчем удачный, я не ошибся? Ссылка на комментарий
rustam. Опубликовано 4 февраля, 2022 Поделиться Опубликовано 4 февраля, 2022 Эту имплантацию делал 2014 году, в то время не было опыта делать синуслифтинг и по этому я так обошел пазуху имплантами Ссылка на комментарий
TIGER Опубликовано 4 февраля, 2022 Поделиться Опубликовано 4 февраля, 2022 @Карен Аванесов работа не сидит же?почему не через М.Ю? Ссылка на комментарий
Карен Аванесов Опубликовано 4 февраля, 2022 Автор Поделиться Опубликовано 4 февраля, 2022 4 часа назад, TIGER сказал: @Карен Аванесов работа не сидит же?почему не через М.Ю? Тигран, дружище, скажи. если у техника руки из ануса функционируют, мульти сильно спасут сей анатомо-физиологический артефакт? Ссылка на комментарий
TIGER Опубликовано 5 февраля, 2022 Поделиться Опубликовано 5 февраля, 2022 (изменено) @Карен Аванесов Конечно,пассивная посадка Карэн? я вкручиваю на операции,технику остаётся каркас сделать.Шикарная хирургия у тебя вышла,но её испортит протетика Изменено 5 февраля, 2022 пользователем TIGER Ссылка на комментарий
Рекомендуемые сообщения
Для публикации сообщений создайте учётную запись или авторизуйтесь
Вы должны быть пользователем, чтобы оставить комментарий
Создать аккаунт
Зарегистрируйте новый аккаунт в нашем сообществе. Это очень просто!
Регистрация нового пользователяВойти
Уже есть аккаунт? Войти в систему.
Войти