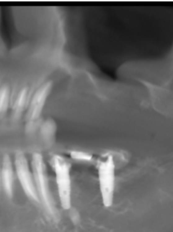
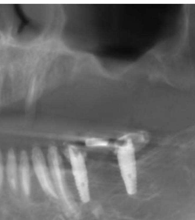
annda Опубликовано 29 апреля, 2021 Поделиться Опубликовано 29 апреля, 2021 (изменено) Интересующая область-14. Пациентка обратилась для протезирования дефектов полости рта.Было предложено удалить весь верх и низ.На верху было предложено все на 6,внизу все на 4х,но решила сделать все на 5(а вот так вот). Поступил категорический отказ удалять верхние передние зубы(на приеме подвижность 1-2й степени).Тогда как альтернатива предложен съемник на локаторах как временный вариант(с тайной мыслью-"вот поносишь и все равно придешь за первым вариантом") На операции одномоментное удаление боковых верхних и низа,установка имплантатов,формики и нагрузка в соответствии с торками.Дикий дефект в области 14 просто откюретажили до костной ткани,грануляции вырезали. Через 4 месяца приносит новую КТ.Я просто онемела.Зубы на верхней челюсти неподвижны от слова совсем...Вот что это было и есть?? Изменено 29 апреля, 2021 пользователем annda 1 Ссылка на комментарий
It'sGeorgy Опубликовано 29 апреля, 2021 Поделиться Опубликовано 29 апреля, 2021 Впечатляет. Ссылка на комментарий
Irouil Опубликовано 29 апреля, 2021 Поделиться Опубликовано 29 апреля, 2021 Что было по протезке на эти 4 месяца? Ссылка на комментарий
Дмитрий Л. Опубликовано 29 апреля, 2021 Поделиться Опубликовано 29 апреля, 2021 Не могу поверить...) разные срезы или настройки кт. Ссылка на комментарий
annda Опубликовано 29 апреля, 2021 Автор Поделиться Опубликовано 29 апреля, 2021 По протезке не было ничего, от слова совсем. Даже кривые настройки КТ не могут так исказить картину:))Срезы одни и те же , видны на обоих снимках, зубы центральные принадлежат одному человеку. Кстати, 68 лет от роду... Кость уже пощупала фрезой, абсолютно полноценная костяка... Ссылка на комментарий
Женька Опубликовано 29 апреля, 2021 Поделиться Опубликовано 29 апреля, 2021 5 минут назад, annda сказал: Кость уже пощупала фрезой, абсолютно полноценная костяка... удалили зубы всё-таки и ао4? ) Ссылка на комментарий
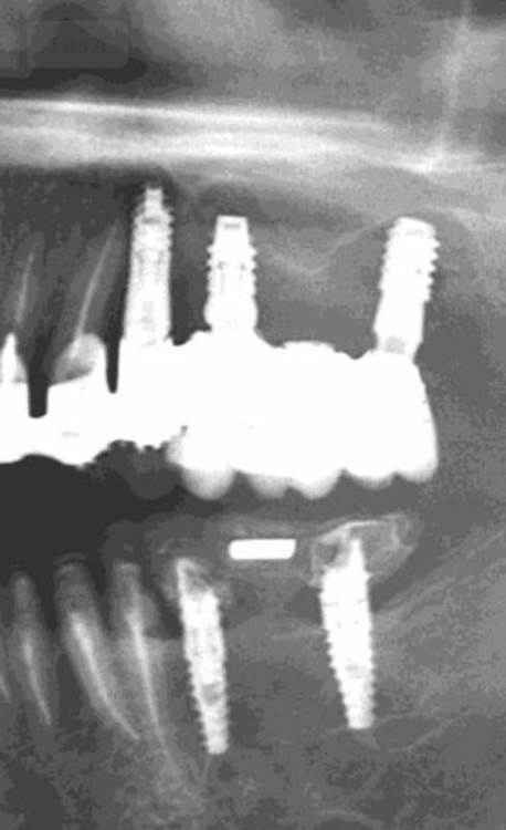
annda Опубликовано 29 апреля, 2021 Автор Поделиться Опубликовано 29 апреля, 2021 Зачем? Добавила имплантаты и мосты.Зубы на месте. Ссылка на комментарий
АнтонТЛТ Опубликовано 29 апреля, 2021 Поделиться Опубликовано 29 апреля, 2021 Вот что сгусток животворящий делает)) в принципе реконструктивная пародонтология так и работает) Ссылка на комментарий
Irouil Опубликовано 29 апреля, 2021 Поделиться Опубликовано 29 апреля, 2021 Да, сгусток норм тема) сверху ушивали как-то?) я полагаю высокие мезиодистальные пики зарешали Ссылка на комментарий
annda Опубликовано 29 апреля, 2021 Автор Поделиться Опубликовано 29 апреля, 2021 Обычные узловые. У меня не было никаких далеких планов на это место.Кюретаж сделала так, чтобы в глазах не мозолило в будущем...Единственное, биотип десны еще хорош у бабули. Ну и витамин Д3 пьет безостановочно:)), будучи педиатром... 1 Ссылка на комментарий
Doc Опубликовано 30 апреля, 2021 Поделиться Опубликовано 30 апреля, 2021 Только что, Doc сказал: Не только сгусток. Возможно, просто убрали инфекцию и заставили ухаживать за зубами. Ссылка на комментарий
Александр07 Опубликовано 7 мая, 2021 Поделиться Опубликовано 7 мая, 2021 Был тоже похожий случай, думал пластику делать придётся но нет, восстановилось , скину может интересно кому будет Ссылка на комментарий
Рекомендуемые сообщения
Для публикации сообщений создайте учётную запись или авторизуйтесь
Вы должны быть пользователем, чтобы оставить комментарий
Создать аккаунт
Зарегистрируйте новый аккаунт в нашем сообществе. Это очень просто!
Регистрация нового пользователяВойти
Уже есть аккаунт? Войти в систему.
Войти