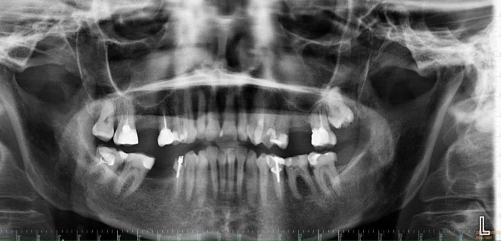
ElenaN Опубликовано 27 апреля, 2021 Поделиться Опубликовано 27 апреля, 2021 (изменено) Есть ли отверстие (перфорация) между гайморовой пазухой и ротовой полостью СПРАВА вверху после удаления 6 верхнего зуба?? Как на ваш взгляд? Одни врачи срочно посылают на операцию на основании только этого снимка, другие говорят, что дырки нет, пазуха спокойна и не нужно ничего трогать, чтобы не было хуже. Посмотрите, пожалуйста, что за ситуацию вы видите? Чтобы не перепутать с левой (здоровой) стороной - под больным местом снизу зуба тоже нет. Проблема - СПРАВА (около левой стороны написано "L"). 16.10.2020 удалили 6-ку сверху справа, боль совсем не проходит уже 7 месяцев. Только на 4-м по счёту панорамном снимке от 16.04.2021 (прикреплён) уже в другой клинике нашли перфорацию гайморовой пазухи при удалении зуба (There was an OAC present intraorally). Рекомендация - операция как можно быстрее, чтобы закрыть отверстие. Показать мне на снимке, где именно нашли отверстие, доктора отказались. Обратилась к другому врачу - он никакого прободения не видит. Говорит, что после операции может быть только хуже. Нужно искать другую причину боли. Пожалуйста, посмотрите. Мучаюсь от боли уже 7 месяцев. На вторую врачебную ошибку не готова. Не в России, из-за карантина не могу добраться до специалистов. Буду благодарна за любые версии. Других признаков сообщения с пазухой нет: могу надуть щёки, из носа ничего не бежит, пища в нос не попадает, плохо не пахнет, запахи все чувствую, как раньше, голос не менялся и т.п. Боль на месте удаления, концентрируется вдоль пятого зуба уходит вверх, от 3 до 10 по шкале до 10. Боль постоянная, фоновая, резкой, чтоб подскакивала, не бывает. Если удаётся уснуть - не просыпаюсь. Десна над местом удаления около 5 чувствительна, кость над местом удаления реагирует на горячее больше, на холодное меньше. К щеке прикасаться неприятно, в пазухе иногда свербит. Что-то в этом месте неправильно и нехорошо. За 7 месяцев потихоньку схожу с ума. Но есть ли дырка? Нужна ли операция? И насколько срочно? Изменено 27 апреля, 2021 пользователем ElenaN опечатка Ссылка на комментарий
Irouil Опубликовано 27 апреля, 2021 Поделиться Опубликовано 27 апреля, 2021 (изменено) По предоставленному снимку точно сказать что-то о наличии перфорации (а если речь идёт о 7 месяцах - стойком соустье) нельзя, но очень вероятно что ее там нет - в месте удаленного зуба все выглядит абсолютно нормально. Да и вся описаная симптоматика на соустье не тянет никак. Есть зубы справа, которые точно нуждаются в санации - это и 5, и 7, и 8 сверху, а так же 5 и 8 снизу. Теоретически, любой из них может быть виновником подобных болей, но самый вероятный кандидат - верхняя 8-ка. Если санация зубов не даст результата - провести диагностику ВНЧС и неврита 2-й ветви тройничного нерва. Очень рекомендую сначала провести КЛКТ исследование челюстей с захватом хотя бы верхнечелюстных пазух P.S. Судя по приведённой формулировке, ОАС Вам диагностировали не по снимку, а при осмотре в полости рта (intraorally), а это - приоритетный источник информации Изменено 27 апреля, 2021 пользователем Irouil 2 Ссылка на комментарий
annda Опубликовано 27 апреля, 2021 Поделиться Опубликовано 27 апреля, 2021 Нет там соустья. К неврологу идите. 1 Ссылка на комментарий
ElenaN Опубликовано 28 апреля, 2021 Автор Поделиться Опубликовано 28 апреля, 2021 (изменено) 15 часов назад, Irouil сказал: P.S. Судя по приведённой формулировке, ОАС Вам диагностировали не по снимку, а при осмотре в полости рта (intraorally), а это - приоритетный источник информации Спасибо. Там полная формулировка такая: "On examination in the upper right malar region extraorally was some tenderness. There was no swelling but there was some tenderness on the rigth hand side. There was an OAC present intraorally which can be probed 3,5mm and the OAC was visible on the OPG. We have planned for her to have this closed under local anaesthetic". И есть ещё такой более ранний снимок (от марта). @annda Спасибо. Изменено 28 апреля, 2021 пользователем ElenaN Добавила информацию Ссылка на комментарий
Irouil Опубликовано 28 апреля, 2021 Поделиться Опубликовано 28 апреля, 2021 Честно говоря, зондирование на 3.5 мм в глубину мало о чем говорит - в конце концов, зачастую только толщина слизистой полости рта может составлять более 3 мм. По второму снимку, как и по первому, никаких признаков наличия ОАС я не отмечаю Я соглашусь с @anndaчто более всего описанная симптоматика похожа на неврологию, но я сразу хочу предупредить, что многие неврологи могут сначала отправить Вас на санацию полости рта, чтобы исключить влияние любой зубной патологии. 1 Ссылка на комментарий
ElenaN Опубликовано 28 апреля, 2021 Автор Поделиться Опубликовано 28 апреля, 2021 @Irouil я думала, они написали, что это ширина найденной "дырки".... А это, оказывается, глубина исследования... Это же совсем другое дело. Врач категорически отказался показать мне на снимке, где именно он нашёл "отверстие". Это озадачило и смутило. Обычно не отказываются показать и объяснить, особенно если речь идёт об операции. Спасибо! То есть, согласно этому снимку, у меня есть время разобраться с санацией и дополнительными исследованиями? Не нужно "очень срочно" бежать и оперироваться "по жизненным показаниям". У меня аутоиммунка и аритмия 5 по Ryan - лишняя операция совсем не нужна. Разобраться сначала нужно. Ссылка на комментарий
ElenaN Опубликовано 28 апреля, 2021 Автор Поделиться Опубликовано 28 апреля, 2021 @Irouil не знаю, можно ли по правилам форума тут упоминать информацию, но, если можно, подскажите, в какой клинике в СПб Вы работаете? Не знаю, когда точно по времени, но, видимо, в СПб буду этот вопрос решать, если здесь так и не получится сделать нормальное исследование и нужно будет искать специалистов. Ссылка на комментарий
ElenaN Опубликовано 28 апреля, 2021 Автор Поделиться Опубликовано 28 апреля, 2021 @Irouil а что, на первый взгляд, с 8? На что проверять? Ссылка на комментарий
annda Опубликовано 28 апреля, 2021 Поделиться Опубликовано 28 апреля, 2021 Пародонт у щечномедиального корня 6ки не очень выглядит, трещину бы исключить.Но такой пародонт и от перегрузки может быть.И жалобы на трещину не тянут. 1 Ссылка на комментарий
ElenaN Опубликовано 28 апреля, 2021 Автор Поделиться Опубликовано 28 апреля, 2021 @annda шестёрка снизу? напротив удаления? спасибо Вам за помощь. Ссылка на комментарий
annda Опубликовано 28 апреля, 2021 Поделиться Опубликовано 28 апреля, 2021 Нет, как раз рядом. Верхняя правая 6ка. Ссылка на комментарий
ElenaN Опубликовано 28 апреля, 2021 Автор Поделиться Опубликовано 28 апреля, 2021 @annda она как раз удалена. После её удаления и возникли проблемы. Может, другой номер зуба? Ссылка на комментарий
ElenaN Опубликовано 28 апреля, 2021 Автор Поделиться Опубликовано 28 апреля, 2021 @annda Боль вдоль задней стенки пятого зуба, со стороны места удаления. Больше изнутри. Как будто воткнули зубочистку и она там теперь осталась, застряла и обросла тканями. Иногда напоминает, как обратной стороной кисточки давят вдоль пятого зуба вверх. Боль постоянная. Не зависит от накусывания и т.п. Ссылка на комментарий
annda Опубликовано 28 апреля, 2021 Поделиться Опубликовано 28 апреля, 2021 Пардон, 7ка, обсчиталась 1 Ссылка на комментарий
ElenaN Опубликовано 28 апреля, 2021 Автор Поделиться Опубликовано 28 апреля, 2021 @annda спасибо большое. Ценная информация. Ссылка на комментарий
Irouil Опубликовано 28 апреля, 2021 Поделиться Опубликовано 28 апреля, 2021 (изменено) 8 часов назад, ElenaN сказал: @Irouil а что, на первый взгляд, с 8? На что проверять? Надо проверить нет ли там пульпита хронического - по КТ создавалось впечатление что на зубе есть кариозная полость глубокая (по второму снимку она не видна, но очно осмотреть этот зуб все равно стОит - зубные причины описываемых Вами жалоб чаще всего кроются именно в пульпитах) P.S. не по КТ, по ОПТГ, конечно Изменено 28 апреля, 2021 пользователем Irouil 1 Ссылка на комментарий
ElenaN Опубликовано 28 апреля, 2021 Автор Поделиться Опубликовано 28 апреля, 2021 @Irouil Поняла. Спасибо. Ссылка на комментарий
Bier Опубликовано 28 апреля, 2021 Поделиться Опубликовано 28 апреля, 2021 проверить 8й, 7 и 5 пролечены плохо, как минимум их перелечить. Если 8й проблемный - удалить. 1 Ссылка на комментарий
ElenaN Опубликовано 29 апреля, 2021 Автор Поделиться Опубликовано 29 апреля, 2021 @Bier спасибо большое. 5-тый был расколот лет 20 назад (конфету раскусила) и восстановлен. С тех пор не болел ни разу. После удаления 6-ки вот его и "выламывает", боль по его задней стенке со стороны удаления и вверх уходит. Может, он вывихнулся. Я думала, просверлили его (корни 6-ки высверливали). Ссылка на комментарий
Рекомендуемые сообщения
Для публикации сообщений создайте учётную запись или авторизуйтесь
Вы должны быть пользователем, чтобы оставить комментарий
Создать аккаунт
Зарегистрируйте новый аккаунт в нашем сообществе. Это очень просто!
Регистрация нового пользователяВойти
Уже есть аккаунт? Войти в систему.
Войти