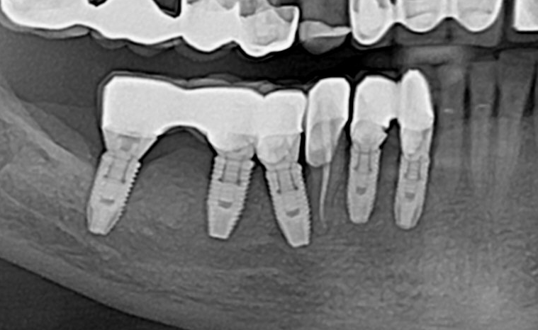
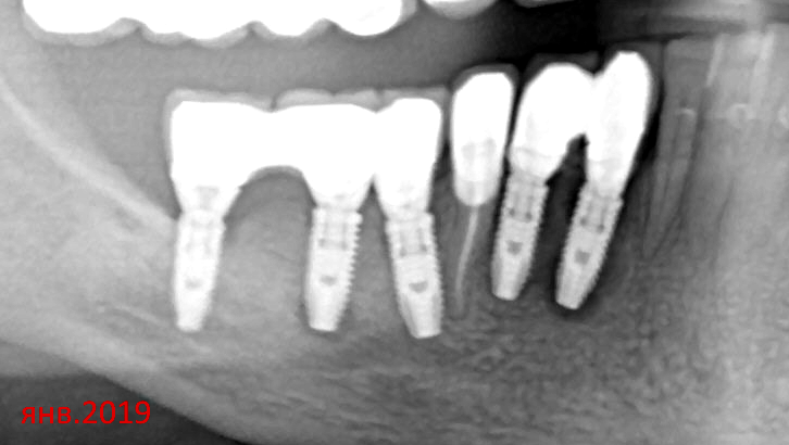
kramer Опубликовано 15 апреля, 2021 Поделиться Опубликовано 15 апреля, 2021 Пациентке летом 2018 г установили имплантаты, какие-то одномоментно, какие-то нет, не помнит. Коронки через 3 месяца, цементная фиксация. Вскоре после этого начались жалобы на боль, дискомфорт в области всех имплантатов, особенно 42 и 43. Лечащий врач контрольных снимков не делал, утверждал, что все в порядке. Обратилась к нам, на ОПТГ признаки резорбции кости в обл. имплантата 43 и апикально у импл. 46. Посоветовал ей подойти с этим снимком к своему врачу. Далее с ее слов врач демонтировал коронки 42-43, что-то там чистил (цемент?), зафиксировал обратно (причем как видно, одна из коронок не досела). Новый снимок от 15.04.21 - как-будто ничего и не было. Жалоб сейчас тоже нет. WTF? 2 Ссылка на комментарий
Doc Опубликовано 15 апреля, 2021 Поделиться Опубликовано 15 апреля, 2021 Забавно! Ссылка на комментарий
red_butler Опубликовано 15 апреля, 2021 Поделиться Опубликовано 15 апреля, 2021 вот что астра животворящая делает ? Ссылка на комментарий
Doc Опубликовано 15 апреля, 2021 Поделиться Опубликовано 15 апреля, 2021 Пациентка по дороге в церковь зашла и свечку поставила святому Пантелеймону! 1 Ссылка на комментарий
Дмитрий Л. Опубликовано 15 апреля, 2021 Поделиться Опубликовано 15 апреля, 2021 Предположу, что апикальный участок - зажившие периапикальные изменения, а периимплантит в обл премоляров вызван непассивной посадкой коронок изначально, потом коронки недосели, но давления на импланты не оказывают. Как бы там ни было, протетику на премолярах стоит переделать. 1 Ссылка на комментарий
Sergiosse Опубликовано 21 апреля, 2021 Поделиться Опубликовано 21 апреля, 2021 Помню первый раз когда увидел на снимках такую картину, чуть сердце не остановилось. собрали консилиум, было много разных мнений. В результате сделали прицельные снимки , а там всё хорошо! Ссылка на комментарий
Рекомендуемые сообщения
Для публикации сообщений создайте учётную запись или авторизуйтесь
Вы должны быть пользователем, чтобы оставить комментарий
Создать аккаунт
Зарегистрируйте новый аккаунт в нашем сообществе. Это очень просто!
Регистрация нового пользователяВойти
Уже есть аккаунт? Войти в систему.
Войти