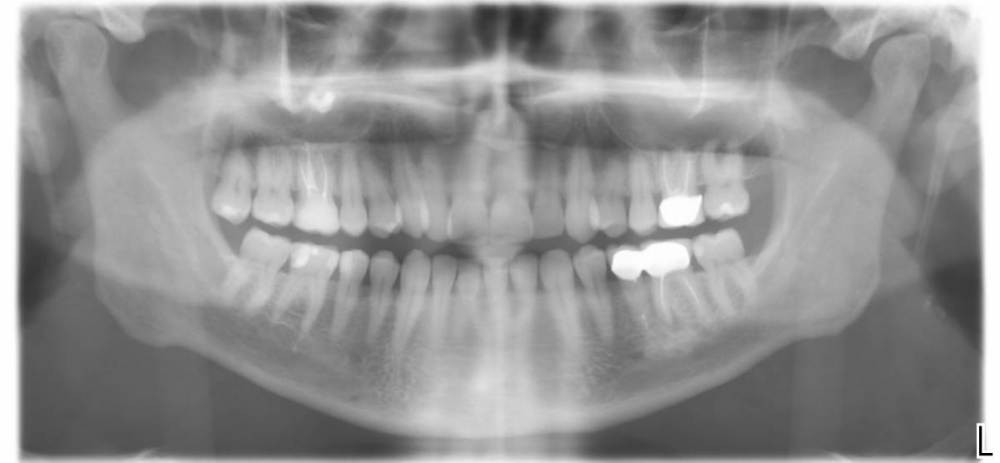
Telder5432 Опубликовано 11 апреля, 2021 Поделиться Опубликовано 11 апреля, 2021 Добрый день, почитав форум, сразу понял, что первым в вопросе должен быть снимок: Приговорили два левых зуба под коронками, верхний и нижний. Говорят, что кисты и там и там. Видимо те, кто хочет заработать, предлагают сразу без разговоров импланты, а другие предлагают попробовать лечить. Почитал в интернете про "чудо метод депофорез" - но вот на этом форуме вижу, что врачи о нем отзываются не очень. Проблема еще заключается в том, что в верхнем зубе в главном канале (если я верно называю) какой-то не вынимаемый штифт (из стекловолокна вроде бы) и на сколько я понимаю не гуттаперча, а что-то твердое. Нижний зуб не болит, я даже не знал, что там киста и вообще проблемы, а вот верхний болел, пропил антибиотики, прошел, но лечить нужно. Посоветуйте, пожалуйста, что делать в моей ситуации? Спасибо большое заранее! Ссылка на комментарий
dentikl Опубликовано 11 апреля, 2021 Поделиться Опубликовано 11 апреля, 2021 найти доктора,которому доверяете и довериться ему 2 Ссылка на комментарий
red_butler Опубликовано 11 апреля, 2021 Поделиться Опубликовано 11 апреля, 2021 8 часов назад, Telder5432 сказал: Посоветуйте, пожалуйста, что делать в моей ситуации? Лечить Ссылка на комментарий
St. Опубликовано 14 апреля, 2021 Поделиться Опубликовано 14 апреля, 2021 11.04.2021 в 10:08, Telder5432 сказал: "чудо метод депофорез" - но вот на этом форуме вижу, что врачи о нем отзываются не очень. Чудес не бывает, как и волшебной таблетки) Действительно по поводу зубов с воспалением - альтернатив 2 и каждый выбирает что ему ближе. Я придерживаюсь мнения что лучше своего зуба никто ничего не придумал и если можно подороться за свой, то лучше это делать. Беда что не всегда получается. я бы рекомендовала снять коронки и посмотреть что там от них останется, если стенок достаточно - то лечить, если они сильно разрушены или где-то обнаружится к примеру трещина корня, тогда удалять и импланты. Для перелечивания каналов нужно найти доктора эндодонтиста, лучше с микроскопом. Стекловолокно достать можно, это не самая большая проблема. 1 Ссылка на комментарий
Рекомендуемые сообщения
Для публикации сообщений создайте учётную запись или авторизуйтесь
Вы должны быть пользователем, чтобы оставить комментарий
Создать аккаунт
Зарегистрируйте новый аккаунт в нашем сообществе. Это очень просто!
Регистрация нового пользователяВойти
Уже есть аккаунт? Войти в систему.
Войти