Ольга Вовк Опубликовано 10 февраля, 2021 Поделиться Опубликовано 10 февраля, 2021 Добрый день! Очень прошу помочь по таким вопросам:1. Верхняя шестерка справа - там киста перешедшая в гайморову пазуху (узнала это 4 месяца назад). Зуб ныл 2 года назад, тогда врач просто прописала Аугментин. Все прошло, но опять начал поднывать неделю назад (сейчас опять прошло). Была на консультации, сказали вырывать и прочищать пазуху нужно сейчас, и по приезду уже дальше разбираться. Как лучше быть, если я через неделю уезжаю на 4.5 месяца в страну, где никак не смогу продолжить лечение, а значит ставлю на паузу все на этот период.1. Удалить зуб сейчас, чтоб он зажил и через 4.5 месяца приехав сделать синус лифтинг и ставить имплант, или же ждать это время не удаляя зуб? 2. Не разрушится ли если сейчас не вырвать полностью костная ткань? 3. Можно ли не ставить имлпант, а сдвинуть 7 и 8 зуб к 5ому? Также вопрос по верхней шестерке слева - можно ли ее перелечить под микроскопом, или нужно делать резекцию? Разные врачи сделали разные выводы по нему Ссылка на архив файлов панорамного КТ - http://fayloobmennik.cloud/7414975 Спасибо вам, очень надеюсь на совет Ссылка на комментарий
Irouil Опубликовано 10 февраля, 2021 Поделиться Опубликовано 10 февраля, 2021 В ситуации, когда есть очаг хронической инфекции, рискующий обострением в любой момент, безопаснее будет удалить зуб и решать вопросы с протезированием по возвращении. Снимки Ваши я не смотрел и могу посоветовать попробовать самостоятельно выложить срезы, ибо маловероятно, что кто-то из коллег сможет скачать КТ Ссылка на комментарий
wladdX Опубликовано 10 февраля, 2021 Поделиться Опубликовано 10 февраля, 2021 (изменено) Зуб 16, мне кажется, лучше удалить до отъезда. Насчёт ортодонтического перемещения 8-го и 7-го на место 6-го, необходимо с ортодонтом очно пообщаться, но на мой взгляд, хирургическое лечение будет более предсказуемым.Зуб 26 может оказаться непростым для эндодонтиста, но если доктор берётся и Вы ему доверяете, то начать стоит с повторного эндодонтического лечения с увеличением. Изменено 10 февраля, 2021 пользователем wladdX 2 Ссылка на комментарий
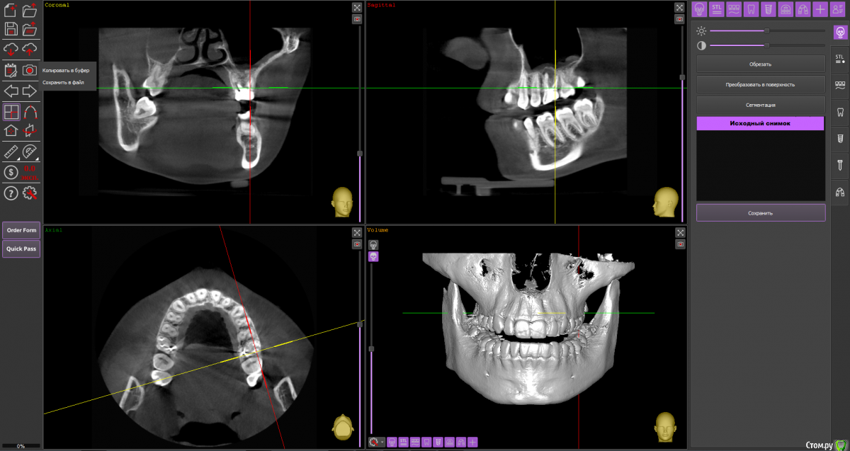
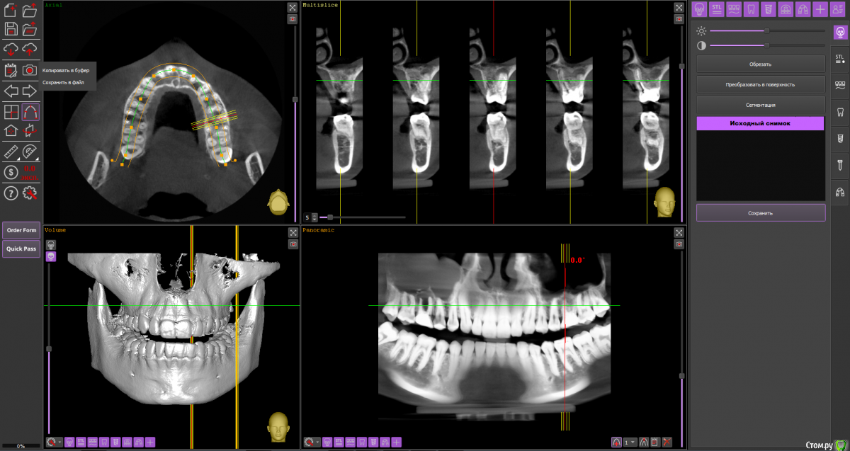
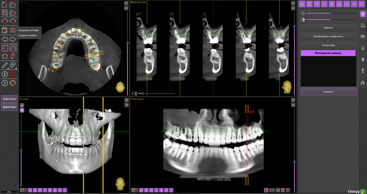
Ольга Вовк Опубликовано 10 февраля, 2021 Автор Поделиться Опубликовано 10 февраля, 2021 16_1.png 16_2.png 16_3.png 26_1.png 26_2.png 26_3.png 26_4.png Зуб 16, мне кажется, лучше удалить до отъезда. Насчёт ортодонтического перемещения 8-го и 7-го на место 6-го, необходимо с ортодонтом очно пообщаться, но на мой взгляд, хирургическое лечение будет более предсказуемым.Зуб 26 может оказаться непростым для эндодонтиста, но если доктор берётся и Вы ему доверяете, то начать стоит с повторного эндодонтического лечения с увеличением.Спасибо вам огромное! Я так понимаю, что если не удалить сейчас, то тогда к приезду (3 июля) уже совсем костной ткани не останется? Просто если сейчас удалить и будут осложнения, или соустье в гайморову, то я уеду и там не знаю что буду делать в такой ситуации(( Ссылка на комментарий
Марья Моревна Опубликовано 10 февраля, 2021 Поделиться Опубликовано 10 февраля, 2021 Если случится соустье, сделают пластику сразу после удаления.Если осложнения, назначат лечение и понаблюдают,пока Вы тут. Ссылка на комментарий
Irouil Опубликовано 11 февраля, 2021 Поделиться Опубликовано 11 февраля, 2021 останется? Просто если сейчас удалить и будут осложнения, или соустье в гайморову, то я уеду и там не знаю что буду делать в такой ситуации(( А если не удалить и у Вас случится гайморит - знаете? Я полностью согласен с wladdX, 1.6 удаляете срочно, с осложнениями после удаления вопросы решаете по факту их поступления, 2.6 перед отъездом тоже желательно просанировать. Ссылка на комментарий
Ольга Вовк Опубликовано 11 февраля, 2021 Автор Поделиться Опубликовано 11 февраля, 2021 А если не удалить и у Вас случится гайморит - знаете? Я полностью согласен с wladdX, 1.6 удаляете срочно, с осложнениями после удаления вопросы решаете по факту их поступления, 2.6 перед отъездом тоже желательно просанировать.Просанировать - это открыть зуб и прочистить, я правильно поняла? Ссылка на комментарий
Irouil Опубликовано 11 февраля, 2021 Поделиться Опубликовано 11 февраля, 2021 (изменено) Просанировать - это открыть зуб и прочистить, я правильно поняла? Либо эндодонтически вылечить (обычно несколько посещений перерывом в неделю), либо удалить Изменено 11 февраля, 2021 пользователем Irouil Ссылка на комментарий
Ольга Вовк Опубликовано 11 февраля, 2021 Автор Поделиться Опубликовано 11 февраля, 2021 Либо эндодонтически вылечить (обычно несколько посещений перерывом в неделю), либо удалитьСпасибо вам за помощь! Ссылка на комментарий
Рекомендуемые сообщения
Для публикации сообщений создайте учётную запись или авторизуйтесь
Вы должны быть пользователем, чтобы оставить комментарий
Создать аккаунт
Зарегистрируйте новый аккаунт в нашем сообществе. Это очень просто!
Регистрация нового пользователяВойти
Уже есть аккаунт? Войти в систему.
Войти