Перейти к содержанию
Стоматология для всех

Сломался имплант на месте 36 зуба


Рекомендуемые сообщения

Здравствуйте.

 

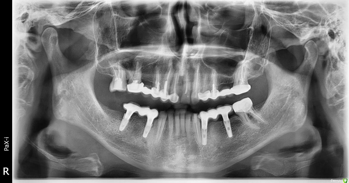
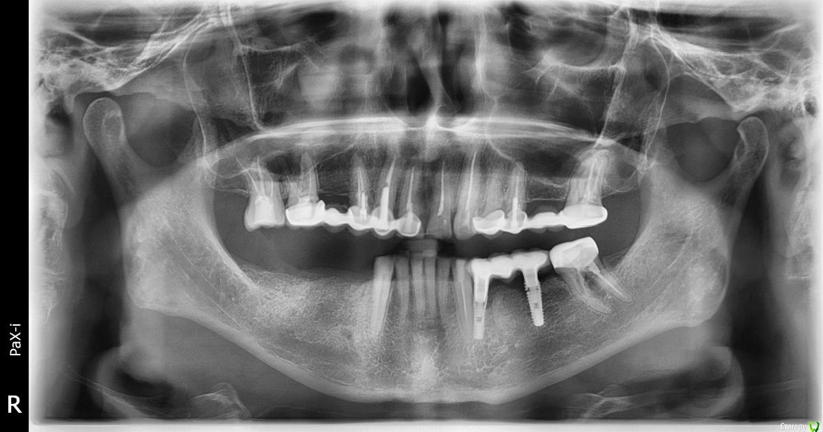
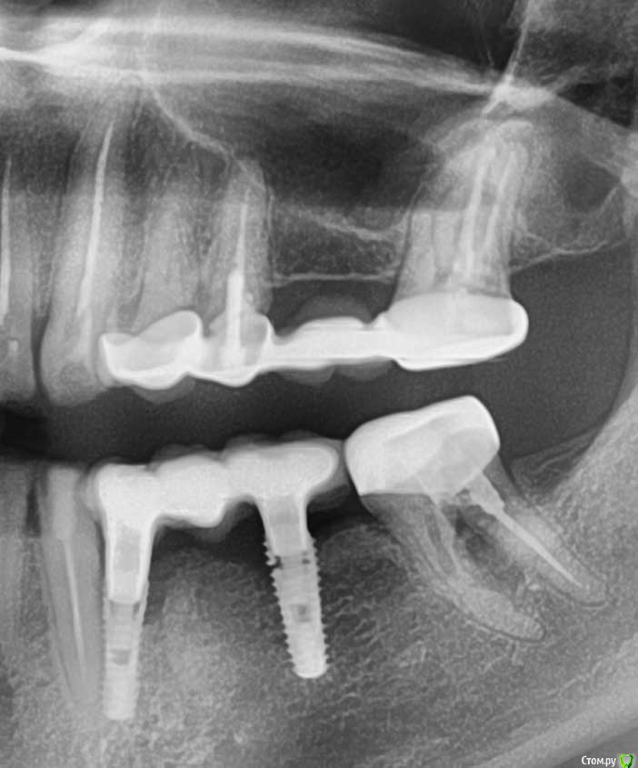
В апреле 2020 года была проведена имплантация на месте 34 и 36 зубов (корейская система INNO implant submerged 3.5x12, 4.0х12).

В июле 2020 года на импланты был установлен металлокерамический мост на приливаемых абатментах (винтовая фиксация). По состоянию на 20.11.2020 (4 месяца под нагрузкой) жалоб не было.

22.01.2020 ослабли винты на имплантах, был сделан новый снимок, где обнаружилось, что имплант на месте 36 сломался.

Какие наиболее вероятные причины поломки импланта?

Снимки прилагаю.

Заранее спасибо.

post-62133-0-85066500-1611750715_thumb.jpg

post-62133-0-04030700-1611750728_thumb.jpg

post-62133-0-73471000-1611750751_thumb.jpg

post-62133-0-02490500-1611750764_thumb.jpg

Ссылка на комментарий

Можете отправить фото или ссылку какие конкретно приливаемые абатменты были?и как я понимаю КХС приливали

Ссылка на комментарий

удалено администратором

Материал КХС

 

Покупалось в ИННО-ИМПЛАНТ РУ

удалено администратором

Сейчас у них такого в наличии нет.

Ссылка на комментарий

Ссылка не открывается...Я правильно понимаю,что вы под мост на винтовой фиксации заказывали приливаемые абатменты с ИНДЕКСОМ(шестигранником)?Разве реально посадить мост на винтовой если там шестигранник,для винтовой всегда же абатменты без индекса берут P.S тема в разделе для пациентов,если что,думаю во врачебный имеет смысл перенести

Изменено пользователем chervoncevdaniil
Ссылка на комментарий

Т.е. в случае моста на винтовой фиксации на имплант, который с шестигранником, мне ортопед должен был поставить абатмент без шестигранника?

Или под мосты с винтовой фиксацией нужно и импланты устанавливать без шестигранника? 

Ссылка на комментарий

Т.е. в случае моста на винтовой фиксации на имплант, который с шестигранником, мне ортопед должен был поставить абатмент без шестигранника?

Или под мосты с винтовой фиксацией нужно и импланты устанавливать без шестигранника? 

ВЫ пациент,а не доктор?Откуда у вас ссылки на комплектующие,клиника предоставила?Я просто думал вы врач и создали тему для обсуждения ни в том разделе форума. На Inno я нюансов не знаю,поэтому и задал вопрос реально или нет,думал что вы доктор :) можно и с шестигранниками работать это выбор врача и зубного техника,к поломке импланта это не приведет,проблема думаю в другом,иногда бывает что заводская(производителя имплантов),к сожалению

Изменено пользователем chervoncevdaniil
Ссылка на комментарий

ВО время сдачи работы ничего не болело,не беспокоило,резкой болезненности в момент прикручивания моста не было или чувство распирания,напряжения?

Изменено пользователем chervoncevdaniil
Ссылка на комментарий

Во время сдачи работы все было нормально, было ощущение, что все установилось ровно,

На следующей неделе, после удаления импланта, могу предоставить снимок протетики.

Ссылка на комментарий

Тогда похоже на заводской брак самого импланта.Протетикой выломать кусок титанового импланта очень сложно,скорее коронка сломается или фиксирующий винт,но не имплант

  • Поддерживаю 1
Ссылка на комментарий

Имплантолог обвинил во всем ортопеда. Сказал, что к нему вопросов нет, имплант нормально интегрировался.

Для дальнейших разговоров направил меня к зам. глав. врача поликлиники.

Сегодня договорился о разговоре с зам. глав. врача поликлиники. О результатах сообщу.

Ссылка на комментарий

Результат разговора с зам. глав. врачом поликлиники:

после удаления импланта я предоставлю в поликлинику имплантат и верхнюю часть (мост).

затем поликлиника отправит изделия производителю имплантов на экспертизу.

Ссылка на комментарий

причин несколько возможно,  по смыслу скорее всего вам предложили переделку всей работы, уточните пожалуйста, что именно вы пытаетесь выяснить?

Ссылка на комментарий

 

причин несколько возможно,  по смыслу скорее всего вам предложили переделку всей работы, уточните пожалуйста, что именно вы пытаетесь выяснить?

 

 

Переделку всей работы клиника мне предложила за мой счет, сейчас как я писал ранее, мне удалось добиться того, чтобы клиника отправила имплант и верхнюю часть (коронки) производителю на экспертизу. В зависимости от нее будет понятно, в чем причина поломки: брак материала импланта, некачественная работа имплантолога и/или ортопеда и кто, соответственно будет компенсировать переделку работы.

 

По поводу работы иимплантолога замечу, что имплант на 34 зубе стоит очень близко к 33 зубу и он (33 зуб) был подвижен еще без установки верхней части. По совету имплантолога 33 зуб был депульпирован, но ситуацию это не изменило.

Ссылка на комментарий

Для публикации сообщений создайте учётную запись или авторизуйтесь

Вы должны быть пользователем, чтобы оставить комментарий

Создать аккаунт

Зарегистрируйте новый аккаунт в нашем сообществе. Это очень просто!

Регистрация нового пользователя

Войти

Уже есть аккаунт? Войти в систему.

Войти
×
×
  • Создать...
Вверх