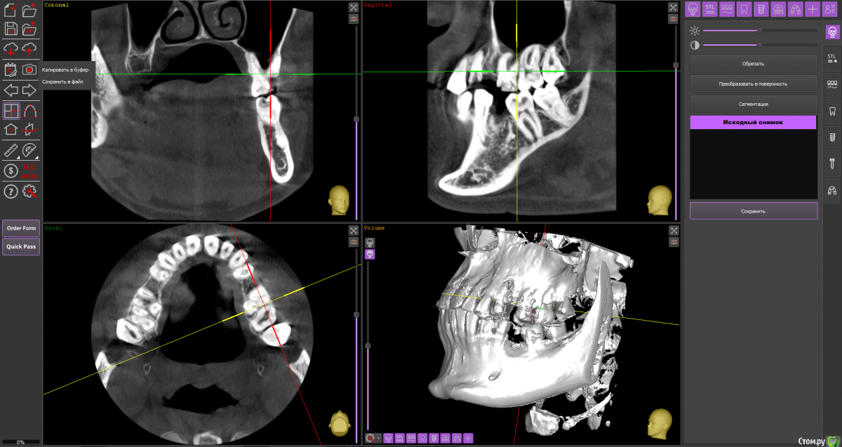
Michaelpupkins Опубликовано 20 января, 2021 Поделиться Опубликовано 20 января, 2021 Запустил свои зубы в 26 лет, расписали помимо терапии только план лечения с имплантацией на 340000₽, так ли это??? Вместе с терапией на 800000₽ вообще написали до осмотра в реале.Так ли это? Кто может написать свой план лечения предположительно, спасибо. Прикрепляю ссылку на КТ. Снимок большего разрешения, потому что делал не в России. https://yadi.sk/d/odR9T8X4dHgTCQ Ссылка на комментарий
red_butler Опубликовано 20 января, 2021 Поделиться Опубликовано 20 января, 2021 Финансовые вопросы на форуме не обсуждаются 1 Ссылка на комментарий
Michaelpupkins Опубликовано 20 января, 2021 Автор Поделиться Опубликовано 20 января, 2021 Финансовые вопросы на форуме не обсуждаютсяТогда, если можно, удалите тему Ссылка на комментарий
wladdX Опубликовано 20 января, 2021 Поделиться Опубликовано 20 января, 2021 (изменено) Прилагаемый план вполне может иметь место, понятно, что нужен очный приём, по одним снимкам судить можно только приблизительно. Финансовые вопросы мы не обсуждаем, но мне не показалось, что имеется какое-либо завышение что ли, для СПБ вполне себе. "Снимок большего разрешения, потому что делал не в России" - никакого он не большого разрешения, размер .dcm кадра всего лишь 492 КБ, что является обычным средним рамером и количество кадров обычное. О большом можно говорить где-то начиная с 705 КБ. Изменено 20 января, 2021 пользователем wladdX 1 Ссылка на комментарий
Рекомендуемые сообщения
Для публикации сообщений создайте учётную запись или авторизуйтесь
Вы должны быть пользователем, чтобы оставить комментарий
Создать аккаунт
Зарегистрируйте новый аккаунт в нашем сообществе. Это очень просто!
Регистрация нового пользователяВойти
Уже есть аккаунт? Войти в систему.
Войти