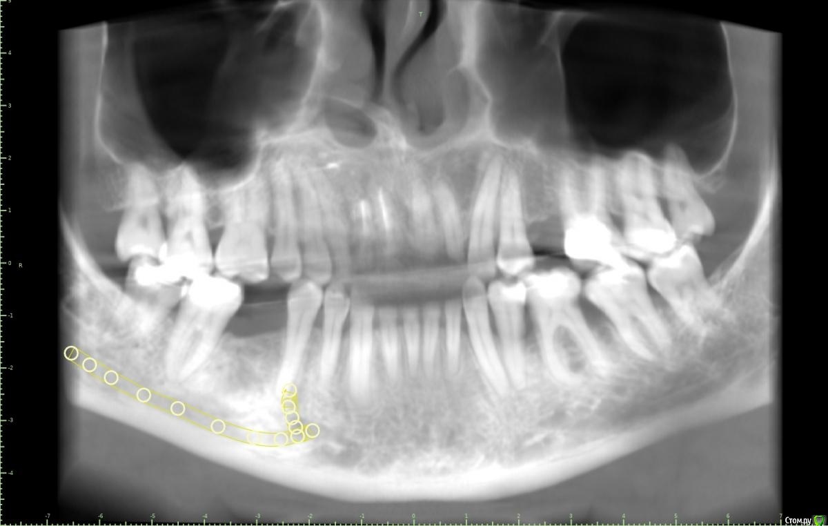
Женька Опубликовано 18 января, 2021 Поделиться Опубликовано 18 января, 2021 (изменено) Коллеги, здравствуйте!Вот такой пациент после орто. Дуги пока на месте, думаем не снимать в области отсутствующих зубов с целью удержать место до этапа протезирования.Вопрос касаемо верхнего винта.Правильно ли я понимаю, что правильным будет именно положение под цифрой 2? Хочу попробовать титановый смарт билдер, как по мне дефект как раз подходит. Или лучше мини сосиску и отсрочено в регенерат ставить. Что думаете? p.s что сверху, что снизу шестые требуют покрытия коронок, отсюда еще один вопрос, стоит ли просить ортодонта стараться ещё ангулировать 46? Просто побаиваюсь, что без этой ангуляции (если ортодонт скажет фи), не удастся сохранить зуб витальным. Ну и бонусом будет поднутрение, не получится адекватно сделать коронку и будет треугольник с едой в этой области. Изменено 18 января, 2021 пользователем Женька Ссылка на комментарий
Дмитрий Л. Опубликовано 19 января, 2021 Поделиться Опубликовано 19 января, 2021 Это всё надо вам или пациенту? Ставьте по первому варианту, времянку в перекрестный прикус. Не понравится - балконную консульку щечным бугром. Если выключить перфекционизм. Ссылка на комментарий
Женька Опубликовано 19 января, 2021 Автор Поделиться Опубликовано 19 января, 2021 Это всё надо вам или пациенту? Ставьте по первому варианту, времянку в перекрестный прикус. Не понравится - балконную консульку щечным бугром. Если выключить перфекционизм.Я только за, чтобы поставить в то что есть. Но времянкой в перекрёстный прикус вы меня поставили в ступор А если будет этот самый консольный балкон, не будет ли там пища жить? Да и зуб будет вытянут в вестибуло-оральном направлении? или это всё мелочи? Ссылка на комментарий
stommm Опубликовано 19 января, 2021 Поделиться Опубликовано 19 января, 2021 Вот типа такого не поместится разве? 3 Ссылка на комментарий
Fin Опубликовано 19 января, 2021 Поделиться Опубликовано 19 января, 2021 BC1DF560-31F4-49B5-8A55-415CD5DEC951.jpegВот типа такого не поместится разве?Поддерживаю Ссылка на комментарий
Александр07 Опубликовано 19 января, 2021 Поделиться Опубликовано 19 января, 2021 +1 к наклону оси импланта, и сст вестибулярно можно ещё, Ссылка на комментарий
Рекомендуемые сообщения
Для публикации сообщений создайте учётную запись или авторизуйтесь
Вы должны быть пользователем, чтобы оставить комментарий
Создать аккаунт
Зарегистрируйте новый аккаунт в нашем сообществе. Это очень просто!
Регистрация нового пользователяВойти
Уже есть аккаунт? Войти в систему.
Войти