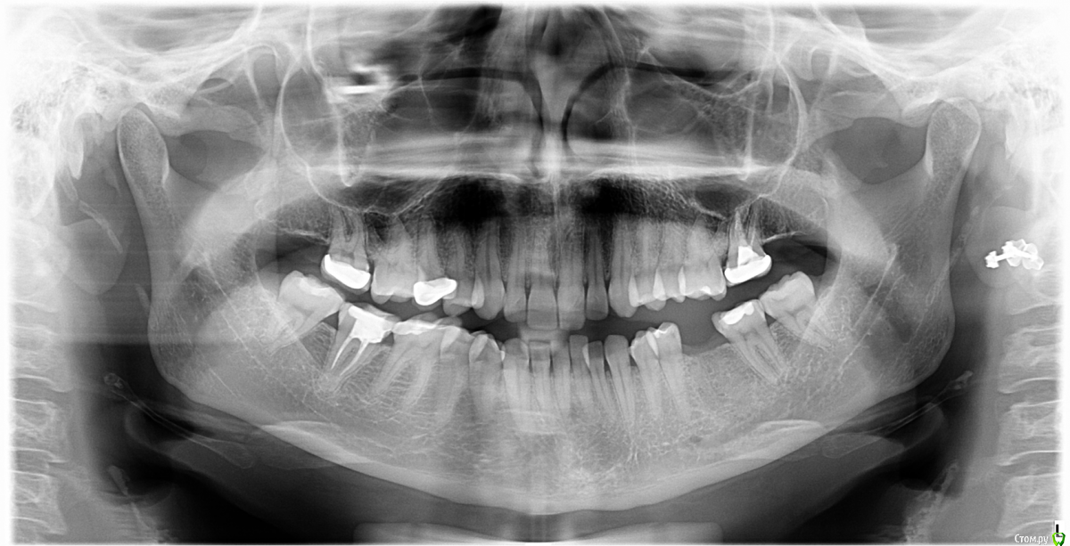
Iam_Yulia Опубликовано 25 ноября, 2020 Поделиться Опубликовано 25 ноября, 2020 (изменено) Доброго дня! Хочу определиться с планом лечения (порядком действий)В прошлом году в августе была удалена нижняя шестерка, хочу поставить имплант.Оказалось, что мне необходимо (желательно?) сначала исправить прикус. Я так понимаю, если решаюсь на ортодонтию, то сначала потребуется удалить обе восьмерки? сделать лечение и коронку (временную) на семерку, так как она почти разрушена? и потом начинать исправление прикуса? А уже после(через какое время?) ставить имплант? Так же я планирую беременность в следующем году (в ближайший год). Те специалисты, с которыми я уже общалась, говорят, что можно совмещать брекеты и беременность. Не лучше лучше ли отложить ортодонтическое лечение на период после окончания грудного вскармливания или я потеряю время? Снимок прилагаю. Есть еще КТ обеих челюстей на диске.Сейчас нахожусь в поиске стоматолога и ортодонта в Москве.Спасибо! Изменено 25 ноября, 2020 пользователем Iam_Yulia Ссылка на комментарий
Brigita Опубликовано 25 ноября, 2020 Поделиться Опубликовано 25 ноября, 2020 Добрый день.Порядок такойСначала очная консультация ортодонта, нужно ли удалять 8ки или нет по снимку определить невозможно. Затем лечение - по снимку я вижу нижнюю правую 6ку, которую надо лечить, если планируете ортодонтическое лечение - то временная коронка. Возможно при очном осмотре и кт обнаружатся и другие "проблемные" места.При планировании будущей беременности в самое ближайшее время, брекеты лучше не ставить. Если готовы подождать с беременностью, то обсудите с ортодонтом сроки лечения - возможно Вы все успеете.После окончания ортодонтического лечения, за 2 месяца до снятия брекетов устанавливается имплант. Если нужна костная пластика, то сначала ее, через несколько месяцев - имплант. Возможен вариант одномоментной пластики и имплантации - нужен осмотр имплантолога и кт. Ссылка на комментарий
Iam_Yulia Опубликовано 27 ноября, 2020 Автор Поделиться Опубликовано 27 ноября, 2020 Добрый день.Порядок такойСначала очная консультация ортодонта, нужно ли удалять 8ки или нет по снимку определить невозможно. Затем лечение - по снимку я вижу нижнюю правую 6ку, которую надо лечить, если планируете ортодонтическое лечение - то временная коронка. Возможно при очном осмотре и кт обнаружатся и другие "проблемные" места.При планировании будущей беременности в самое ближайшее время, брекеты лучше не ставить. Если готовы подождать с беременностью, то обсудите с ортодонтом сроки лечения - возможно Вы все успеете.После окончания ортодонтического лечения, за 2 месяца до снятия брекетов устанавливается имплант. Если нужна костная пластика, то сначала ее, через несколько месяцев - имплант. Возможен вариант одномоментной пластики и имплантации - нужен осмотр имплантолога и кт.Добрый день! Большое спасибо, что ответили. Я была на консультации у ортодонта, врач сказала что восьмерки надо удалять, и что через ориентировочно 4 месяца после начала ортодонтического лечения можно будет поставить имплант, а всего срок лечения около 1,5-2 года. При этом она сообщила что беременность не является противопоказанием к установке БС. (Я читала, почему многие врачи не советуют ставить брекет системы во время беременности, поэтому сомневаюсь)Так же я была у имплантолога на консультации, он сказал, что на данный момент костной ткани достаточно для имплантации, так же сказал что есть показания к исправлению прикуса и желательно делать имплантацию после ортодонтического лечения. Я бы хотела исправить прикус, а уже потом делать имплант, но вот 2 года откладывать планирование беременности я не готова (мне 32) Мой стоматолог (из другого города, у которого я лечилась на протяжении многих лет) посоветовал установить БС после беременности через год. Есть еще вопрос, если я все-таки решаю отложить ортодонтическое лечение, стоит ли мне заранее удалить 8-ки? (одна из них поражена кариесом сильно со стороны десны) и поставить коронку на 6-ку? Можете ли вы посоветовать врача ортодонта и имплантолога в Москве? Спасибо! Ссылка на комментарий
Рекомендуемые сообщения
Для публикации сообщений создайте учётную запись или авторизуйтесь
Вы должны быть пользователем, чтобы оставить комментарий
Создать аккаунт
Зарегистрируйте новый аккаунт в нашем сообществе. Это очень просто!
Регистрация нового пользователяВойти
Уже есть аккаунт? Войти в систему.
Войти