Перейти к содержанию
Стоматология для всех

Рекомендуемые сообщения

Здравствуйте.
Помогите, пожалуйста, определиться с лечением.
Понять, в 27, 47 - обломки инструмента, уплотненный материал или что видно на КТ...
И нужен ли микроскоп для лечения?
 
17 зуб
Откололся кусочек зуба при накусывании шоколадки. Зуб не болел.
Почистили и расширили каналы,
временная пломба, препарат с кальцием с 13 октября.
  • Чем запломбировать, чтобы материал не рассосался, но можно было перепломбировать каналы? 
  • Гуттаперча 1 штифт или горячая? С АН+, эндометазоном или без?
  • Есть ли перфорация или как проверить?
     
  • Коронка или пломба?
  • Стекловолоконный, титановый штифт, вкладка или без? Что лучше выдержит нагрузку и что проще извлечь.
 
27 зуб, лучше видно все на КТ
5 лет назад - коронка
С первого дня коронки ощущение небольшого ее движения.
 
Есть ли обломок инструмента в канале?
При таком воспалении перепломбировать каналы или удалять зуб?

Не болит, немного неприятно при накусывании твердой пищи.
Склонность к гайморитам
  

47
После пломбирования ныла челюсть год.
Пролечили каналы - перестал болеть.
Можно ли перепломбировать каналы, снять воспаление? Или затронется тройничный нерв?
Коронка или пломба?
Обломок 3мм на сгибе в канале или нет?
С пломбой жевала нормально, если б не воспаление на КТ...
 
Не болит.
 
  
КТ ВЧ, 15 октября
https://drive.google.com/file/d/1_Dzy5Oy3lMu9nSoQfSjSL7XRod6j2cz7/view?usp=sharing
 
КТ НЧ
 
 
Вложения:
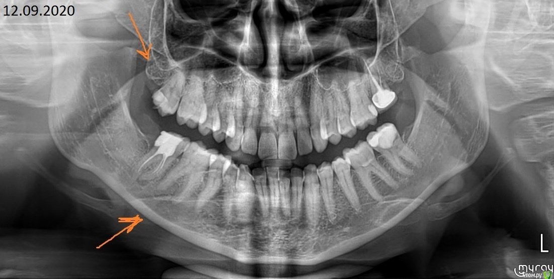
Ортопантомограмма сентября - до чистки каналов 17 зуба
Рентген 17 зуба после расширения каналов, 13.10
 
 

Важно ваше независимое мнение.
 
С уважением, Анна

 

post-61854-0-19962900-1605812007_thumb.jpg

post-61854-0-35452900-1605815113_thumb.jpg

  • Поддерживаю 1
Ссылка на комментарий

Для публикации сообщений создайте учётную запись или авторизуйтесь

Вы должны быть пользователем, чтобы оставить комментарий

Создать аккаунт

Зарегистрируйте новый аккаунт в нашем сообществе. Это очень просто!

Регистрация нового пользователя

Войти

Уже есть аккаунт? Войти в систему.

Войти
×
×
  • Создать...
Вверх