Fin Опубликовано 4 ноября, 2020 Поделиться Опубликовано 4 ноября, 2020 (изменено) Здравствуйте коллеги. В клинику обратилась пациентка с жалобой на эстетику передних зубов. В ходе осмотра и составления плана на КТ обнаружилась резка корня 22. Перфорация вестибулярной стенки на КТ не наблюдается. Думаю что при полном удалении корня вестибулярная стенка тоже уйдет. Техника IDR и B2S невозможна т.к. присутствуют восьмые зубы.Как вы считаете, стоит ли попытка сделать одномоментную имплантацию с техникой вариантов корневого щита или все таки идти на полное удаление? Изменено 4 ноября, 2020 пользователем Fin Ссылка на комментарий
Дмитрий М Опубликовано 4 ноября, 2020 Поделиться Опубликовано 4 ноября, 2020 Здравствуйте коллеги. В клинику обратилась пациентка с жалобой на эстетику передних зубов. В ходе осмотра и составления плана на КТ обнаружилась резка корня 22. Перфорация вестибулярной стенки на КТ не наблюдается. Думаю что при полном удалении корня вестибулярная стенка тоже уйдет. Техника IDR и B2S невозможна т.к. присутствуют восьмые зубы.Как вы считаете, стоит ли попытка сделать одномоментную имплантацию с техникой вариантов корневого щита или все таки идти на полное удаление? зависит от ваших мануальных навыковкроме техник IDR и щита есть и классические вполне рабочие методикизапланируйте щит, если не получится будьте готовы сделать имплантацию + алло или ксено графт сст даже при наличии 8 можно забрать Ссылка на комментарий
Irouil Опубликовано 4 ноября, 2020 Поделиться Опубликовано 4 ноября, 2020 Есть восьмёрки - разве это противопоказание к idr? Это показание к удалению 8х) Ссылка на комментарий
Fin Опубликовано 5 ноября, 2020 Автор Поделиться Опубликовано 5 ноября, 2020 зависит от ваших мануальных навыковкроме техник IDR и щита есть и классические вполне рабочие методикизапланируйте щит, если не получится будьте готовы сделать имплантацию + алло или ксено графт сст даже при наличии 8 можно забрать Есть восьмёрки - разве это противопоказание к idr? Это показание к удалению 8х)Почему то не получилось приложить скрины в первом сообщении. Мне кажется в области 8го зуба забирать нечего за ним уже как то далековато. Как Вы считаете? Ссылка на комментарий
Irouil Опубликовано 5 ноября, 2020 Поделиться Опубликовано 5 ноября, 2020 Что тут думать, на выход восьмёрки и через лунку транспланты забирать Ссылка на комментарий
Дмитрий Л. Опубликовано 5 ноября, 2020 Поделиться Опубликовано 5 ноября, 2020 Я думаю кортикалку получится сохранить. Ссылка на комментарий
Евгений Ходыкин Опубликовано 5 ноября, 2020 Поделиться Опубликовано 5 ноября, 2020 Тут IDR не нужна Ссылка на комментарий
Fin Опубликовано 7 ноября, 2020 Автор Поделиться Опубликовано 7 ноября, 2020 Тут IDR не нужна Я думаю кортикалку получится сохранить.Считаете что стоит сделать классическую одномоментную имплантацию? Корневой щит не стоит? Ссылка на комментарий
Дмитрий М Опубликовано 8 ноября, 2020 Поделиться Опубликовано 8 ноября, 2020 судя по снимку щит не получится, по причине его отсутствия 1 Ссылка на комментарий
Fin Опубликовано 9 ноября, 2020 Автор Поделиться Опубликовано 9 ноября, 2020 судя по снимку щит не получится, по причине его отсутствия Благодарю за ответ. Будем делать классику. А я думал наоборот пол дела сделано)) Х. Глюкман говорил что лучше немного подпилить корень в глубину, что бы не прорезался. Хотя тут не два мм а 4. Ссылка на комментарий
Евгений Ходыкин Опубликовано 10 ноября, 2020 Поделиться Опубликовано 10 ноября, 2020 Нет тут места и на щит, и на имплантат Ссылка на комментарий
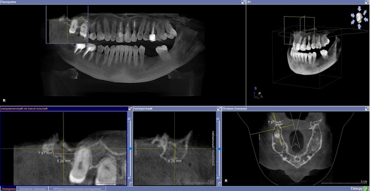
Fin Опубликовано 10 ноября, 2020 Автор Поделиться Опубликовано 10 ноября, 2020 (изменено) Нет тут места и на щит, и на имплантатНе понял Вас. Между корнями около 8 мм , 3.5 должен пройти. Больше беспокоит что после полного удаления корня образуется перфорация кортикальной стенки. Изменено 10 ноября, 2020 пользователем Fin Ссылка на комментарий
Большой Зеленый Опубликовано 11 ноября, 2020 Поделиться Опубликовано 11 ноября, 2020 Нет тут никакого щита Ссылка на комментарий
Fin Опубликовано 11 ноября, 2020 Автор Поделиться Опубликовано 11 ноября, 2020 (изменено) Нет тут никакого щитаПонял, стараемся максимально сохранить кортикалку при удалении Изменено 11 ноября, 2020 пользователем Fin Ссылка на комментарий
Евгений Ходыкин Опубликовано 11 ноября, 2020 Поделиться Опубликовано 11 ноября, 2020 Не понял Вас. Между корнями около 8 мм , 3.5 должен пройти. Больше беспокоит что после полного удаления корня образуется перфорация кортикальной стенки.В вестибуло-оральном направлении имею ввиду Ссылка на комментарий
Fin Опубликовано 11 ноября, 2020 Автор Поделиться Опубликовано 11 ноября, 2020 (изменено) В вестибуло-оральном направлении имею ввидуНе могли бы поподробнее разъяснить? Не понимаю в чём может быть подвох. Изменено 11 ноября, 2020 пользователем Fin Ссылка на комментарий
Рекомендуемые сообщения
Для публикации сообщений создайте учётную запись или авторизуйтесь
Вы должны быть пользователем, чтобы оставить комментарий
Создать аккаунт
Зарегистрируйте новый аккаунт в нашем сообществе. Это очень просто!
Регистрация нового пользователяВойти
Уже есть аккаунт? Войти в систему.
Войти