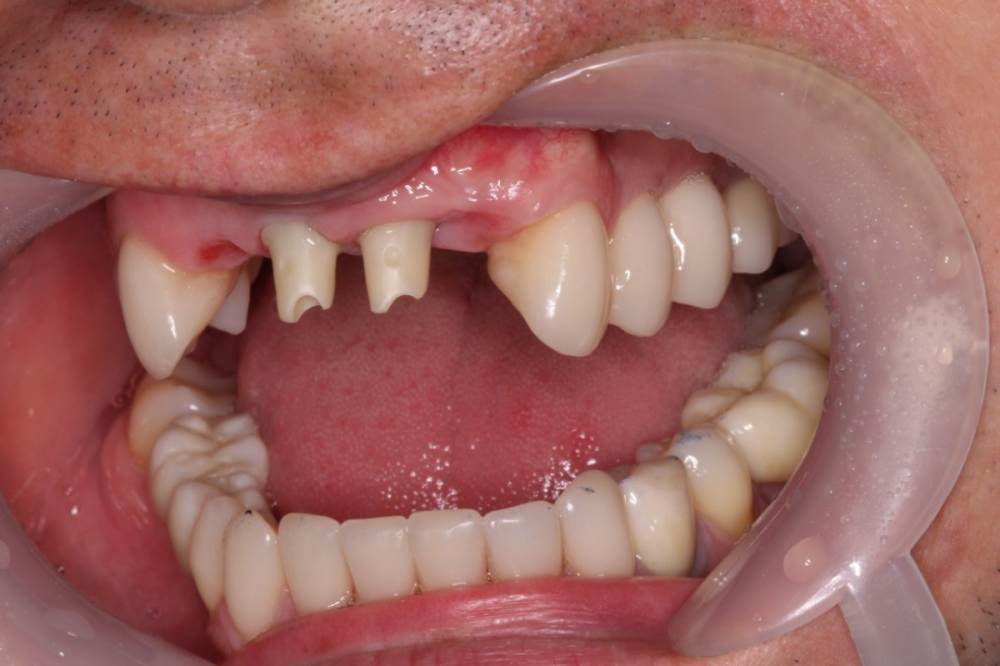
maksimstom Опубликовано 27 октября, 2020 Поделиться Опубликовано 27 октября, 2020 Добрый день, коллеги. Подскажите как бы поступили. 1,5 мес назад удалены зубы 1.2-2.2, установлены импл 11,21, сст вестибулярного 1.2-2.2. Фото до и после прилагаются(рг фото при необходимости добавлю, на работе осталось) в плане 1,5мес ждать пока заживет десна , далее что-то думать, склоняюсь к Сузуки, мб несколько этапов. Ссылка на комментарий
колесников Опубликовано 27 октября, 2020 Поделиться Опубликовано 27 октября, 2020 Здравствуйте! Во первых что это за фрагмент белеет? Во вторых нужно подкорректировать реставрацию и пропилить пространство для сосочков. Далее я бы добавил сст в расщеплённый лоскут ,(разрез с гребня отступя небнее,как бы сместить ткани вестибулярно )и сделать овоид на 22ом. ( Там явно костный дефект -это вершина треугольника. Сосочки 21,23-это основание. Основание будет стремиться к вершине. ) Чере 2 недели после снятия швов применять ирригатор. Оставить созревать на 1,5-2мес. По итогу ,решать о пластике сосочка 21-22 по масана. PS. 11 шахта вестибулярно,надеюсь там есть балкон,иначе десневой контур улетит апекально. Ссылка на комментарий
Irouil Опубликовано 27 октября, 2020 Поделиться Опубликовано 27 октября, 2020 Покажите снимки, но, ИМХО, с таким дефектом ничего не получится скорее всего Ссылка на комментарий
maksimstom Опубликовано 28 октября, 2020 Автор Поделиться Опубликовано 28 октября, 2020 Белеет кость, во время операции перекрывал ее сст от 23 до 11 с небольшой надеждой на то что запитается) наверно отвалится скоро. Положение импл из-за анатомии гребня, балкон есть. Спасибо за совет, наверно так и поступлю, но думаю подождать все-таки месяц пусть десна созреет Ссылка на комментарий
колесников Опубликовано 28 октября, 2020 Поделиться Опубликовано 28 октября, 2020 Белеет кость, во время операции перекрывал ее сст от 23 до 11 с небольшой надеждой на то что запитается) наверно отвалится скоро. Положение импл из-за анатомии гребня, балкон есть. Спасибо за совет, наверно так и поступлю, но думаю подождать все-таки месяц пусть десна созреет даже не знаю что сказать. Эстетический прогноз серьезный. Оголенный фрагмент секвестрируется 1 Ссылка на комментарий
maksimstom Опубликовано 28 октября, 2020 Автор Поделиться Опубликовано 28 октября, 2020 Мб изначально неверная тактика была? По отсроченному протоколу эстетика менее предсказуема на мой взгляд.. также подумываю о нкр в обл 22, если мягкими не решится Ссылка на комментарий
Дмитрий М Опубликовано 29 октября, 2020 Поделиться Опубликовано 29 октября, 2020 (изменено) я бы скусил фрагмент оголенной кости, ждать более глубокого инфицирования нет смыслаи проводить повторную пластику как предложил колесников думаю подождать все-таки месяц пусть десна созреет1,5 мес уже прошло, в этом месте уже ничего не созреет, трансплантат отвалился Изменено 29 октября, 2020 пользователем Дмитрий М Ссылка на комментарий
Nazim_NV86 Опубликовано 29 октября, 2020 Поделиться Опубликовано 29 октября, 2020 ждать более глубокого инфицирования нет смысла ... бором спилите 1 Ссылка на комментарий
maksimstom Опубликовано 30 октября, 2020 Автор Поделиться Опубликовано 30 октября, 2020 27.10.2020 в 23:15, Irouil сказал: Покажите снимки, но, ИМХО, с таким дефектом ничего не получится скорее всего Кт после и прицелы области 1.2 и 2.2 Ссылка на комментарий
maksimstom Опубликовано 30 октября, 2020 Автор Поделиться Опубликовано 30 октября, 2020 ... бором спилите скусил, спасибо. подожду 3 нед заживет и на пластику 1 Ссылка на комментарий
колесников Опубликовано 30 октября, 2020 Поделиться Опубликовано 30 октября, 2020 11,21 щит? Отлично! ,но нужно фланец делать и желательно имплант более небно. 22 следовало консервацию лунки сделать,теперь надо спасать 21,22,23 Ссылка на комментарий
maksimstom Опубликовано 30 октября, 2020 Автор Поделиться Опубликовано 30 октября, 2020 11,21 щит? Отлично! ,но нужно фланец делать и желательно имплант более небно. 22 следовало консервацию лунки сделать,теперь надо спасать 21,22,23 щита нет, ксено там. Консервировал 22, на прицеле с Графтом это 22. Фланец сдт? Ссылка на комментарий
колесников Опубликовано 30 октября, 2020 Поделиться Опубликовано 30 октября, 2020 (изменено) ПоказалосьСтранно что оголилось после консервации. Как закрывали лунку? Изменено 30 октября, 2020 пользователем колесников Ссылка на комментарий
maksimstom Опубликовано 30 октября, 2020 Автор Поделиться Опубликовано 30 октября, 2020 Биоос и губка сверху , ничего не сыпалось и не болело после операции Ссылка на комментарий
maksimstom Опубликовано 30 октября, 2020 Автор Поделиться Опубликовано 30 октября, 2020 Ранее такого не было. Сейчас думаю хуже бы не сделать в обл 21 и 23 Ссылка на комментарий
колесников Опубликовано 31 октября, 2020 Поделиться Опубликовано 31 октября, 2020 (изменено) Не откидывайте лоскут и вертикальные разрезы не делайте Изменено 31 октября, 2020 пользователем колесников Ссылка на комментарий
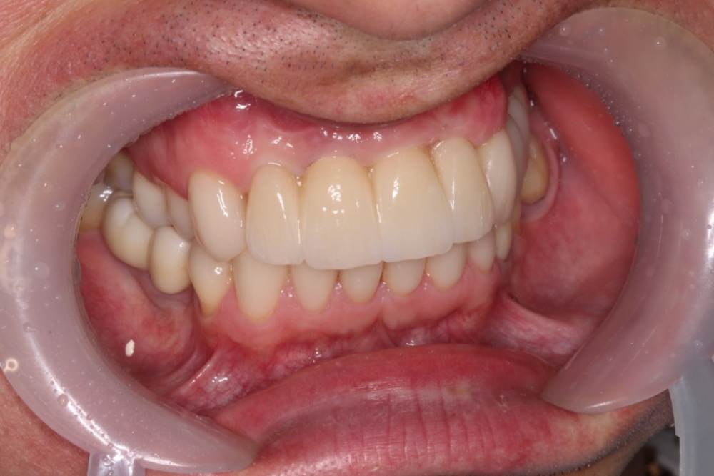
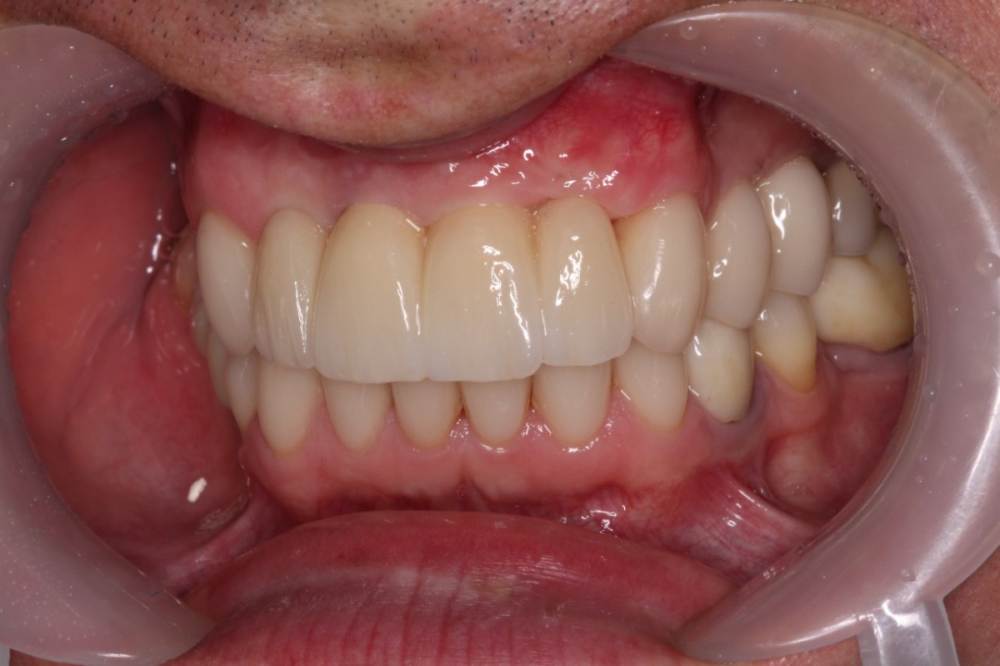
maksimstom Опубликовано 1 сентября, 2021 Автор Поделиться Опубликовано 1 сентября, 2021 Всем спасибо! Результат через 6 мес, 2 пластики десны 4 1 3 Ссылка на комментарий
Irouil Опубликовано 1 сентября, 2021 Поделиться Опубликовано 1 сентября, 2021 Как решили? учитывая исходник - очень внушительно! Ссылка на комментарий
maksimstom Опубликовано 2 сентября, 2021 Автор Поделиться Опубликовано 2 сентября, 2021 Тоннельно 1 транспл окклюзионно, 1 вестибулярно, ждал месяца 4, бугор подрос 1 Ссылка на комментарий
сирена Опубликовано 2 сентября, 2021 Поделиться Опубликовано 2 сентября, 2021 Круто Ссылка на комментарий
Рекомендуемые сообщения
Для публикации сообщений создайте учётную запись или авторизуйтесь
Вы должны быть пользователем, чтобы оставить комментарий
Создать аккаунт
Зарегистрируйте новый аккаунт в нашем сообществе. Это очень просто!
Регистрация нового пользователяВойти
Уже есть аккаунт? Войти в систему.
Войти