Tatiana72 Опубликовано 23 октября, 2020 Поделиться Опубликовано 23 октября, 2020 (изменено) Добрый день, уважаемые доктора! Заболело, как оно водится, именно тогда, когда были закрыты все стоматологические клиники из-за пандемии. Кое-как дотерпела до открытия и понеслась к своему доктору. В июне депульпировали и пролечили верхнюю правую четверку (1.4 если не ошибаюсь), в августе поставили имплант Астра вместо 1.5 зуба. Одновременно подчистили экзостоз над 1.5 под будущее протезирование. Доктор закрыл разрез, натянув слизистую сверху и сшил ее над имплантантом со слизистой с внутренней стороны. (фото не очень четкое, но видно полоску слизистой как раз над 1.5 зубом). Из-за этого сильно опустился тяж над 1.5 зубом. Через некоторое время после снятия швов меня стали беспокоить тупые, тянущие боли в районе 1.4-1.5 зубов, особенно по вечерам. При жевании ничего не чувствую, но если надкусить что-нибудь твердое или постучать по 1.4, то зуб будет ныть 4-5 минут. При физических нагрузках и прыжках тоже самое. Кость на месте убранного экзостоза тоже болезненна, прощупывается маленький бугорок. Мой доктор ничего не видит, хотя я жаловалась на боли неоднократно. Четверку удалять отказывается, говорит, что зуб хороший, планируется протезирование под коронку, а у меня уже сил нет, ноет каждый вечер, а иногда и сразу с утра. В чем может быть причина, с чего начать? Четверку уже очень хочется вырвать, чтобы не ныла, но есть сомнения, что проблема именно в ней. Изменено 23 октября, 2020 пользователем Tatiana72 Ссылка на комментарий
Nazim_NV86 Опубликовано 23 октября, 2020 Поделиться Опубликовано 23 октября, 2020 Здравствуйте. Обе фотографии неинформативны. Сделайте КЛКТ и выложите скрины областей 14,15,16,17. 1 Ссылка на комментарий
Tatiana72 Опубликовано 25 октября, 2020 Автор Поделиться Опубликовано 25 октября, 2020 (изменено) Спасибо. КТ сделаю на неделе, в выходные не получилось записаться, сразу выложу. А пока вопрос по десне, правильно ли провели операцию по натяжению слизистой Фото убрала в скрытый текст, не очень красиво выглядит. Видно опущенный тяж и участок красного цвета, который натянули над 15 зубом. Может это являться причиной боли? 14 зубом слегка задеваю за щеку, не травматично, но ощутимо. Зуб спереди подпиленный, а сзади остался как был. Изменено 25 октября, 2020 пользователем Tatiana72 Ссылка на комментарий
Дмитрий М Опубликовано 25 октября, 2020 Поделиться Опубликовано 25 октября, 2020 не переживайте по поводу слизистой, после удаления зуба меняется форма и размер кости и слизистой и это нормально, участок красного цвета это граница переход подвижной слизистой и ничего критичного на данном этапе нет.у вас еще будет второй этап - установка формирователя десны, и при необходимости доктор проведет пластику мягких тканей. а вот гигиену сделать необходимо Ссылка на комментарий
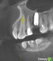
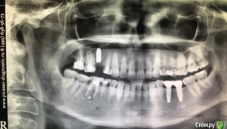
Tatiana72 Опубликовано 27 октября, 2020 Автор Поделиться Опубликовано 27 октября, 2020 Добрый вечер!Выкладываю скрины срезов Ссылка на исследованиеhttps://yadi.sk/d/ViQR0U6R2QjHzg Ссылка на комментарий
Дмитрий М Опубликовано 28 октября, 2020 Поделиться Опубликовано 28 октября, 2020 Добрый вечер!Выкладываю скрины срезовImage4.jpgImage5.jpgImage9.jpg Ссылка на исследованиеhttps://yadi.sk/d/ViQR0U6R2QjHzg не волнуйтесь всё хорошо, по КТ корень зуба не задетесть небольшой очаг разряжения на одном из апексов, обратитесь к стоматологу 1 Ссылка на комментарий
Tatiana72 Опубликовано 28 октября, 2020 Автор Поделиться Опубликовано 28 октября, 2020 Дмитрий, спасибо Вам большое! Ссылка на комментарий
Рекомендуемые сообщения
Для публикации сообщений создайте учётную запись или авторизуйтесь
Вы должны быть пользователем, чтобы оставить комментарий
Создать аккаунт
Зарегистрируйте новый аккаунт в нашем сообществе. Это очень просто!
Регистрация нового пользователяВойти
Уже есть аккаунт? Войти в систему.
Войти