Перейти к содержанию
Стоматология для всех

Хронический пульпит - уточнение плана лечения


sdf

Рекомендуемые сообщения

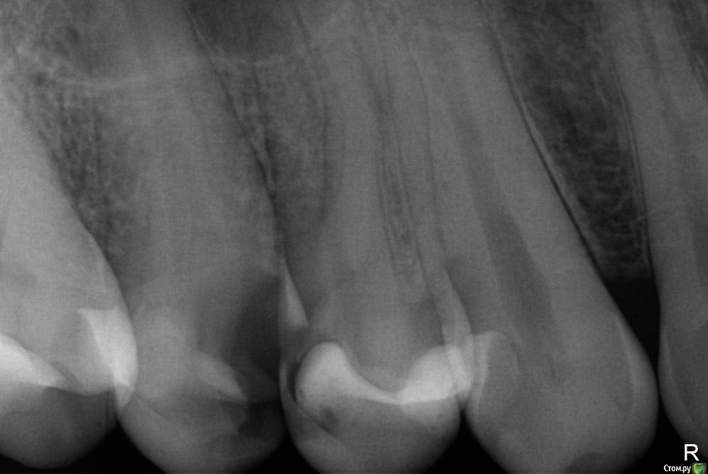
Мне поставили диагноз -- хронический пульпит. Вот снимок. Сказали, что стоимость лечение такого зуба составит 10 тысяч рублей.

 

Прилагаю прицельный снимок 1.4

 

Расписали лечение, 14 зуб:

 

Сказали, что лечение надо начать в течение 7дней, так как инфекция может пойти дальше, и всё будет дороже.

 

рекомендовано эндодонтическое лечение:

 

1. посещение: анестезия 400 р.

формирование доступа к корневым каналом, 900 рублей.

обработка 2-х каналов по 1200 каждый=2400 рублей

заполнение 2-х корневых каналов,каждый канал по 800 рублей=1600 рублей

временная пломба 400 рублей

 

2. посещение

анестезия 400 рублей

пломбировка 2-х каналов по 1050 рублей=2100

контр. снимок - 200 рублей

изоляционная прокладка. 200 р_

восстановление <неразборчиво>  части зуба - 3700 рублей

обработка пломбы, шлифовка, плобмировка - 400 рублей_

 

------

Вопросы:

1. Есть ли какие-то замечания на назначенному лечению?

2. Если что-то пойдёт не так, то какие документы перед началом лечения я могу взять с собой: например, могу ли я сделать копию моей карточки, чтобы потом доказать, что я там лечился (на случай гарантии или обращения в суд)? На основании действующего закона какую информацию требовать перед началом лечения с подписью врача или учреждения на бланке учреждения, чтобы потом иметь какие-то документы, помимо чека?

post-61553-0-09043500-1603185950_thumb.jpg

Изменено пользователем sdf
  • Поддерживаю 1
  • Не поддерживаю 1
Ссылка на комментарий

Нормальный план лечения. Но если изначально думать про суд и тп, то ничего хорошего не выйдет. Найдите клинику/врача к которому будет доверие. 

  • Поддерживаю 4
  • Не поддерживаю 1
Ссылка на комментарий

 

 

1. Есть ли какие-то замечания на назначенному лечению?

нет, все корректно

 

 

2. Если что-то пойдёт не так, то какие документы перед началом лечения я могу взять с собой: например, могу ли я сделать копию моей карточки, чтобы потом доказать, что я там лечился (на случай гарантии или обращения в суд)?

Интересная у Вас постановка вопроса... Сами пропустили разрушение зуба, а теперь хотите  требовать гарантий или того хуже собираетесь  в суд до начала лечения.

ИМХО, или меняйте доктора на того кому доверяете, или меняйте свое отношение к здоровью и медицине

  • Поддерживаю 3
Ссылка на комментарий

Есть проверенный на практике закон: психологические проблемы ведут за собой клинические. Если Вы настроены на суд,значит, готовьтесь к потере зуба. Ибо от медицины здоровье зависит только на 10-20%.

  • Поддерживаю 2
  • Не поддерживаю 2
Ссылка на комментарий
Гость
Эта тема закрыта для публикации ответов.
×
×
  • Создать...
Вверх