walf Опубликовано 5 октября, 2020 Поделиться Опубликовано 5 октября, 2020 Добрый день! Сегодня был у врача стоматолога, с проблемой в одном зубе.Показал для начала ему панорамный снимок, он взглянул на него и ужаснувшись сказал "У вас везде пародонтоз. Убыль кости." Меня это честно сказать прям ошарашило, т.к. никто никогда мне об этом не говорил. Да и возраст, наверно, для таких вещей не подходящий, всего 25 лет. Врачей пародонтологов к сожалению в городе нет. А так, профессиональную чистку прохожу раз в 6-12мес.Если возможно, прокомментируйте пожалуйста, действительно ли это похоже на пародонтоз и насколько всё плохо? Что можно предпринять в данном случае? Ссылка на комментарий
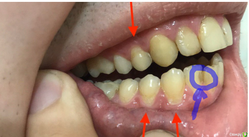
It'sGeorgy Опубликовано 5 октября, 2020 Поделиться Опубликовано 5 октября, 2020 (изменено) Ни тяжелого генерализованного пародонтита, ни, уж тем более, пародонтоза у вас нет.На фото есть небольшие рецессии десны(когда десна опускается ниже положенного уровня относительно зуба) - это один из симптомов первых пародонтита. Скорее всего, это следствие проблем с прикусом. Уровень кости по снимку в пределах нормы. Отмеченную пломбу надо поменять и сходить на консультацию к ортодонту. Изменено 5 октября, 2020 пользователем It'sGeorgy Ссылка на комментарий
Rania Опубликовано 5 октября, 2020 Поделиться Опубликовано 5 октября, 2020 Есть неравномерная убыль кости, но совсем не критично. Вам нужно очень тщательно следить за гигиеной. К обычной чистке зубной щёткой добавить межзубные ёршики, раз в пол года проверяться по поводу зубных камней, при необходимости делать профессиональную гигиену. При убыли кости бывает две проблемы- повышенная чувствительность зубов и подвижность зубов. Скорее всего у Вас пока этого нет. Но в дальнейшем если будут подобные симптомы, надо будет обращаться к стоматологу за симптоматическим лечением повышенной чувствительности и при подвижности шинирование. Сейчас на данном этапе только хорошая гигиена. И обратите внимание на способ Вашей чистки зубов. На фото я вижу на нижнем клыке начало клиновидного дефекта. Это от неправильной чистки бывает. Но я могу и ошибаться, надо посмотреть лично у врача. Ссылка на комментарий
walf Опубликовано 6 октября, 2020 Автор Поделиться Опубликовано 6 октября, 2020 Спасибо Вам, большое за ответ!)На счёт тщательной гигиены, показаться ортодонту по поводу прикуса и проверяться раз в пол года по поводу зубных камней - понял, буду выполнять.На счет подвижности: депульпированная 4-ка с рецессией, немного подвижна (если попытаться покачать), но совсем капельку. Это не страшно?И Образовался вопрос: неравномерная убыль кости и небольшие рецессии десны должны перестать прогрессировать или это процесс неизбежный, вопрос лишь во времени?И как быстро может прогрессировать данная беда до критического состояния? Лет 5,10,15? Ссылка на комментарий
It'sGeorgy Опубликовано 6 октября, 2020 Поделиться Опубликовано 6 октября, 2020 На счет подвижности: депульпированная 4-ка с рецессией, немного подвижна (если попытаться покачать), но совсем капельку. Это не страшно? Нужно очно смотреть. Возможно, вы видите подвижность, которой нет. А возможно, нужно уже принимать меры и шинировать. И Образовался вопрос: неравномерная убыль кости и небольшие рецессии десны должны перестать прогрессировать или это процесс неизбежный, вопрос лишь во времени?И как быстро может прогрессировать данная беда до критического состояния? Лет 5,10,15? Если у вас есть проблемы с прикусом и вы не займетесь их решение - они продолжат прогрессировать.По поводу сроков - все зависит от вас, опять же. Если прямо сейчас вы начнете искать ортодонтов, если будет необходимо - пройдете ортодонтическое лечение, затем закроете рецессии и будете хорошо следить за домашней и профессиональной гигиеной, то этот вопрос отпадет сам. Ссылка на комментарий
Рекомендуемые сообщения
Для публикации сообщений создайте учётную запись или авторизуйтесь
Вы должны быть пользователем, чтобы оставить комментарий
Создать аккаунт
Зарегистрируйте новый аккаунт в нашем сообществе. Это очень просто!
Регистрация нового пользователяВойти
Уже есть аккаунт? Войти в систему.
Войти