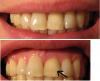
smith Опубликовано 13 ноября, 2008 Поделиться Опубликовано 13 ноября, 2008 Лечащий врач полгода назад установил имплант. Сейчас я с временной коронкой. Прошу обратить внимания, временную коронку врач сделал из моего испортившегося зуба (на рисунке показано стрелкой). Теперь настало время ставить постоянную. Предложил на выбор золотой абатмент на металокерамике или циркониевый с безметаловой коронкой. Сам врач советует цирконий, но по стоимости это почти в два раза дороже получается. Вопрос состоит в том, что имеет ли смысл ставить цирконий конкретно в моем случае ? Какие я получу преимущества с точки зрения эстетики, долговечности и может еще каких-либо показателей, неизвестных мне ? Ссылка на комментарий
Bier Опубликовано 13 ноября, 2008 Поделиться Опубликовано 13 ноября, 2008 классная работа. Делайте цирконий. Коронка будет и лучше и десна ведет себя на цирконии гораздо лучше. Ссылка на комментарий
Doc Опубликовано 13 ноября, 2008 Поделиться Опубликовано 13 ноября, 2008 Лечащий врач полгода назад установил имплант. Сейчас я с временной коронкой. Прошу обратить внимания, временную коронку врач сделал из моего испортившегося зуба (на рисунке показано стрелкой). Теперь настало время ставить постоянную. Предложил на выбор золотой абатмент на металокерамике или циркониевый с безметаловой коронкой. Сам врач советует цирконий, но по стоимости это почти в два раза дороже получается. Вопрос состоит в том, что имеет ли смысл ставить цирконий конкретно в моем случае ? Какие я получу преимущества с точки зрения эстетики, долговечности и может еще каких-либо показателей, неизвестных мне ? Вам придется выравнивать высоту десны у двух передних зубов. Так что цирконий и в этом случае предпочтительнее, каким бы способом врач это не пытался сделать. Ссылка на комментарий
Doc Опубликовано 15 ноября, 2008 Поделиться Опубликовано 15 ноября, 2008 я честно говоря понял, что это не непосредственная нагрузка - это закрепленная за соседние зубы коронка удаленного зуба.А сам имплантант еще даже не раскрыт. Отсюда разница в высоте десневой арки. Smith, я прав? Если так, то над эстетикой придется потрудиться..и время упущено. Мне показалось, что там просто зуб к временному абатменту прикручен. Что касается эстетики, то потрудиться придется, но не все так страшно. Сосочки на месте, это главное, а уж зенит вывести когда он ниже, чем нужно, а не выше - это не такая уж и проблема, ИМХО. Если доктор не потерял сосочки, значит разберется при желании. Ссылка на комментарий
smith Опубликовано 15 ноября, 2008 Автор Поделиться Опубликовано 15 ноября, 2008 я честно говоря понял, что это не непосредственная нагрузка - это закрепленная за соседние зубы коронка удаленного зуба.А сам имплантант еще даже не раскрыт. Отсюда разница в высоте десневой арки. Smith, я прав? Если так, то над эстетикой придется потрудиться..и время упущено. нет, вы не правы, это коронка ввиде остатка моего же испорченного зуба, все как положено, на временном абатменте, то есть имплант уже под нагрузкой ... Ссылка на комментарий
Рекомендуемые сообщения
Для публикации сообщений создайте учётную запись или авторизуйтесь
Вы должны быть пользователем, чтобы оставить комментарий
Создать аккаунт
Зарегистрируйте новый аккаунт в нашем сообществе. Это очень просто!
Регистрация нового пользователяВойти
Уже есть аккаунт? Войти в систему.
Войти