отрава Опубликовано 31 августа, 2020 Поделиться Опубликовано 31 августа, 2020 (изменено) Доброго времени суток всем. Подскажите, является ли вариантом нормы при ортодонтическом лечении "завал" шестерок вовнутрь? Наклонены сильно шестерки на нижней челюсти, на верхней антагонисты отсутствуют, ортолечение было с целью вернуть уехавший прикус перед протезированием. Также наклонилась пятерка сверу, стоит ли бить тревогу, если ортодонт собирается снимать брекеты через пару месяцев? Изменено 31 августа, 2020 пользователем отрава Ссылка на комментарий
отрава Опубликовано 31 августа, 2020 Автор Поделиться Опубликовано 31 августа, 2020 (изменено) Также в процессе ортолечения начал сильно болеть левый ВНЧС, есть ли смысл протезироваться в данной ситуации, или просто установить "балки" между 5-7 с обеих сторон до стихания болевого синдрома? Или сделать каппу на верхнюю челюсть с выемками под шестерки? Не хочу повторно ошибиться, знала бы что так будет, протезировалась бы как есть, без ортолечения. Изменено 31 августа, 2020 пользователем отрава Ссылка на комментарий
red_butler Опубликовано 31 августа, 2020 Поделиться Опубликовано 31 августа, 2020 http://forum.stom.ru/topic/4655-patcientam/ Ссылка на комментарий
отрава Опубликовано 31 августа, 2020 Автор Поделиться Опубликовано 31 августа, 2020 Фото рта сделаю чуть позже и выложу. Можно? Ссылка на комментарий
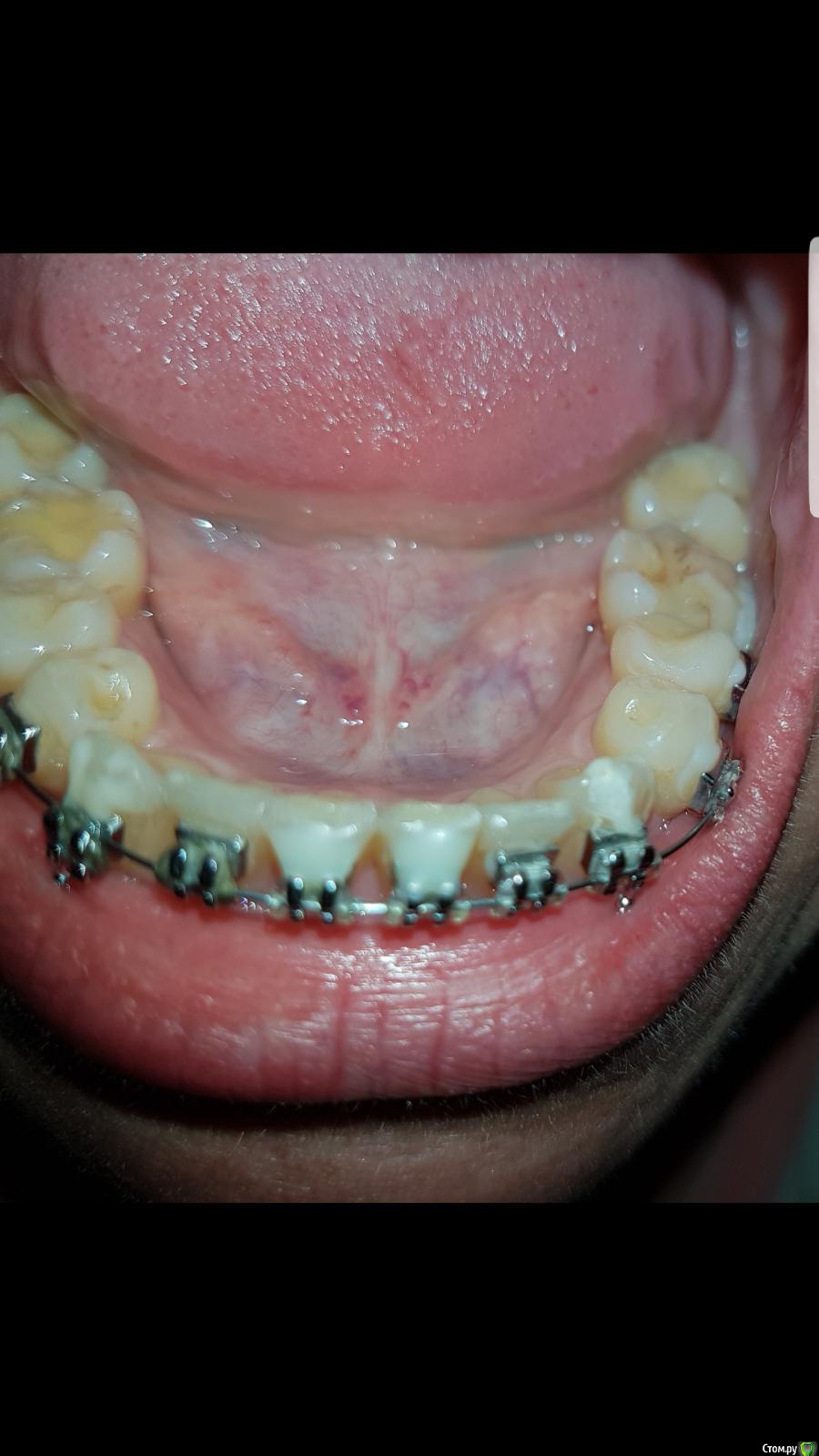
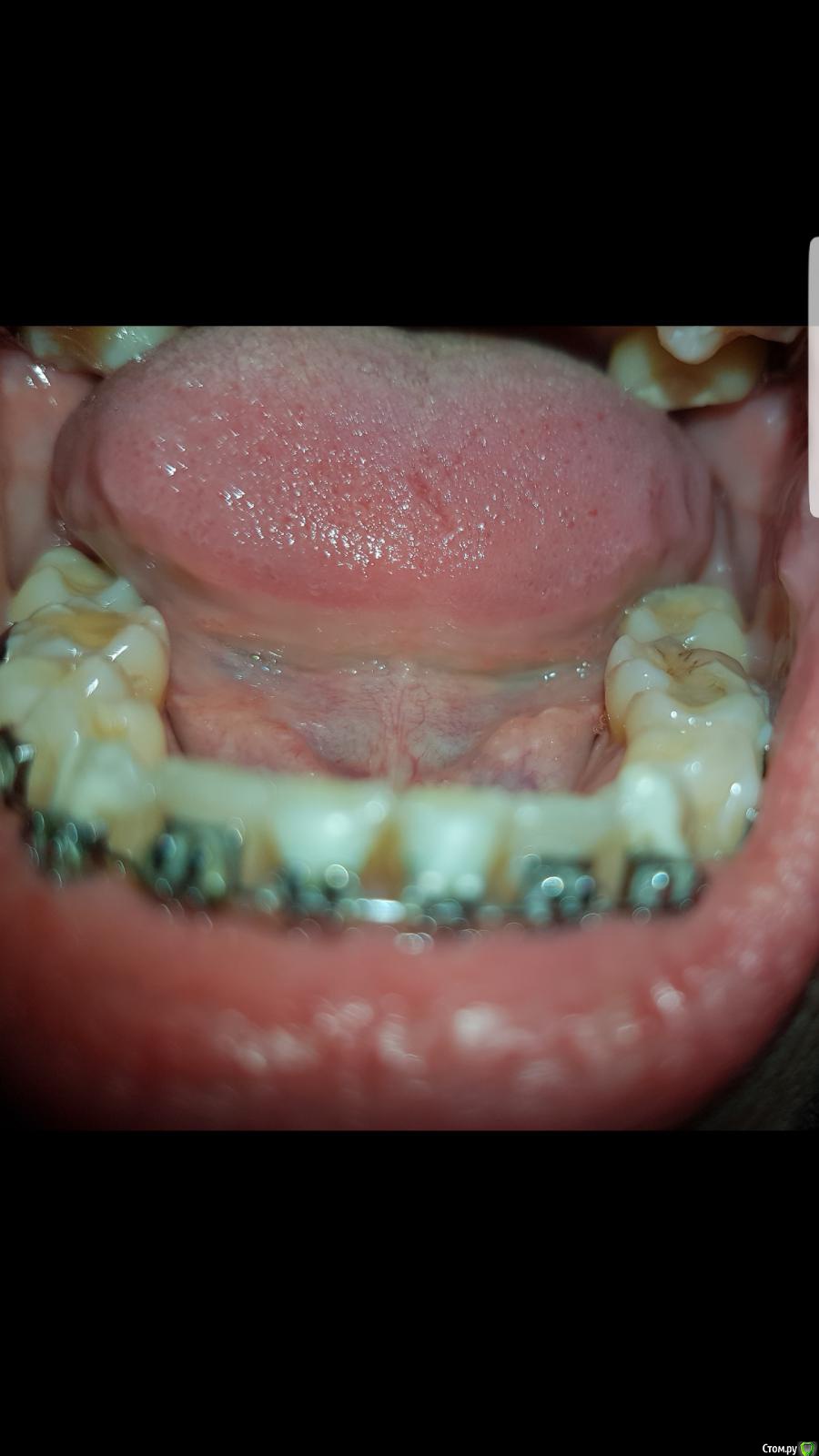
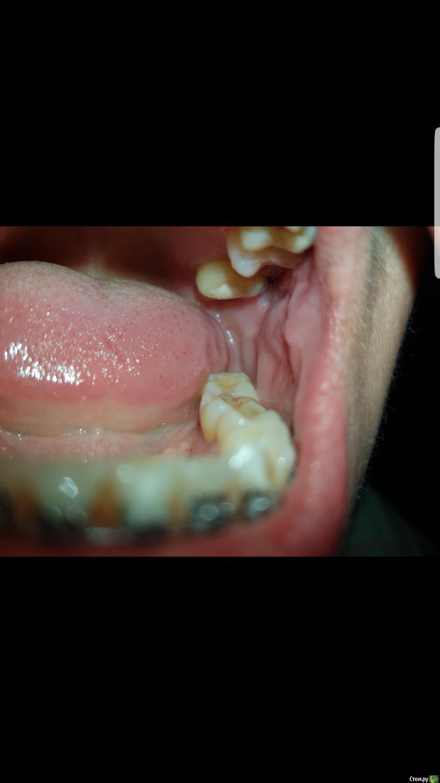
отрава Опубликовано 1 сентября, 2020 Автор Поделиться Опубликовано 1 сентября, 2020 (изменено) Фото.Врач делает вид, что так и должно быть, но до лечения не было таких наклонов. Изменено 1 сентября, 2020 пользователем отрава Ссылка на комментарий
отрава Опубликовано 2 сентября, 2020 Автор Поделиться Опубликовано 2 сентября, 2020 А в ответ тишина. Ссылка на комментарий
red_butler Опубликовано 2 сентября, 2020 Поделиться Опубликовано 2 сентября, 2020 А в ответ тишина.Ортодонтов на форуме не так уж много, плюс все доктора отвечают на добровольных началах и в свободное время. И перечитайте правила данного раздела Ссылка на комментарий
отрава Опубликовано 3 сентября, 2020 Автор Поделиться Опубликовано 3 сентября, 2020 Ну то, что форум умирает, я уже давно поняла. Стоит только посмотреть на сам движок, от которого все давно отказались.))) Ладно, пойду в другую клинику и за свою тысячу очно решу вопрос. Надежда умирала последней. Ссылка на комментарий
Рекомендуемые сообщения
Для публикации сообщений создайте учётную запись или авторизуйтесь
Вы должны быть пользователем, чтобы оставить комментарий
Создать аккаунт
Зарегистрируйте новый аккаунт в нашем сообществе. Это очень просто!
Регистрация нового пользователяВойти
Уже есть аккаунт? Войти в систему.
Войти