Ljocha Опубликовано 1 августа, 2020 Поделиться Опубликовано 1 августа, 2020 (изменено) приветствую! к сожалению, по состоянию своих зубов и кошелька, вынужден был оказаться клиентом муниципальной стоматологии ОГАУЗ "Стоматологическая поликлиника" и столкнулся со следующими очень волнующими меня проблемами: 1. финансовая проблема: в прейскуранте дентальная имплантация - 8000 рублей;по факту получаем счет на 8000 рублей за имплант + 8000 за дентальную имплантацию по прейскуранту + 4500 целый ворох всевозможной номенклатуры описывающей все рукодвижения при самой дентальной имплантации (по логике вещей, это и есть дентальная имплантация с 25 УЕТ), итого получаем:20500 рублей,(сама операция проходит в течении 20 минут, без какой либо компьютерной подгонки вкручивается шуруп на основе распечатанной ортопантомограммы)что уже больше чем в некоторых частных клиниках города,и это все совершенно официально идет через кассу,так поступают и многие другие стоматологи в этом заведении вопрос: не нарушают ли они закон? 2. другая проблема - халатность (или называйте как хотите): удалили зуб под гайморовой пазухой, ничего не сообщив + рядом поставили коронку;теперь слышу от хирурга такой расклад:-синус-лифтинг + имплант = 60 тысяч, срок от года, успешный результат под вопросом;-депульпация здорового зуба + снятие только что поставленной новой коронки + мост;-ничего не делать = нажить в дальнейшем ещё большие проблемы; пост-фактум узнал об одномоментной имплантации в таких ситуациях...не знаю что мне делать, услуги хирурга с ортопедом обойдутся примерно в тысяч 70 за зуб (и это ОГАУЗ), что для меня не подъемная сумма.прошу совета, как быть я ещё совсем молод,и мне жутко обидно за такое положение дел,могу ли я как то отстоять свои права в данных вопросах? с уважением, Алексей. Изменено 1 августа, 2020 пользователем Ljocha Ссылка на комментарий
Irouil Опубликовано 1 августа, 2020 Поделиться Опубликовано 1 августа, 2020 приветствую! Здравствуйте клиентом муниципальной стоматологии ОГАУЗ "Стоматологическая поликлиника" Пациентом1. финансовая проблема: в прейскуранте дентальная имплантация - 8000 рублей;по факту получаем счет на 8000 рублей за имплант + 8000 за дентальную имплантацию по прейскуранту + 4500 целый ворох всевозможной номенклатуры описывающей все рукодвижения при самой дентальной имплантации (по логике вещей, это и есть дентальная имплантация), итого получаем:20500 рублей,(сама операция проходит в течении 20 минут, без какой либо компьютерной подгонки вкручивается шуруп на основе распечатанной ортопантомограммы)что уже больше чем в некоторых частных клиниках города,и это все совершенно официально идет через кассу,так поступают и многие другие стоматологи в этом заведении вопрос: не нарушают ли они закон? Ни финансовыми, ни юридическими вопросами на этом форуме не занимаются. Посмотрите тему "К прочтению" 2. другая проблема - халатность (или называйте как хотите): удалили зуб под гайморовой пазухой, ничего не сообщивА если бы сказали, что под пазухой - то зуб бы не удалили? В большинстве случаев зубы удаляются из-за того, что они провоцируют одонтогенные воспалительные процессы, а если зуб близко к дну верхнечелюстной пазухи - этот процесс может со временем осложниться гайморитом. Так что наличие рядом пазухи - это не повод отказываться от удаления инфицированного зуба -синус-лифтинг + имплант = 60 тысяч, срок от года, успешный результат под вопросом; Проконсультируйтесь еще с коллегами, если такой расклад вызвал у Вас недоверие. Синус лифт в современной имплантологии в большинстве случаев - процедура обыденная, с прогнозируемым результатом.-депульпация здорового зуба + снятие только что поставленной новой коронки + мост; Это нерационально, на мой взгляд пост-фактум узнал об одномоментной имплантации в таких ситуациях... Она не всегда возможна и далеко не всегда позволяет избежать синус лифта. Не стоит сокрушаться прошу совета, как быть Вы же сами говорите, что стоимость лечения в некоторых частных клиниках будет ниже, чем в государственной. На мой взгляд, надо сходить в них и получить консультацию кого-то из коллег по этим вопросам. Во многих клиниках бюджетного сегмента консультации бесплатны.я ещё совсем молод,и мне жутко обидно за такое положение дел,могу ли я как то отстоять свои права в данных вопросах? с уважением, Алексей.Интересная история, Алексей. А какие Ваши права требуют отстаивания? Вам ведь только предложили какое-то лечение, насколько я понимаю. Если бы мне не понравился предложенный кем-то план лечения, то я бы начал с отстаивания права на выбор врача и медучреждения. 4 Ссылка на комментарий
Ljocha Опубликовано 1 августа, 2020 Автор Поделиться Опубликовано 1 августа, 2020 (изменено) МегаЭлита, здравствуйте! Ни финансовыми, ни юридическими вопросами на этом форуме не занимаются. Посмотрите тему "К прочтению" понимаю.в целом позиция такая:это муниципальное учреждение, а значит имеет определенный социальный статус и предполагает самые доступные условия на рынке (в принципе, что отражает их официальный прейскурант),это весьма большой поток клиентов (людям из бизнеса не стоит объяснять что это такое и сколько стоит) , многие из которых идут по вполне понятным финансовым (там ведь по определению дешевле) и общим причинам (это ведь государственная система здравоохоранения) , все цело доверяясь врачам они в свою очередь лечат (возможно и хорошо, не мне судить), но пользуются этим самым положением (состоянием и ситуацией пациента) для финансовой выгоды в моем понимании, это преступление против клятвы и общества, хочешь денег - делай свою работу хорошо, развивайся и работай в частной клинике/-ках с подходящей оплатой труда, хорошие специалисты нужны везде и всегда. А если бы сказали, что под пазухой - то зуб бы не удалили? В большинстве случаев зубы удаляются из-за того, что они провоцируют одонтогенные воспалительные процессы, а если зуб близко к дну верхнечелюстной пазухи - этот процесс может со временем осложниться гайморитом. Так что наличие рядом пазухи - это не повод отказываться от удаления инфицированного зубаLjocha сказал(а) 01 Авг 2020 - 14:28:-синус-лифтинг + имплант = 60 тысяч, срок от года, успешный результат под вопросом;Проконсультируйтесь еще с коллегами, если такой расклад вызвал у Вас недоверие. Синус лифт в современной имплантологии в большинстве случаев - процедура обыденная, с прогнозируемым результатом. не совсем так:я пришел в поликлинику за помощью,в конечном итоге попал к ортопеду,всецело доверился врачам,мне назначили план лечения по коронкам,затем я пошел к терапевту перелечивать каналы,потом пошел к хирургу удалять то, что перелечить не удалось, (была какая то тревога на этот вопрос и сомнения,но так как врачи ничего не сказали - посчитал что это напрастная мнительность) и нигде мне ни слова не сказали о возможных вариантах при удалении,все что услышал: "либо мост с депульпацией здорового, либо "чуть-чуть" дороже с имплантом", если бы мне хотя бы намекнули на это:я бы непременно собрал максимум информации по вопросу, если бы это по каким либо причинам здесь сделать не удалось - пошел бы искать где это возможно, и только потом бы удалял или одномоментно делал Она не всегда возможна и далеко не всегда позволяет избежать синус лифта. Не стоит сокрушаться понял, но проанализировав все что произошло (память к счастью не подводит) - пришел к выводу что это либо незнание, либо - халатность (терапевт и ортопед с опытом от 10-15 лет врачи, хирург был молодой) подолью масла в огонь: слева крайний штифтовый зуб - сломался через 2 недели после того как коронки поставили, пришлось удалить,справа внизу коронка, можете высказать свое мнение по поводу просвета между коронкой и корнем? Это нерационально, на мой взгляд спасибо, учту заранее прошу простить если что-то написал не корректно Изменено 1 августа, 2020 пользователем Ljocha Ссылка на комментарий
Vladimirov Опубликовано 1 августа, 2020 Поделиться Опубликовано 1 августа, 2020 Лёха,перво-наперво. Лечите зубы во время. Особенно если кошелёк тощий. Это не ирония не сарказм и не оскорбление. Сходить на осмотр не так трудно и затратно. Во время пролечить /средний кариес,поверьте,тоже! И поймите главное - запустили ротовую полость/нарушились ваши права/по отношению к вам проявили халатность итд итп РЕЗУЛЬТАТ ВСЕГДА ОДИН-БЕЗ ЗУБОВ ИМЕННО ВЫ. А вы ещё совсем молоды.И ещё,в свете грядущих перемен,а именно разгосударствления стоматологической помощи (будь оно не ладно) вы эти ОГАУЗы ещё не раз вспомните (по состоянию кошелька) 1 Ссылка на комментарий
Ljocha Опубликовано 1 августа, 2020 Автор Поделиться Опубликовано 1 августа, 2020 МегаЭлита Интересная история, Алексей. А какие Ваши права требуют отстаивания? Вам ведь только предложили какое-то лечение, насколько я понимаю. 1. развели на деньги;2. проявили халатность в лечении; 1 Ссылка на комментарий
Ljocha Опубликовано 1 августа, 2020 Автор Поделиться Опубликовано 1 августа, 2020 (изменено) Vladimirov спасибо! с зубами проблема серьезная системная, лечил и "вылечил" все по детству в частной клинике:вместо коронок понаделали штифтовых зубов, пришел срок и им... И ещё,в свете грядущих перемен,а именно разгосударствления стоматологической помощи (будь оно не ладно) вы эти ОГАУЗы ещё не раз вспомните (по состоянию кошелька) к сожалению, по здравохранению, уже опыт получил и в какой раз убеждаюсь:не место красит человека, а человек - место,отличные врачи есть и в ОГАУЗах и ВиАйПи - все зависит в первую очередь от человеческих качеств,проблема найти и не потерять от врачей не много хочу на самом деле: такие же люди, также свойственно делать ошибки, опять таки его величество СЛУЧАЙ...только один существенный критерий в оценке: ХАЛАТНОСТЬ Изменено 1 августа, 2020 пользователем Ljocha Ссылка на комментарий
Vladimirov Опубликовано 1 августа, 2020 Поделиться Опубликовано 1 августа, 2020 только один существенный критерий в оценке: ХАЛАТНОСТЬ это Лёха как посмотреть.пункт первый: халатность по отношению к СВОЕЙ ротовой полостипункт второй:желание решить серьёзные проблемы(вытекающие из пункта первого) за мелкий прайс.пункт третий:местечковый подход к проблеме как с вашей стороны так и возможно со стороны ОГАУЗ Ссылка на комментарий
Ljocha Опубликовано 1 августа, 2020 Автор Поделиться Опубликовано 1 августа, 2020 пункт первый: халатность по отношению к СВОЕЙ ротовой полости смотря с какой стороны посмотреть, считаю "и да, и нет",как я уже сказал, проблема системная и поражено не менее 80% всех зубов, нормальных не было никогда,времени и денег было потрачено много, "вылечил" все по детству все в частной клинике,а потом все это быстро стало разваливаться, были какие то попытки поддерживать состояние в ОГАУЗ по омс(к примеру вверху справа от центральных зубов была большая пломба, лечил потом кариес - откололся зуб на следующий день после лечения, в истерике побежал в частную клинику: хорошо корни остались - поставили коронку) хотя конечно Вы правы, это халатность тоже пункт второй:желание решить серьёзные проблемы(вытекающие из пункта первого) за мелкий прайс. а вот тут совсем не согласен,это государственное высокотехнологичное учреждение с передовыми технологиями и специалистами,это наше с Вами богатое государство и его гарантии на качественную медицину,так сказано на сайте, так и должно быть на самом деле,опять таки, высокий прайс не гарантия результата, пункт третий:местечковый подход к проблеме как с вашей стороны так и возможно со стороны ОГАУЗ и это все правильно, но как я понимаю, Вы - врач-специалист, а я - пациент,мы по определению не можем одинаково оценивать данную ситуацию, у меня в семье с советского союза понимание "врач всегда прав, ему виднее", которое мне с детства прививали,доля сомнения была всегда, и с годами она только росла, все совсем не просто Ссылка на комментарий
Irouil Опубликовано 1 августа, 2020 Поделиться Опубликовано 1 августа, 2020 Ну ясно. В общем, все фантазии на тему ущемления прав, неоплаченных долгов перед обществом и клиентами, нарушения мифических клятв - тут оффтоп. Этот раздел - для консультирования пациентов по КОНКРЕТНЫМ клиническим вопросам. Таких, на данный момент, 2 1 - отсутствует верхняя правая 6-ка, ее надо протезировать. Судя по предоставленнному орто - показана имплантация с синус-лифтом, возможно раздельно, точнее можно сказать по КТ. 2 - никаких явных проблем с прилеганием коронки на нижней правой шестерке я не вижу, могу так же порекомендовать КТ для контроля пломбировки P.S. мой ник - не МегаЭлита Ссылка на комментарий
Vladimirov Опубликовано 1 августа, 2020 Поделиться Опубликовано 1 августа, 2020 Лёха, я вам такой пример приведу. Объяснять буду по русски,без всяких наших терминов-словечек,ну что бы вам понятнее было.ОК? Итак:Вот приходит ко мне пац с жалобами на дыру в зубе. Дыра-мама не балуй. Но процесс пока не затронул пульпу (нерв)зуба, т е кариес дентина. Что делаю я? ну естественно анестезия(обезбаливание) препарирование (высверливаю всю гниль) пломбирую. Так? Так. Далее поясняю пацу,что де если пломба больше половины зуба,то крайне желательно в дальнейшем провести ортопедическое лечение данного зубика так как стенки тонкие тра ля ля а как известно где тонко там и рвётся. Пац обычно смотрит на меня добрыми глазами и спрашивает:а зачем вы же всё сделали? или нет? или что то не так. Начинаю пояснять. Пац кивает и через пять минут мы расстаёмся.... что бы встретится через энное количество времени. Пац тычет пальчиком в рот и с гаденькой такой полуулыбочкой,голосом Дуремара выдаёт - а зубик то лопнул собака! А я то только мякушку ел! Вопрос,Лёха,кто халатный?Другой пример: Такой же пац,со схожим случаем,через энное колличество времени решает последовать моему совету и соглашается на коронку. И вот приходит он к ортопеду (это такой стомотолог который эти самые коронки ставит,ну и вынимает) в другую клинику (где подешевле) а тот бац ему-ну дружок а зубик то нада пульпировать(нэрв удалить) ну и что что не болит??? Надо!!! И пошло по второму кругу. Итд Итп опять типа развод на деньгиЛёха,к чему эти много букв выше? А к тому что во первых если есть более-менее серьёзные проблемы то их лучше решать системно. благо сейчас выбор клиник огромен и консультации много где бесплатны\недороги. Идите в одну клинику получайте план лечения,идите в другую третью,на этот форум в конце концов. И картина для вас прояснится. Ссылка на комментарий
Vladimirov Опубликовано 1 августа, 2020 Поделиться Опубликовано 1 августа, 2020 а вот тут совсем не согласен, это государственное высокотехнологичное учреждение с передовыми технологиями и специалистами, это наше с Вами богатое государство и его гарантии на качественную медицину, так сказано на сайте, так и должно быть на самом деле, опять таки, высокий прайс не гарантия результата, Лёх,вы это бросайте сразу.оно в жизни проще будет Ссылка на комментарий
Ljocha Опубликовано 1 августа, 2020 Автор Поделиться Опубликовано 1 августа, 2020 P.S. мой ник - не МегаЭлита прошу прощения, Irouil 1 - отсутствует верхняя правая 6-ка, ее надо протезировать. Судя по предоставленнному орто - показана имплантация с синус-лифтом, возможно раздельно, точнее можно сказать по КТ. мне один врач предложил вкладыш сделать без фиксации между зубами, чтобы они не наклонялись в сторону отсутствующего зуба, его можно самому легко снять, говорит выпадать не будет это можно рассматривать как вариант на время синус-лифтаи правильно я понял, можно найти специалистов которые одномоментно сделают имплантацию с синус-лифтингом? 2 - никаких явных проблем с прилеганием коронки на нижней правой шестерке я не вижу, могу так же порекомендовать КТ для контроля пломбировки извините, с левой стороны картинки, двойная коронка, на втором зубе на второй половине корня просвет значительный виднеется,мне об этом другой стоматолог сказал Ссылка на комментарий
Irouil Опубликовано 1 августа, 2020 Поделиться Опубликовано 1 августа, 2020 мне один врач предложил вкладыш сделать без фиксации между зубами, чтобы они не наклонялись в сторону отсутствующего зуба, его можно самому легко снять, говорит выпадать не будет это можно рассматривать как вариант на время синус-лифтаи правильно я понял, можно найти специалистов которые одномоментно сделают имплантацию с синус-лифтингом? Видимо, речь идет о съемном протезе. Большого практического смысла я в нем не вижу Я в большинстве случаев провожу синус лифт одновременно с имплантацией, это распространённая практика извините, с левой стороны картинки, двойная коронка, на втором зубе на второй половине корня просвет значительный виднеется,мне об этом другой стоматолог сказал Тут нужен точный осмотр, подозрение на кариес корня по снимку есть, но без точного осмотра судить нельзя - может быть просто артефакт Ссылка на комментарий
Ljocha Опубликовано 1 августа, 2020 Автор Поделиться Опубликовано 1 августа, 2020 Видимо, речь идет о съемном протезе. Большого практического смысла я в нем не вижу Я в большинстве случаев провожу синус лифт одновременно с имплантацией, это распространённая практикаТут нужен точный осмотр, подозрение на кариес корня по снимку есть, но без точного осмотра судить нельзя - может быть просто артефакт я все понял, коронку ношу неполных 2 месяца, каналы перелечивал за деньги у рукастого врача, который сейчас уехал в отпуск,сомнений что он это сделал качественно практически нет, на следующей неделе планирую к ортопеду записаться,не могли бы просветить по моим действиям, чтобы меня не обманули я так понимаю, мне по гарантии должны исправить это там есть варианты: зашла инфекция или не зашла?во всех вариантах ортопед может самостоятельно исправить? по итогу в любом случае снимок принудительно сделать нужно и убедиться чтобы на нем не было просветов - в частности показать здесь на форуме если этого не будет или какие то серьезные осложнения - это ответственность ортопеда и я могу с него спросить по закону? Ссылка на комментарий
Ljocha Опубликовано 1 августа, 2020 Автор Поделиться Опубликовано 1 августа, 2020 Vladimirov Лёха, я вам такой пример приведу. Объяснять буду по русски,без всяких наших терминов-словечек,ну что бы вам понятнее было.ОК? Итак: Вот приходит ко мне пац с жалобами на дыру в зубе. Дыра-мама не балуй. Но процесс пока не затронул пульпу (нерв)зуба, т е кариес дентина. Что делаю я? ну естественно анестезия(обезбаливание) препарирование (высверливаю всю гниль) пломбирую. Так? Так. Далее поясняю пацу,что де если пломба больше половины зуба,то крайне желательно в дальнейшем провести ортопедическое лечение данного зубика так как стенки тонкие тра ля ля а как известно где тонко там и рвётся. Пац обычно смотрит на меня добрыми глазами и спрашивает:а зачем вы же всё сделали? или нет? или что то не так. Начинаю пояснять. Пац кивает и через пять минут мы расстаёмся.... что бы встретится через энное количество времени. Пац тычет пальчиком в рот и с гаденькой такой полуулыбочкой,голосом Дуремара выдаёт - а зубик то лопнул собака! А я то только мякушку ел! Вопрос,Лёха,кто халатный? Другой пример: Такой же пац,со схожим случаем,через энное колличество времени решает последовать моему совету и соглашается на коронку. И вот приходит он к ортопеду (это такой стомотолог который эти самые коронки ставит,ну и вынимает) в другую клинику (где подешевле) а тот бац ему-ну дружок а зубик то нада пульпировать(нэрв удалить) ну и что что не болит??? Надо!!! И пошло по второму кругу. Итд Итп опять типа развод на деньги Лёха,к чему эти много букв выше? А к тому что во первых если есть более-менее серьёзные проблемы то их лучше решать системно. благо сейчас выбор клиник огромен и консультации много где бесплатны\недороги. Идите в одну клинику получайте план лечения,идите в другую третью,на этот форум в конце концов. И картина для вас прояснится. я все понял, обо всем этом мне мой опыт говорил, но я решал более сложное уравнение и по итогу пренебрегал им,опять таки, опыт может быть случаен то к чему Вы клоните - печально, и должно Вас как специалиста серьезно расстраивать, кстати, врачи к которым я попал,не абы какие по доступной мне информации (на бумаге отличники, репутация все дела)на деле там круговая порука, разобраться среднестатистическому порой нереально сложно и если брать Ваши примеры, я совсем не халатный: хоть слово от врача о вариантах, хоть какое то соучастие - этого более чем хватило для моего максимального отклика, и по итогу я бы наверное даже и не писал все это здесь,как-то тяжело на душе, вот пообщался здесь - вроде легче,свои ошибки надо принимать и оплачивать (речь не только о финансах) как то печально получается, пришел лечить зубы:5 коронок (1 корень не закрыли, 1 в случае моста выкидывать надо),3 удалили (1 под пазухой не проявив должного внимания, 1 под вновь поставленной коронкой спустя 2 недели (хм), 1 вообще не болевший и с виду никак себя не выдававший (неожиданно прямо совсем)) Ссылка на комментарий
Irouil Опубликовано 1 августа, 2020 Поделиться Опубликовано 1 августа, 2020 я все понял, коронку ношу неполных 2 месяцаТогда можете быть спокойны - ничего там страшного нет. Ссылка на комментарий
Ljocha Опубликовано 1 августа, 2020 Автор Поделиться Опубликовано 1 августа, 2020 Irouil ещё хотел спросить за свеже удаленный крайний слева зуб (на картинке справа)там мне предлагали разные врачи такие варианты:-консоль;-имплант;-оставить так как есть, главное соседний коронкой закрыть; а Вы что думаете? Ссылка на комментарий
Bier Опубликовано 1 августа, 2020 Поделиться Опубликовано 1 августа, 2020 2 - никаких явных проблем с прилеганием коронки на нижней правой шестерке я не вижу, могу так же порекомендовать КТ для контроля пломбировки Коллега, как-то вы странно смотрите.нижний 6й зуб справа (4.6) на удаление. 3 Ссылка на комментарий
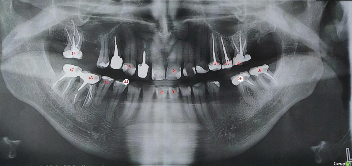
Bier Опубликовано 1 августа, 2020 Поделиться Опубликовано 1 августа, 2020 а вот тут совсем не согласен,это государственное высокотехнологичное учреждение с передовыми технологиями и специалистами,это наше с Вами богатое государство и его гарантии на качественную медицину,так сказано на сайте, так и должно быть на самом деле,опять таки, высокий прайс не гарантия результата, у меня в семье с советского союза понимание "врач всегда прав, ему виднее", которое мне с детства прививали,доля сомнения была всегда, и с годами она только росла,Леха, о каком советском союзе идет речь, если вы совсем молодой? Вы даже не знаете, что это такое. Теперь по существу вопроса: на заборе тоже много чего написано, но у вас не возникает сомнений, что это расходится с действительностью. Вот так же и с гос поликлиниками. Единственная цель таких учреждений - избавить вас от боли. Там нет ни высоких/передовых технологий ни специалистов. Что касается вашего плана лечения:17з (верх право 7й) - посмотреть внимательнее на коронку во рту. Мне она не нравится по снимку, но для поликлиники сойдет.16з - синуслифтинг и имплантация.14-? с коронкой13,12,11,21,22,23 - слеплены из пломб, потеряли анатомию требуют реставрации тонкостенными керамическими коронками и/или винирами24,25,26 - снятие старых пломб и штифтов, восстановление коронками.27(верх лево 7й) имплантация36,37 (низ 6 и7) - снятие коронок, перелечивание каналов, новая коронки35з - имплантация34з вопрос к пломбе, возможно под ней вторичный кариес.32,31,41,42,43 - оценка в полости рта45 - глубокий кариес, нужно лечить46,47 - снятие коронок, действительно прилегание нарушено, в 46з с вероятностью 99% перфорация корня и он подлежит удалению с последующей имплантацией.47 переделка коронки. Ну вот это будет современный и передовой подход к лечению. А качать свои права в поликлинике бесполезно. Зубов от этого не прибавится. 3 Ссылка на комментарий
Ljocha Опубликовано 1 августа, 2020 Автор Поделиться Опубликовано 1 августа, 2020 (изменено) Bier спасибо большое! 17з (верх право 7й) - посмотреть внимательнее на коронку во рту. Мне она не нравится по снимку, но для поликлиники сойдет. свеже поставленная (2 не полных месяца ношу) 16з - синуслифтинг и имплантация. это понятно, одномоментно с подсадкой возможно сделать? 14-? с коронкой точно так 13,12,11,21,22,23 - слеплены из пломб, потеряли анатомию требуют реставрации тонкостенными керамическими точно так, об этом в курсе, последний раз 12 пробовал лечить в ОГАУЗ - сломанный зуб, в частной ставил коронку, которую мне по цвету не угадали - получил разноцвет 24,25,26 - снятие старых пломб и штифтов, восстановление коронками. точно так 27(верх лево 7й) имплантация понял, хирург сказал что не обязательно, если 26 нормально сделатьортопед предложил консоль 36,37 (низ 6 и7) - снятие коронок, перелечивание каналов, новая коронки свежее перелечивание, новые коронки (2 месяца ношу)стоматолог который должен был перелечивать по ОМС, склонил к оплате,перепломбировать не смог канал, там был штифт и давно пломбировали резорцин-формалиновым методом 35з - имплантация два дня назад вкрутили mis seven 3.75 помоему (писал выше)теперь не сомневаюсь что не лишним будет снимок из карты сфотографировать и сюда выложить 34з вопрос к пломбе, возможно под ней вторичный кариес.45 - глубокий кариес, нужно лечить рукастый врач из ОГАУЗ в частном порядке об этом сказал и перелечил,он же про непорядок в коронках слева и справа снизу сказал,по левой сказал что можно оставить, по правой сказал что обязательно нужно исправлять 32,31,41,42,43 - оценка в полости рта он же сказал что их можно не трогать Изменено 1 августа, 2020 пользователем Ljocha Ссылка на комментарий
Bier Опубликовано 1 августа, 2020 Поделиться Опубликовано 1 августа, 2020 ещё один?так и не понял про какой речь вот я вам проставил номера, чтобы было понятнее 1 Ссылка на комментарий
Bier Опубликовано 1 августа, 2020 Поделиться Опубликовано 1 августа, 2020 вот так еще понятнее 2 Ссылка на комментарий
Ljocha Опубликовано 1 августа, 2020 Автор Поделиться Опубликовано 1 августа, 2020 Bier теперь совсем все понятно!огромное спасибо! 46 особо интересен, так как лечил 2 месяца назад и там по словам стоматологов никаких осложнений не было,вынули штифты, перелечили все каналы, поставили коронки - со слов никаких проблем,потом на частном приеме от врача который перелечивал, по секрету узнал что такой просвет это совсем не дело, считаете что по гарантии снять коронку, заделать просвет и вновь поставить коронку нельзя? Ссылка на комментарий
Bier Опубликовано 1 августа, 2020 Поделиться Опубликовано 1 августа, 2020 нельзя хотябы потому, что: "не ругайте пианиста, он играет, как умеет".Ну и по объективным причинам. Ссылка на комментарий
Ljocha Опубликовано 1 августа, 2020 Автор Поделиться Опубликовано 1 августа, 2020 понятно, теперь я совсем в сметении потратил на 46, 47 суммарно под 30 тысяч чтобы по итогу все забраковать и выложить ещё больше денег за имплантацию, а вот мне интересно, по закону я могу это за счет ОГАУЗ сделать Ссылка на комментарий
Рекомендуемые сообщения
Для публикации сообщений создайте учётную запись или авторизуйтесь
Вы должны быть пользователем, чтобы оставить комментарий
Создать аккаунт
Зарегистрируйте новый аккаунт в нашем сообществе. Это очень просто!
Регистрация нового пользователяВойти
Уже есть аккаунт? Войти в систему.
Войти