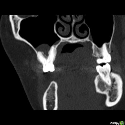
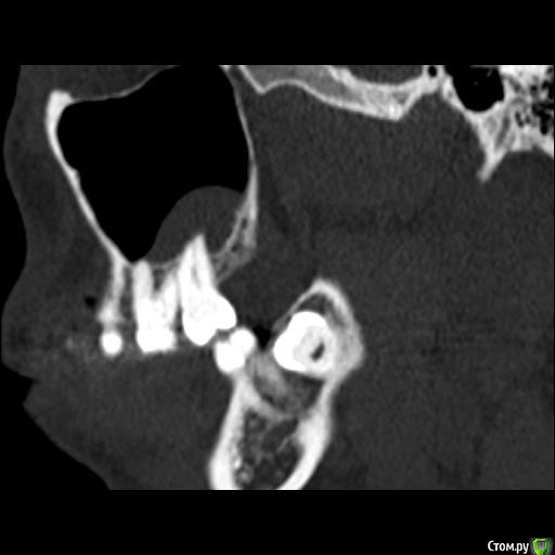
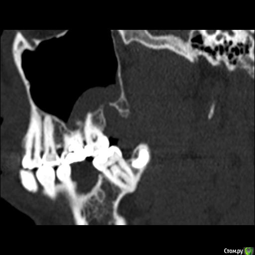
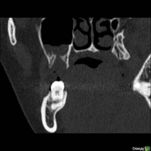
Юлия2386 Опубликовано 30 июля, 2020 Поделиться Опубликовано 30 июля, 2020 Добрый день, уважаемые врачи! Прошу вашей помощи, так как уже замучалась я конкретно. У меня уже 9 месяцев боли в правой стороне лица давящего характера. Давит на лоб, глаз, иногда висок. С декабря 2019 выявили фронтит-гайморит, проходила лечение у Лора и ещё невролога. Окончательного результата по выздоровлению за это время не достигнуто. Видимо это одномерный гайморит, так как постоянно какое-то воспаление формировалось у зубов 1.6;1.7;1.8. Многие стоматологи не видят проблем в зубе 1.6. Посоветовали удалить зуб 1.8 так как там был глубокий десневого карман. Удалила, а воспаление разрослось ещё больше (после удаления поцарапала щеку зубом 1.7, возможно из-за этого разрослось воспаление?!) После удаления прошёл месяц, а картина сейчас такая https://yadi.sk/d/ziceEN_jVZ9IkwВ итоге последний врач сказал, что все-таки проблема идёт от зуба 1.6, так как не запломбирован один канал, но из-за того что у зуба входят корни в гайморовых пазуху, лечить его не видет смысла, порекомендовал его удалить и через лунку вычиститься всю слизь, но он этим не занимается. Теперь я замешательстве и не знаю, что мне с этим делать, а самое ужасное, что глаз от этого болит( Уважаемые доктора, очень прошу вашей помощи, выскажите пожалуйста ваше мнение и может посоветуете к кому с этим можно обратиться в Москве. Ссылка на комментарий
Юлия2386 Опубликовано 30 июля, 2020 Автор Поделиться Опубликовано 30 июля, 2020 ORTO.jpg16.jpg16_17.jpg17.jpg18.jpg18_1.jpgДоктор, а описание?) Ссылка на комментарий
Юлия2386 Опубликовано 31 июля, 2020 Автор Поделиться Опубликовано 31 июля, 2020 Что нужно делать? Ссылка на комментарий
wladdX Опубликовано 31 июля, 2020 Поделиться Опубликовано 31 июля, 2020 Представленная спиральная КТ не позволяет детально рассмотреть корневые каналы зубов и тп, чтобы получить какое-то внятное суждение.На уровне зубов 18, 17 и 16 есть локальное утолщение слизистой оболочки синуса и это всё, что из этого исследования можно выяснить. Адекватность обтурации корневых каналов зуба 16 оценить не представляется возможным (по крайней мере в моём понимании).Я бы порекомендовал сделать КЛКТ (конусно-лучевую компьютерную томографию), используемую в стоматологии. Ссылка на комментарий
Рекомендуемые сообщения
Для публикации сообщений создайте учётную запись или авторизуйтесь
Вы должны быть пользователем, чтобы оставить комментарий
Создать аккаунт
Зарегистрируйте новый аккаунт в нашем сообществе. Это очень просто!
Регистрация нового пользователяВойти
Уже есть аккаунт? Войти в систему.
Войти