Fin Опубликовано 29 июля, 2020 Поделиться Опубликовано 29 июля, 2020 Здравствуйте коллеги. У пациента отсутствуют зуб 3.5 и 3.6. и высоко расположенный канал тройничного нерва. Что бы вы сделали в данном случае? Наращивать ширину? Ставить ССТ? Ссылка на комментарий
Bier Опубликовано 29 июля, 2020 Поделиться Опубликовано 29 июля, 2020 я бы поставил штрауман стандарт плюс 6мм 3 Ссылка на комментарий
stommm Опубликовано 29 июля, 2020 Поделиться Опубликовано 29 июля, 2020 Какой ортопедический план? 37 остается как есть, наклон корректируется ортопедически, апрайтинг? Сколько места между экваторами 35 и 37 ( и сколько планируется если будет коррекции 37)?Если корреции не будет и в плане 1 коронка 36, то + к тому, что написал Олег. Если места под 1 моляр много и оптимальнее 2 премоляра, то как вариант 2 астры 4х6 или 2 анкилос 3.5х6.6. Сст вестибулярно в любом случае не лишним будет. Если померите от оптимального уровня зенита, скорее всего все надо топить и делать редукцию, так что в нкр смысла не будет (опять таки скорее всего) 1 Ссылка на комментарий
Дилмурад Опубликовано 30 июля, 2020 Поделиться Опубликовано 30 июля, 2020 Какой ортопедический план? 37 остается как есть, наклон корректируется ортопедически, апрайтинг? Сколько места между экваторами 35 и 37 ( и сколько планируется если будет коррекции 37)?Если корреции не будет и в плане 1 коронка 36, то + к тому, что написал Олег. Если места под 1 моляр много и оптимальнее 2 премоляра, то как вариант 2 астры 4х6 или 2 анкилос 3.5х6.6. Сст вестибулярно в любом случае не лишним будет. Если померите от оптимального уровня зенита, скорее всего все надо топить и делать редукцию, так что в нкр смысла не будет (опять таки скорее всего)редуцировать и поставить 4х6 в дальнейшем не оголится ли шейка? почему не видите смыла в нкр? Ссылка на комментарий
stommm Опубликовано 30 июля, 2020 Поделиться Опубликовано 30 июля, 2020 редуцировать и поставить 4х6 в дальнейшем не оголится ли шейка? почему не видите смыла в нкр?Отталкивайтесь от протетики. Где бы хотели видеть коронку. Ок зенита коронки 3-4 мм апекально и получаем платформу импланта с конусным соединением. Для тл и плоскостного соединения меньше. Нарисовав имплант в правильное позиции и поймете нужна редукция или нкр. Часто проще поставить на. 1 мм апекальнее и уйти от нкр с сокращением сроков и травмы, но не с ухудшением прогноза 2 Ссылка на комментарий
Fin Опубликовано 30 июля, 2020 Автор Поделиться Опубликовано 30 июля, 2020 (изменено) Какой ортопедический план? 37 остается как есть, наклон корректируется ортопедически, апрайтинг? Сколько места между экваторами 35 и 37 ( и сколько планируется если будет коррекции 37)? Если корреции не будет и в плане 1 коронка 36, то + к тому, что написал Олег. Если места под 1 моляр много и оптимальнее 2 премоляра, то как вариант 2 астры 4х6 или 2 анкилос 3.5х6.6. Сст вестибулярно в любом случае не лишним будет. Если померите от оптимального уровня зенита, скорее всего все надо топить и делать редукцию, так что в нкр смысла не будет (опять таки скорее всего)Благодарю за ответМежду 35,37 как раз 10мм. Если подбирать 37 будет около 12мм и поидее даже влезет 2 коротыша, которые можно связать.Как вы думаете один необиотек 7.3×4(полированная шейка 1.3 мм) будет держать?Или лучше откорректировать 37 поставить 35-7.3×3.5 и 7.3×4(1.3 полир шейка)? Изменено 30 июля, 2020 пользователем Fin Ссылка на комментарий
Fin Опубликовано 30 июля, 2020 Автор Поделиться Опубликовано 30 июля, 2020 (изменено) я бы поставил штрауман стандарт плюс 6ммБлагодарю за ответ, опыта с короткими имплантами в одиночных работах мало.Думаю так и буду делать только необиотек 4×7.3(с полир шейкой 1.3) буду ставить Изменено 30 июля, 2020 пользователем Fin Ссылка на комментарий
stommm Опубликовано 30 июля, 2020 Поделиться Опубликовано 30 июля, 2020 Благодарю за ответМежду 35,37 как раз 10мм. Если подбирать 37 будет около 12мм и поидее даже влезет 2 коротыша, которые можно связать.Как вы думаете один необиотек 7.3×4(полированная шейка 1.3 мм) будет держать?Или лучше откорректировать 37 поставить 35-7.3×3.5 и 7.3×4(1.3 полир шейка)?Между 35 и 37 или 34 и 37? Так ортопед что планирует? Планируйте хирургию от ортопедии. По диаметру штр и астру спокойно 4.0 или 4.1 ставлю в области моляров. Корейцев стараюсь 4.5 поставить. Хотя инно тл 4.0 рассмотрел бы. Из дентиума 4.5х7 (1.5 мм фрезерованная шейка). Нео не работал Ссылка на комментарий
Bier Опубликовано 31 июля, 2020 Поделиться Опубликовано 31 июля, 2020 Благодарю за ответ, опыта с короткими имплантами в одиночных работах мало.Думаю так и буду делать только необиотек 4×7.3(с полир шейкой 1.3) буду ставитьнет, нет. Не подходит сюда необиотек. Вы грибок получите! И кучу проблем. Тут широкая платформа штрауман нужна. При установке необиотека супракортикально у ортопеда не будет места под абатмент. Ссылка на комментарий
Fin Опубликовано 31 июля, 2020 Автор Поделиться Опубликовано 31 июля, 2020 Между 35 и 37 или 34 и 37? Так ортопед что планирует? Планируйте хирургию от ортопедии. По диаметру штр и астру спокойно 4.0 или 4.1 ставлю в области моляров. Корейцев стараюсь 4.5 поставить. Хотя инно тл 4.0 рассмотрел бы. Из дентиума 4.5х7 (1.5 мм фрезерованная шейка). Нео не работалВ данном случае я и за ортопеда и за хирурга,планировал обойтись одним винтом,но его размеры смущают. По заявлениям производителя 4.0 на моляры можно ставить. Но действительно, как сказал Bier получу грибок, у инно на сайте таких разиеров ТЛ не нашел (хотя знаю что они есть). Ссылка на комментарий
Fin Опубликовано 31 июля, 2020 Автор Поделиться Опубликовано 31 июля, 2020 нет, нет. Не подходит сюда необиотек. Вы грибок получите! И кучу проблем. Тут широкая платформа штрауман нужна. При установке необиотека супракортикально у ортопеда не будет места под абатмент.Точно, вы правы, смогу заглубить на 1 мм и получится максимум 2 максимум 3 мм десны.Вы бы поставили этот? Ссылка на комментарий
Bier Опубликовано 31 июля, 2020 Поделиться Опубликовано 31 июля, 2020 нет, берите зеленый. Standart Plus WN тело 4.8, шейка 6.5 Ссылка на комментарий
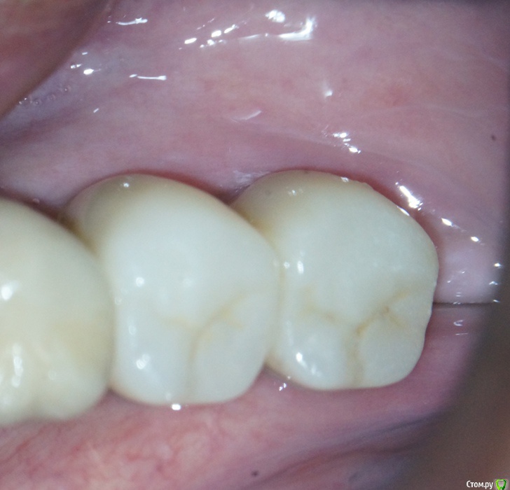
annda Опубликовано 1 августа, 2020 Поделиться Опубликовано 1 августа, 2020 (изменено) В подобной ситуации[ близко нерв, еще ближе , чем в теме,правда,не было 7ки)) поставила дентиумовский неразборный slim line,4х6. Запротезировала, как два премоляра. Прикольно получилось. Все на защелках,коронки истинные ВОРТ получились )Снимки попозже покажу,если нужно. Изменено 1 августа, 2020 пользователем annda 1 Ссылка на комментарий
Дмитрий М Опубликовано 2 августа, 2020 Поделиться Опубликовано 2 августа, 2020 В подобной ситуации[ близко нерв, еще ближе , чем в теме,правда,не было 7ки)) поставила дентиумовский неразборный slim line,4х6. Запротезировала, как два премоляра. Прикольно получилось. Все на защелках,коронки истинные ВОРТ получились )Снимки попозже покажу,если нужно. покажите снимки пожалуйста Ссылка на комментарий
Fin Опубликовано 2 августа, 2020 Автор Поделиться Опубликовано 2 августа, 2020 нет, берите зеленый. Standart Plus WN тело 4.8, шейка 6.5Большое спасибо за совет, понял Вас. Наверное наилучший вариант в данной ситуации. В подобной ситуации[ близко нерв, еще ближе , чем в теме,правда,не было 7ки)) поставила дентиумовский неразборный slim line,4х6. Запротезировала, как два премоляра. Прикольно получилось. Все на защелках,коронки истинные ВОРТ получились )Снимки попозже покажу,если нужно. Интересно, покажите пожалуйста) Ссылка на комментарий
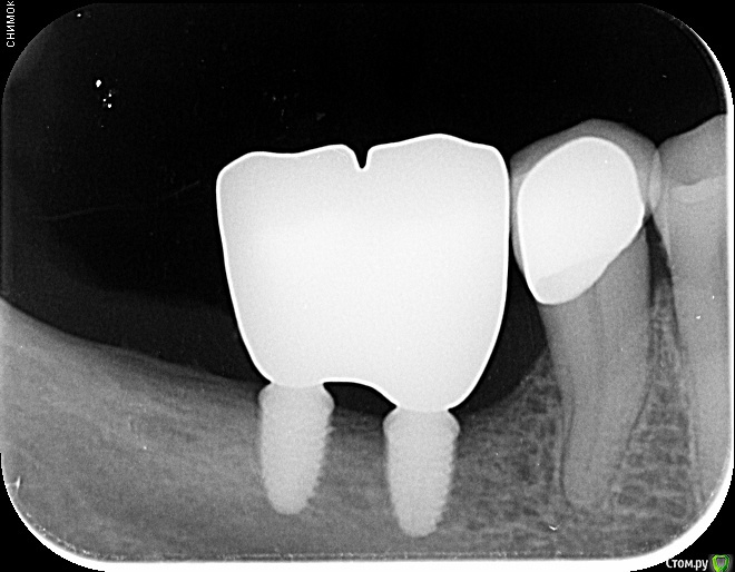
annda Опубликовано 3 августа, 2020 Поделиться Опубликовано 3 августа, 2020 (изменено) Стоял до этих имплантатов суперлайн коротыш 7мм,одиночка.Заколебались с раскруткой винта,ходила каждый месяц.Плюнула,решили выкрутить,переставить на эти.КТ после удаления. Изменено 3 августа, 2020 пользователем annda 1 Ссылка на комментарий
annda Опубликовано 4 августа, 2020 Поделиться Опубликовано 4 августа, 2020 Что-то с загрузкой пошло не так,извините.Контроль после постановки и контроль с абатментами(через 3 месяца) Ссылка на комментарий
Рекомендуемые сообщения
Для публикации сообщений создайте учётную запись или авторизуйтесь
Вы должны быть пользователем, чтобы оставить комментарий
Создать аккаунт
Зарегистрируйте новый аккаунт в нашем сообществе. Это очень просто!
Регистрация нового пользователяВойти
Уже есть аккаунт? Войти в систему.
Войти