dmix Опубликовано 27 июля, 2020 Поделиться Опубликовано 27 июля, 2020 Добрый день. Хочу заменить все зубы на импланты. Что лучше поставить не могу понять, везде разные цены, все по разному советуют.В частности интересует несъёмные протезы. Смотрю в сторону имплантов от Straumann.Как проходит процедура? Я прихожу в клинику и мне удалят мои зубы и сразу же установят несъёмные протезы челюсти, или нужно какое-то время ждать пока протезы подготовят и ходить вообще без зубов?Может можете посоветовать клинику и врача который сможет сделать всё качественно и без дальнейших проблем. Ссылка на комментарий
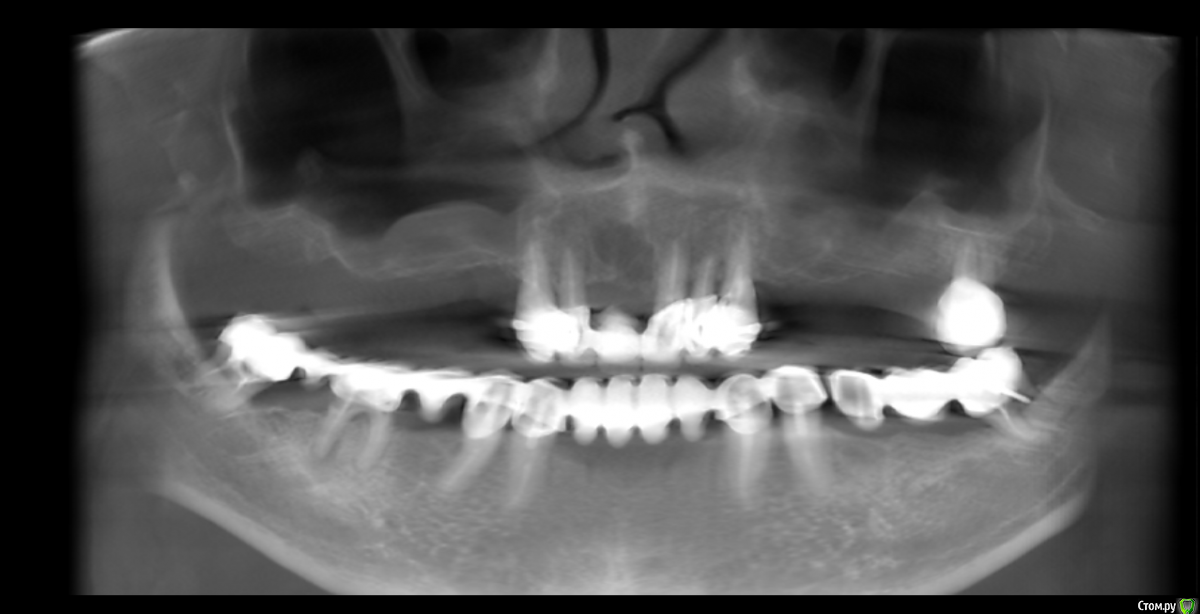
Irouil Опубликовано 29 июля, 2020 Поделиться Опубликовано 29 июля, 2020 На первый взгляд, удаление всех зубов тут не показано. Но надо составлять комплексный план протезирования и на его основе планировать имплантацию Ссылка на комментарий
Bier Опубликовано 29 июля, 2020 Поделиться Опубликовано 29 июля, 2020 Да вполне Allon4 тут подойдет. Не знаю никого из Воронежа к сожалению. Ссылка на комментарий
red_butler Опубликовано 29 июля, 2020 Поделиться Опубликовано 29 июля, 2020 Да вполне Allon4 тут подойдет. вроде синусы сразу за клыками начинаются... Ссылка на комментарий
Bier Опубликовано 29 июля, 2020 Поделиться Опубликовано 29 июля, 2020 вроде синусы сразу за клыками начинаются... дык транс-синус Ссылка на комментарий
dmix Опубликовано 30 июля, 2020 Автор Поделиться Опубликовано 30 июля, 2020 Да вполне Allon4 тут подойдет. Не знаю никого из Воронежа к сожалению.Да Воронеж не принципиально. Можно Москва, Белгород, Старый Оскол, Курск, Ростов. Главное чтобы все было качественно. Возраст 60 лет, поэтому и хочу сделать все сразу, не дожидаясь когда начнут вылезать проблемы. Ссылка на комментарий
Irouil Опубликовано 30 июля, 2020 Поделиться Опубликовано 30 июля, 2020 Вы спросите в теме "Посоветуйте имплантолога" с указанием города. 1 Ссылка на комментарий
red_butler Опубликовано 30 июля, 2020 Поделиться Опубликовано 30 июля, 2020 Да Воронеж не принципиально. Можно Москва, Белгород, Старый Оскол, Курск, Ростов. Главное чтобы все было качественно. Возраст 60 лет, поэтому и хочу сделать все сразу, не дожидаясь когда начнут вылезать проблемы.Тогда и до Питера доедете Ссылка на комментарий
Bier Опубликовано 30 июля, 2020 Поделиться Опубликовано 30 июля, 2020 Да Воронеж не принципиально. Можно Москва, Белгород, Старый Оскол, Курск, Ростов. Главное чтобы все было качественно. Возраст 60 лет, поэтому и хочу сделать все сразу, не дожидаясь когда начнут вылезать проблемы.Очень крутого доктора знаю в Донецке. Ссылка на комментарий
dmix Опубликовано 3 августа, 2020 Автор Поделиться Опубликовано 3 августа, 2020 Тогда и до Питера доедетеРади того чтобы все сделали хорошо, доеду. Ссылка на комментарий
Irouil Опубликовано 3 августа, 2020 Поделиться Опубликовано 3 августа, 2020 Я Вам рекомендую сначала сделать КТ челюстей и выложить его, а потом спросить рекомендации в нужной теме - потом уже решать куда и зачем ехать Ссылка на комментарий
Рекомендуемые сообщения
Для публикации сообщений создайте учётную запись или авторизуйтесь
Вы должны быть пользователем, чтобы оставить комментарий
Создать аккаунт
Зарегистрируйте новый аккаунт в нашем сообществе. Это очень просто!
Регистрация нового пользователяВойти
Уже есть аккаунт? Войти в систему.
Войти