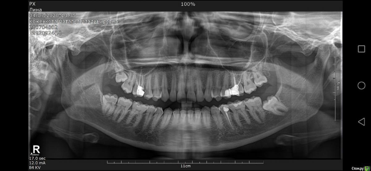
Natkova3 Опубликовано 23 июля, 2020 Поделиться Опубликовано 23 июля, 2020 (изменено) Здравствуйте. Хрустит челюсть уже 2-3 года (может и больше) особо не беспокоила. Последний год вызывает дискомфорт, особенно при пении. При широком открывании рта ощущение поэтапного открывания челюсти. Так же сводит мыщцы при смехе, широкой улыбке. Периодически ощущается усталость (работаю на телефоне, говорю много) 6 июня - упала, ударилась головой (левой частью затылка) сотрясения не было, но затылок продолжал болеть. 1 июля - заболела шея и усилились головные боли 2 июля – опух язык и стало трудно глотать (ощущения, как при аллергии)3-4июля - сильно зажало челюсть, рот открывался на палец, говорить нормально не получалось5 июля - невропатолог прописал мидокалм и кетопрофен, успокоительное и мягкий воротник на 15-20 минут. Назначил обследования шеи и головы, а так же консультацию челюстно-лицевого хирурга.19 июля - спазм прошел, лекарства помогли и начала нормально разговаривать.Лечение невропатолога мне помогло прийти в себя. Но, мне не могут назначить полноценное лечение шейного отдела (зажаты сосуды), пока мне хотя бы что то не скажут по проблеме с челюстью. Проблема в том, что никто из хирургов мне ничего конкретно сказать не может, перекидывают меня с телефона на телефон. Один говорит – необходимо спасать сустав, надо шину и уколы ботокса для разжатия мышц, стоить будет 200к;Другой – пей нимесил и аркоксию, тут ничего серьезного я не верю мрт;Третий – ну еще года 2-3 так можешь проходить, потом хирургическое вмешательство;Четвертый – ой, это всё зубы мудрости.Да и прикус надо менять В итоге я до сих в поиске нужного доктора. И не понимаю, что за диагноз.МРТ и панорамный снимок, прикладываю ниже. На данный момент:- широко рот открыть уже могу, но адский дискомфорт и поэтому стараюсь не открывать так- хруст с левой стороны при зевании (не широком),- чувствую усталость в мышцах лица (немеет при улыбке, разговорах).- при малейшем стрессе снова сводит челюсть.- при прогулке больше часа, начинает болеть шея и челюсть.- зубы могу свести вместе, но чувствуется дрожь Пью лекарства: Мидокалм, Кетопрофен Дуо, УспокоительныеЗаписана на прием к челюстно-лицевому хирургу в ЧЛХ ЦНИИ только на 4 августаВозраст - 27 лет Помогите разобраться с диагнозом. Изменено 23 июля, 2020 пользователем Natkova3 Ссылка на комментарий
Марья Моревна Опубликовано 23 июля, 2020 Поделиться Опубликовано 23 июля, 2020 Хондроитин с глюкозамином добавить.Время ношения воротника увеличить.Челюстная диета.Мазать больную сторону траумелем. Ссылка на комментарий
Natkova3 Опубликовано 24 июля, 2020 Автор Поделиться Опубликовано 24 июля, 2020 Хондроитин с глюкозамином добавить.Время ношения воротника увеличить.Челюстная диета.Мазать больную сторону траумелем.Спасибо) Можно еще уточнить?- После 20 минут ношения воротника ощущаю дискомфорт в мышцах нижней челюсти. Это нормально? Мне просто потихоньку увеличивать время ношения?- Я пользуюсь кремом Кетонал (кетопрофен), впринципе помогает- Хондроитин с глюкозамином, производителей много. Посоветуйте, какие лучше пить? И всё таки вопрос у меня остается, требуется ли какое то срочное хирургическое вмешательство из-за разрыва?Или же на данный момент лечения такого достаточно. Не переживать и спокойно искать доктора? Ссылка на комментарий
Марья Моревна Опубликовано 24 июля, 2020 Поделиться Опубликовано 24 июля, 2020 Воротник не должен давить на челюсть.Он индивидуально изготовлен? Добавьте еще раз в день 10 минут пока.Траумель - это другая группа. Кетоналом очень долго мазать не будете.Терафлекс.Думаю, надо предоставить организму покой и возможность зажить самому. Ссылка на комментарий
Natkova3 Опубликовано 24 июля, 2020 Автор Поделиться Опубликовано 24 июля, 2020 Впринцпе 30 минут сегодня выдержала.Воротник под размер шеи. Наверно мышцы с непривычки устают. Накручиваю себя видимо из за стресса. Попробую траумель. Спасибо за рекомендации.Напишу потом, что на консультации мне еще скажут. Ссылка на комментарий
Марья Моревна Опубликовано 25 июля, 2020 Поделиться Опубликовано 25 июля, 2020 Добавьте ещё витамины группы В. Они хорошо работают и в неврологии, и при заболеваниях суставов: нейровитан, неовитам и т.д. Ссылка на комментарий
Natkova3 Опубликовано 25 июля, 2020 Автор Поделиться Опубликовано 25 июля, 2020 Мне прописали, после окончания курса мидокалма и кетонала дуо, вот такие препараты:На месяц сермион и комбилипен табс. Получается, лечение у меня правильное, оно и влияет на улучшение самочувствия челюсти? Ссылка на комментарий
Марья Моревна Опубликовано 25 июля, 2020 Поделиться Опубликовано 25 июля, 2020 Это витамины и улучшение микроциркуляции.Влияет в целом на улучшение самочувствия.Не исключено, что потом, в спокойном состоянии, надо будет разобраться и с восьмерками, и с диагностикой окклюзии. Ссылка на комментарий
Natkova3 Опубликовано 6 августа, 2020 Автор Поделиться Опубликовано 6 августа, 2020 Марья, здравствуйте.Я прекратила с 27 июля пить мидокалм и кетопрофен - пила месяц и самочувствие стало лучше. Но теперь раз в неделю все равно приходится пить обезбаливающие. Сейчас 6 августа, а у меня состояние, как 2-го июля - опять опух язык (следы по краям от зубов остаются) и стало трудно глотать (ощущения, как при аллергии). Может ли снова повторится зажим?Стоило один день активно погулять, поразговаривать и состояние возвращается в прежнее. Ссылка на комментарий
Марья Моревна Опубликовано 6 августа, 2020 Поделиться Опубликовано 6 августа, 2020 Здравствуйте, Вам пока показан покой.4 августа были на консультации? Ссылка на комментарий
Natkova3 Опубликовано 6 августа, 2020 Автор Поделиться Опубликовано 6 августа, 2020 К сожалению нет( запись перенесли на конец месяца.Получается вообще всё противопоказано, пока я не попаду на прием( Ссылка на комментарий
Марья Моревна Опубликовано 7 августа, 2020 Поделиться Опубликовано 7 августа, 2020 Говорить поменьше, физнагрузки ограничить.Я вот думаю,если там неврология примешана,есть смысл попробовать препараты ЦМФ нуклео ( келтикан) и серата (мовиназа). Плюс к группе В и терафлексу. Ссылка на комментарий
Рекомендуемые сообщения
Для публикации сообщений создайте учётную запись или авторизуйтесь
Вы должны быть пользователем, чтобы оставить комментарий
Создать аккаунт
Зарегистрируйте новый аккаунт в нашем сообществе. Это очень просто!
Регистрация нового пользователяВойти
Уже есть аккаунт? Войти в систему.
Войти