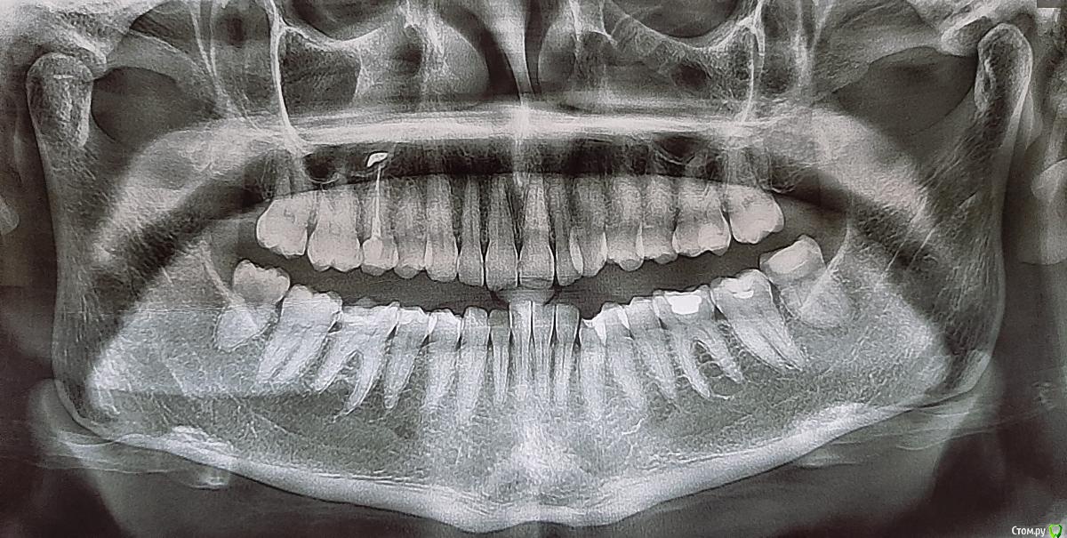
Nad102 Опубликовано 18 июля, 2020 Поделиться Опубликовано 18 июля, 2020 Здравствуйте! Месяц назад откололся верхний зуб мудрости справа. До этого несколько стоматологов говорили, что его нужно будет удалить. Я долго не думая записалась к хирургу. Но через 2 дня заболело горло (у меня хронический тонзиллит) и поднялась температура 37,2. Терапевт назначила антибиотик (супракс) и противовирусные, сказали чтоб зуб пока не удаляла, якобы могут быть осложнения. 6 дней я пила антибиотик, горло успокоилось, но начали болеть висок и ухо справа (вернее это было чувство жжения и распирания, периодически с прострелами). Температура 37,2 так и не снижалась. После двух бессонных ночей, я удалила экстренно 8-ку. После того как вкололи ультракаин чувство жжения и распирания мгновенно сошло. Зуб удалили легко, хирург сказал, что температура не от зуба, воспаление не видет, но зуб кариозный, и действительно его нужно удалить.Через 3 дня после удаления появилась отечность на скуле, появилась небольшая ломота в виске и снова жжение в ухе и щелчки (но щелчки в ухе меня беспокоили давно). После промывания лунки и заложения лекарства боль стихла, но на следующий день все повторилось. Процедуру с промыванием повторили, опять облегчение. В целом стало лучше, но беспокоило ухо. Лор ничего не нашла, патологию уха исключила, назначила немисил, отправила к неврологу. Немисил помогает, дискомфорт и болевые ощущения снимает, но отек держится уже 3 неделю. Он небольшой, еле заметный, но есть, врачи его прощупывают. Невролог поставила заключение: невралгия тройничного нерва 2 и 3 ветвей. Назначение: мовалис, мильгамма, кавинтон, мексидол, амитриптиллин. Стоматолог-терапевт, воспаление во рту не видет, сделали снимок, на 5 верхнем зубе справа выход пломбировочного материала в челюсть. Этот зуб лечили 5 лет назад, никогда он меня не беспокоил. Отек не сходит. Висок побаливает, в ухе дискомфорт. Записана на консультацию к челюстно-лицевому хирургу только через неделю.Помогите разобраться. Вообще у меня ощущение, что это сустав ноет. Прикус у меня не правильный, и в последнее время кажется, что нижняя челюсть как будто сместилась влево. Ссылка на комментарий
red_butler Опубликовано 18 июля, 2020 Поделиться Опубликовано 18 июля, 2020 http://forum.stom.ru/topic/20613-sovety-patcientam-obiazatelno-k-prochteniiu/ Ссылка на комментарий
Nad102 Опубликовано 18 июля, 2020 Автор Поделиться Опубликовано 18 июля, 2020 Извините, не прикрепилось Ссылка на комментарий
red_butler Опубликовано 18 июля, 2020 Поделиться Опубликовано 18 июля, 2020 Нужно сделать Кт челюстей с придаточными пазухами носа Ссылка на комментарий
Рекомендуемые сообщения
Для публикации сообщений создайте учётную запись или авторизуйтесь
Вы должны быть пользователем, чтобы оставить комментарий
Создать аккаунт
Зарегистрируйте новый аккаунт в нашем сообществе. Это очень просто!
Регистрация нового пользователяВойти
Уже есть аккаунт? Войти в систему.
Войти