колесников Опубликовано 9 июля, 2020 Поделиться Опубликовано 9 июля, 2020 Не увидел такого. Язычный гребень выше вестибулярного,скелетирован и на 1/2 фдм от края. 2 мм в кости,нужно 2 мм Десны добавить Ссылка на комментарий
Irouil Опубликовано 9 июля, 2020 Поделиться Опубликовано 9 июля, 2020 Не увидел такого. Язычный гребень выше вестибулярного,скелетирован и на 1/2 фдм от края. 2 мм в кости,нужно 2 мм Десны добавитьМожет быть, утверждать не стану. Надо выкручивать фдм и смотреть Ссылка на комментарий
meddikus Опубликовано 18 июля, 2020 Поделиться Опубликовано 18 июля, 2020 Одну серповидную гладилку заточите как скальпель и пусть выручает Она везде пролезает, она может всё.Нож Орбана Ссылка на комментарий
Женька Опубликовано 6 августа, 2020 Автор Поделиться Опубликовано 6 августа, 2020 (изменено) Язычный гребень выше вестибулярногоВроде тут хорошо видно, что как раз наоборот. Вестибулярный край десны выше, а язычно "яма".@Irouil, возвращаясь к 39 сообщению, немного не понял куда резать Может есть возможность схему какую-то показать или пример разрезов или вообще видеозапись. Изменено 6 августа, 2020 пользователем Женька Ссылка на комментарий
Irouil Опубликовано 6 августа, 2020 Поделиться Опубликовано 6 августа, 2020 @Irouil[/b], возвращаясь к 39 сообщению, немного не понял куда резать Может есть возможность схему какую-то показать или пример разрезов или вообще видеозапись.Красным сплошная - линия разреза, прерывистым - граница отслойки, заштриховано - область расщепления Синим зубы, гребень, винт, швыКарандаш (серым) - трансплант, заштриховано - эпителизированная полоска Вы уже почти дождались интеграции, я бы пошел по первому варианту через заглушку 2 Ссылка на комментарий
Женька Опубликовано 7 августа, 2020 Автор Поделиться Опубликовано 7 августа, 2020 (изменено) Красным сплошная - линия разреза, прерывистым - граница отслойки, заштриховано - область расщепленияСиним зубы, гребень, винт, швыКарандаш (серым) - трансплант, заштриховано - эпителизированная полоска Вы уже почти дождались интеграции, я бы пошел по первому варианту через заглушкуСпасибо! Тоже думал идти через заглушку.По поводоу интеграции... зато теперь не страшно фдм выкручивать.Теперь только открытый вопрос где взять хороший трансп, ведь удалив 1.8 придется еще тройку месяцев ждать пока бугор созреет и заживёт. Придётся опять пытаться с нёба выкроить. Правильно ли я понимаю, что раз иду через заглушку, то можно вырезать сдт и повторить изображённое на схеме Вашей? Изменено 7 августа, 2020 пользователем Женька Ссылка на комментарий
Irouil Опубликовано 7 августа, 2020 Поделиться Опубликовано 7 августа, 2020 С неба в проекции 6-8 - это, практически, с бугра (по качеству) К тому же только с бугра сколько нужно Вы не заберёте Учитывайте, что полностью покрыть трансплант не получится Ссылка на комментарий
Irouil Опубликовано 7 августа, 2020 Поделиться Опубликовано 7 августа, 2020 Правильно ли я понимаю, что раз иду через заглушку, то можно вырезать сдт и повторить изображённое на схеме Вашей?Тут не понял Ссылка на комментарий
Женька Опубликовано 7 августа, 2020 Автор Поделиться Опубликовано 7 августа, 2020 Тут не понялАлгоритм такой: выкручиваем фдм, закручиваем заглушку, с нёба вырезаем шайбу-сдт и подшиваем сверху...Хотя конечно, с Вашей схемой тут ничего общего... Просто вновь боюсь, что фиаско будет или еще усугубится результат. А с простым сдт мне кажется накосячить тяжелее все-таки. Да и потом можно будет ткани язычно сместить на раскрытии же? Ссылка на комментарий
Irouil Опубликовано 7 августа, 2020 Поделиться Опубликовано 7 августа, 2020 СДТ будет получать питание только от краев, рисков больше По первому варианту трансплант перекрывается процентов на 80 лоскутами, оставшаяся часть со временем кератинизируется за счет краев раны Ну и с СДТ желательно попасть в толщину лоскутов, которая у Вас будет разной язычно и вестибулярно Ссылка на комментарий
Женька Опубликовано 7 августа, 2020 Автор Поделиться Опубликовано 7 августа, 2020 СДТ будет получать питание только от краев, рисков больше По первому варианту трансплант перекрывается процентов на 80 лоскутами, оставшаяся часть со временем кератинизируется за счет краев раны Ну и с СДТ желательно попасть в толщину лоскутов, которая у Вас будет разной язычно и вестибулярноЗначит беру широкий, но не сильно толстый сст, завожу язычно и накладываю сближающие швы (помимо удерживающих трансп)? Точно ли не будет проблем с некротизацией непокрытого участка сст? Ссылка на комментарий
Irouil Опубликовано 7 августа, 2020 Поделиться Опубликовано 7 августа, 2020 (изменено) Значит беру широкий, но не сильно толстый сст, завожу язычно и накладываю сближающие швы (помимо удерживающих трансп)? Точно ли не будет проблем с некротизацией непокрытого участка сст?Неточно, конечно)) но с непокрытым участком (100%) СДТ проблем будет не меньше) И нет, широкий и ТОЛСТЫЙ) Изменено 7 августа, 2020 пользователем Irouil 2 Ссылка на комментарий
Женька Опубликовано 14 сентября, 2020 Автор Поделиться Опубликовано 14 сентября, 2020 Ну как-то вот так... Ссылка на комментарий
Irouil Опубликовано 14 сентября, 2020 Поделиться Опубликовано 14 сентября, 2020 (изменено) Не идеально, конечно, но я бы отправил уже на протезирование так на Вашем месте, прикрепленка есть, кортикалка по шейку Если включать перфекциониста, то можно пончо сделать, но нужно отслоиться через прикрепление эпителиальное, нужно и увеличение, и тунельный острый инструмент или микро хирургическое лезвие, и навык. Испортить тут можно гораздо больше, чем улучшить Основание абатмента пониже и пошире просто взять и пациента натаскать на гигиену, все ок будет Изменено 14 сентября, 2020 пользователем Irouil 1 Ссылка на комментарий
Женька Опубликовано 14 сентября, 2020 Автор Поделиться Опубликовано 14 сентября, 2020 Не идеально, конечно, но я бы отправил уже на протезирование так на Вашем месте, прикрепленка есть, кортикалка по шейку Если включать перфекциониста, то можно пончо сделать, но нужно отслоиться через прикрепление эпителиальное, нужно и увеличение, и тунельный острый инструмент или микро хирургическое лезвие, и навык. Испортить тут можно гораздо больше, чем улучшить Основание абатмента пониже и пошире просто взять и пациента натаскать на гигиену, все ок будетЯ придерживаюсь этого же мнения...Я скорее испорчу то, что получилось. Эти фото с формирователем 4.5, 3 месяца ходили с 4.0На этапе прикручивания 4.5, пациентка отметила легкое жжение... на фдм метрогил был...вот думаю, то ли это на метрогил такая реакция, то ли я что-то задавил? Планировали на тибейзе geo делать... там варианта пошире насколько я знаю нет. 4.5 и размеры по вертикали cut и длинные З.Ы. Вчера у Ильгама Ирековича на курсе впервые познакомился с галилеями от экзама... всего 2.8, быстро привыкли глаза (учитывая, что они не индивидуально под меня были)... это просто какой-то другой мир. Ссылка на комментарий
Марья Моревна Опубликовано 14 сентября, 2020 Поделиться Опубликовано 14 сентября, 2020 Там на пятерке у пломбы с краевым прилеганием и экватором вопросы, лучше решить это до протезирования. Ссылка на комментарий
Женька Опубликовано 15 сентября, 2020 Автор Поделиться Опубликовано 15 сентября, 2020 Там на пятерке у пломбы с краевым прилеганием и экватором вопросы, лучше решить это до протезирования.Там кариес вторичный завелся уже и пятно на семёрке.Хотели во время интеграции залечить... но не сложилось) конечно решим до протезирования Ссылка на комментарий
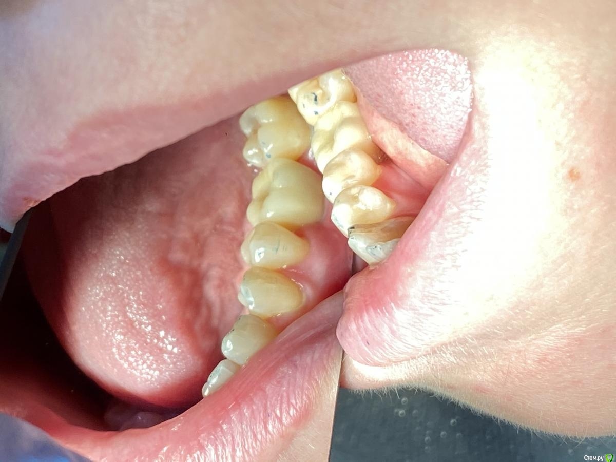
Женька Опубликовано 9 декабря, 2020 Автор Поделиться Опубликовано 9 декабря, 2020 Вот такой финал. Я не доволен. Из-за наклона 4.7 не удалось пасивно посадить коронку «сразу из лаборатории». Сошлифовывал керамику резинкой. Посадил. Пришеечно естественно получил щели...Но ещё больше не доволен тем, что не покидает мысль, что залезу исправить и сделаю хуже (лучшее враг хорошего) Пациентка счастлива, показала всем коллегам (преподаватель начальных классов). -Еда забивается?-Нууу дааа-Чистить получается?-Да ирригатор помогает. Но раньше чистила им только на ночь, а теперь дважды в день, ранее такого (конечно же) не было. Отпустил до января, чтобы понять что можно исправить... Ссылка на комментарий
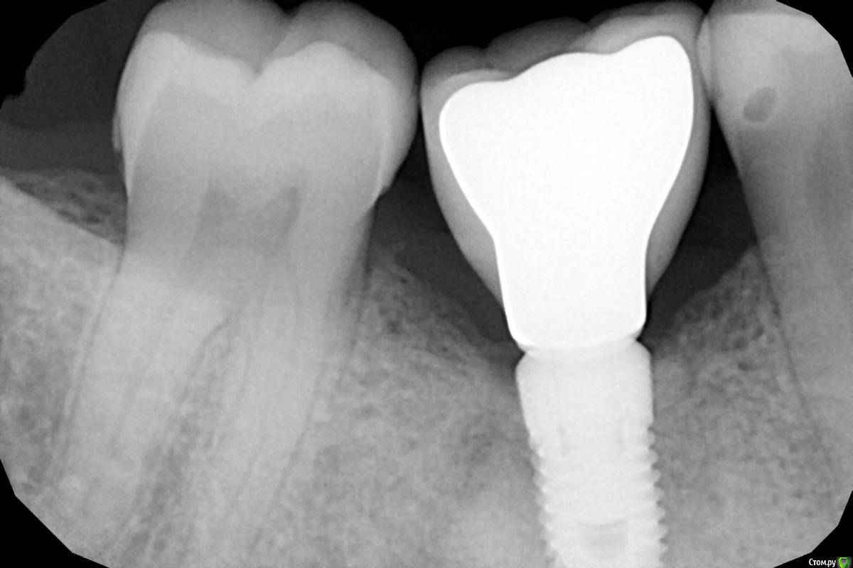
Irouil Опубликовано 9 декабря, 2020 Поделиться Опубликовано 9 декабря, 2020 (изменено) Рентген покажите с коронкой Изменено 9 декабря, 2020 пользователем Irouil 1 Ссылка на комментарий
Женька Опубликовано 10 декабря, 2020 Автор Поделиться Опубликовано 10 декабря, 2020 (изменено) Объясните пожалуйста, для чего нужен рг? Изменено 10 декабря, 2020 пользователем Женька Ссылка на комментарий
Irouil Опубликовано 10 декабря, 2020 Поделиться Опубликовано 10 декабря, 2020 Чтобы профиль прорезывания коронки понять, высоту основания. На мой взгляд (пусть меня поправят ортопеды, если что не так), тут надо было от основания еще резче расширить коронку. Надо объяснить технику, чтобы он не гнался за эстетикой, главная цель - ровное прилегание десны к коронке по кругу. Ну и дистально Вы там с сошлифовкой не перестарались, случайно? Контакт есть? Где забивается то пища у пациента? Я рекомендую еще в ортопедическом разделе спросить, но на мой взгляд в итоге все выглядит неплохо, направление верное, главное добиться нормальной гигиены. Ссылка на комментарий
Женька Опубликовано 10 декабря, 2020 Автор Поделиться Опубликовано 10 декабря, 2020 главное добиться нормальной гигиены.Это чтобы было чисто лишь усилиями пациента (неважно какими)или это чтобы хватало стандартных утро-перед сном чисток? Где забивается то пища у пациента? на осмотр пациентка пришла чистенькая. При том что она не знала, что будет простой осмотр, то есть вряд ли как-то особенно готовилась. Насколько я понял проксимально в промежутках...фотки мои к сожалению не информативны. И помимо этого в вестибулярной "нише" (не знаю как это место назвать) под коронкой. Но опять же, сам не видел. Пациентка внимания не заостряла на этом. И думаю, что не спроси я её об этом, она бы и не сказала ничего. тут надо было от основания еще резче расширить коронку Сошлифовывал ведь как раз из-за того, что посадить в шахту не мог на индексы шестигранника полностью. Если она будет еще шире всё снова ведь вернётся к сошлифовке. Контакт дистально точно есть! Ссылка на комментарий
Irouil Опубликовано 10 декабря, 2020 Поделиться Опубликовано 10 декабря, 2020 чтобы хватало стандартных утро-перед сном чисток? Этот вариантНасколько я понял проксимально в промежутках...фотки мои к сожалению не информативны. И помимо этого в вестибулярной "нише" (не знаю как это место назвать) под коронкой.Вестибулярно поднутрение. Вы писали, что посадить не получилось из-за наклона 4.7. Я это списал на дистальный контакт, а теперь Вы пишите, что просто не садилась коронка на индекс. Может стоило надрезать соединительно-тканное прикрепление при фиксации коронки? Вы же без временной коронки сажаете, представьте разницу между диаметрами ФДМ и профиля прорезывания коронки. Ссылка на комментарий
Женька Опубликовано 12 декабря, 2020 Автор Поделиться Опубликовано 12 декабря, 2020 Вы писали, что посадить не получилось из-за наклона 4.7. Я это списал на дистальный контакт, а теперь Вы пишите, что просто не садилась коронка на индекс. Может стоило надрезать соединительно-тканное прикрепление при фиксации коронки? Вы же без временной коронки сажаете, представьте разницу между диаметрами ФДМ и профиля прорезывания коронки.не совсем так, плохо объясняю значит, раз не поняли меня В общем. 4.7 наклон медиально, у 4.5 наоборот немного дистально. Выходит что с двух сторон поднутрения. В индексы, как я выразился, я не мог посадить как раз из-за этих поднутрений. Путь введения как бы вестибуло-оральный и шестигранник садится на индексы, но не полностью, тк мешали наклоны зубов... Ссылка на комментарий
Irouil Опубликовано 13 декабря, 2020 Поделиться Опубликовано 13 декабря, 2020 Все наоборот, это Вы меня не поняли, а я вот Вас понял сразу. Моя очередь оптимизировать объяснения: Я не предлагаю Вам делать трапецевидную коронку с широким основанием цервикально - тут дело ясное, что она не влезет между зубами. Я предлагаю придать ей близкую к прямоугольной форму, чтобы у шейки она была по ширине практически равна межзубному расстоянию 5-7 на уровне контактов. Для этого надо, чтобы от основания коронка начинала расширяться практически сразу. В конце концов, Ваша задача заполнить межзубные амбразуры, которые ещё и увеличены из-за наклона рядом стоящих зубов, а материала для заполнения у Вас меньше, из-за недостаточного заглубления. Так что резкое расширение коронки 1) заполнит часть этого пространства собой 2) отдавит больше пришеечных тканей латерально в область амбразур 1 Ссылка на комментарий
Рекомендуемые сообщения
Для публикации сообщений создайте учётную запись или авторизуйтесь
Вы должны быть пользователем, чтобы оставить комментарий
Создать аккаунт
Зарегистрируйте новый аккаунт в нашем сообществе. Это очень просто!
Регистрация нового пользователяВойти
Уже есть аккаунт? Войти в систему.
Войти