adent Опубликовано 20 июня, 2020 Поделиться Опубликовано 20 июня, 2020 Здравствуйте! Спала коронка с зуба номер 8.Он обточен и остаток зуба имеет размер примерно 2 мм на 2 мм.Посоветуйте пожалуйста.Может можно (целесообразжно) поставить штифт в остаток зуба чтобыновая коронка держалась надежнее? Спасибо! АнатолийP.S. Снимок прикреплен Ссылка на комментарий
red_butler Опубликовано 20 июня, 2020 Поделиться Опубликовано 20 июня, 2020 Где снимок? Ссылка на комментарий
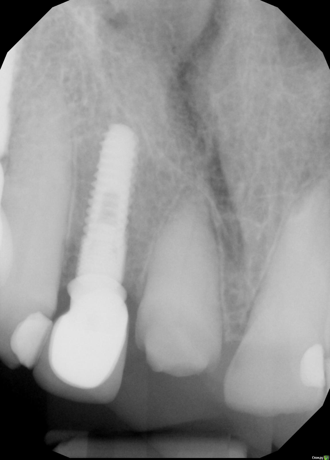
adent Опубликовано 20 июня, 2020 Автор Поделиться Опубликовано 20 июня, 2020 Снимок переднего зуба номер 8 прикреплен здесь.Прошу прощения по неопытности не получилось прикрепить файл в первом сообщении. Ссылка на комментарий
chervoncevdaniil Опубликовано 21 июня, 2020 Поделиться Опубликовано 21 июня, 2020 Да,скорее всего восстановление потребуется,высота очень маленькая.Как давно была установлена коронка?расцементировка первая? Ссылка на комментарий
adent Опубликовано 22 июня, 2020 Автор Поделиться Опубликовано 22 июня, 2020 Да,скорее всего восстановление потребуется,высота очень маленькая.Как давно была установлена коронка?расцементировка первая?Слетевшая коронка была установлена 2 года назад.Спала первый раз. А как целесообразнее восстановить зуб.Вставить штифт и на него нарастить? (это мои соображения) Или еще как можно? Врач предложил просто сделать новую коронку и ее поставить наостаток зуба. МегаЭлита спасибо за ответ! Ссылка на комментарий
red_butler Опубликовано 22 июня, 2020 Поделиться Опубликовано 22 июня, 2020 А как целесообразнее восстановить зуб. покажите фото зуба во рту, и фото с сомкнутыми зубами Ссылка на комментарий
adent Опубликовано 22 июня, 2020 Автор Поделиться Опубликовано 22 июня, 2020 покажите фото зуба во рту, и фото с сомкнутыми зубами Мой возраст 79 лет. Фото прикреплены к сообщению.Спасибо! Ссылка на комментарий
Рекомендуемые сообщения
Для публикации сообщений создайте учётную запись или авторизуйтесь
Вы должны быть пользователем, чтобы оставить комментарий
Создать аккаунт
Зарегистрируйте новый аккаунт в нашем сообществе. Это очень просто!
Регистрация нового пользователяВойти
Уже есть аккаунт? Войти в систему.
Войти