Vords Опубликовано 11 июня, 2020 Поделиться Опубликовано 11 июня, 2020 (изменено) Доброго вечера, профессионалы. Прошу у Вас помощи. Буду очень благодарен за консультацию. 3 недели назад появились боли в в жевательных зубах (около 37 и 36 зубов). В виду того, что боли были достаточно серьезные, а врач, у которого я лечился ранее не мог меня принять из-за пандемии - пришлось идти в городскую поликлинику. По результатам похода был поставлен диагноз пульпит 37 и глубокий кариес 36. На 36 поставили пломбу - 37 успешно депульпировали. На этом история 37 зуба закончена. С 36 после постановки пломбы начались дикие ночные боли и боли при накусывании. На повторном приеме был поставлен диагноз пульпит 36 - поставлено лекарство для умертвления нерва. После этого боль при накусывании прошли. В следующий прием пришел на чистку каналов и пломбировку. Во время этой процедуры я вдруг ощутил совершенно дикую боль (как выяснилось потом - в этот момент и произошла перфорации в области фуркации). Врач ничего не сказал - просто поставил метапекс и запломбировал каналы. В этот момент начались боли при накусывании. а потом постоянная тянущая боль. Продолжалось это около 3 дней - я пошел в другую стоматологию где мне сделали рентген и с подозрение на перфорацию отправили на КТ. По результатам КТ перфорация была подтверждена. С КТ я пришел в городскую стомотологию где мне предложили закрыть перфорацию цементом (pro что-то там - не могу сказать точно). Закрыли ее во вторник на этой неделе. Сегодня восстановили коронку и поставили световую пломбу. Беда в том, что боль при накусывании и "нытье" с этой стороны так и не прошли. По словам стомотолага гос клиники - боль при накусывании из-за метапекса и когда он рассосется - боль пройдет. (до 6 месяцев). Я прилагаю рентген (ужасное качество), фото КТ и ссылку в облако на КТ. Я допускаю, что никто не захочет лезть в облако и тратить свое время на просмотр на КТ (сам не могу разобраться с программой, что бы сделать достойные скрины), но если вдруг у кого-то найдется время - буду очень благодарен. Рентген сделан сразу после пломбировки канала. КТ через 3 дня после этого. В связи с этим вопрос. Возможно ли, что боль при надавливании пройдет если подождать пока рассосется метапекс или это пустая трата времени? Мне стоит ждать какое - то время или в этой ситуации мне поможет только удаление? Благодарю Вас за уделенное время Ссылка на КТ https://cloud.mail.ru/public/44WE/2JeTfXmr2 Изменено 11 июня, 2020 пользователем Vords Ссылка на комментарий
krokomot Опубликовано 11 июня, 2020 Поделиться Опубликовано 11 июня, 2020 Судя по всему у вас в 6м зубе выведен не только метапекс но и гуттаперчевый штифт, скорее всего, если это не исправить боли сохранятся, и что там с коронкой не понятно, на кт сильные тени из-за большого объема рентгеноконтрасного материалла, а прицельный снимок что вы сделали, сделан не поп правилам и на нем сильные искажения, понять трудно что с коронкой. Короче, зуб с перфорацией , выведенным материалом за апексом и гуттаперчей, и при этом еще и беспокоит, прогноз сомнительный. возможно всё можно переделать и всё станет нормально , но это не точно. Вам нужен грамотный доктор эндодонтист. 1 Ссылка на комментарий
Vords Опубликовано 11 июня, 2020 Автор Поделиться Опубликовано 11 июня, 2020 Уважаемый krokomot. Очень благодарен за исчерпывающий ответ. Хотел бы уточнить правильно ли я вас понял, что боли, вероятней всего, из-за штифта и сейчас мне следует сделать прицельный снимок правильный, чтобы убедиться,что штифт действительно выведен и уточнить что с коронкой зуба? (Или это уже факт, что выведен и штифт)...и после подтверждений наличий штифта за апексом искать хорошего эндодонтиста? 1 Ссылка на комментарий
wladdX Опубликовано 11 июня, 2020 Поделиться Опубликовано 11 июня, 2020 (изменено) Скриншоты Изменено 11 июня, 2020 пользователем wladdX 1 Ссылка на комментарий
Vords Опубликовано 11 июня, 2020 Автор Поделиться Опубликовано 11 июня, 2020 (изменено) WladdX, огромное спасибо Вам за потраченное на скрины время. А то я так и не смог освоить эту программу (рукалицо). У меня даже есть ощущение, что я вижу теперь штифт, о котором говорил krokomot (хотя и не факт)))) Изменено 11 июня, 2020 пользователем Vords Ссылка на комментарий
krokomot Опубликовано 11 июня, 2020 Поделиться Опубликовано 11 июня, 2020 Да прицельный качественный подтвердит наличие штифта за апексом Ссылка на комментарий
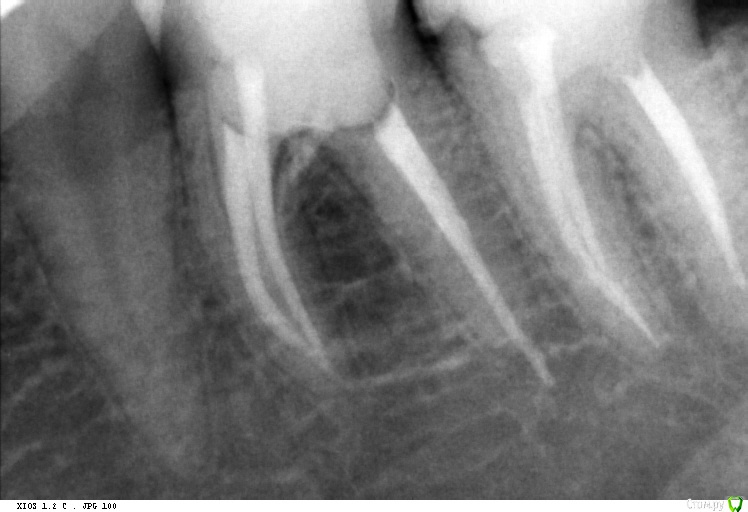
Vords Опубликовано 12 июня, 2020 Автор Поделиться Опубликовано 12 июня, 2020 Да прицельный качественный подтвердит наличие штифта за апексом Доброго дня! Сделал прицельный еще один. По нему можно сделать какие-то выводы относительно наличия штифта? Благодарю за уделенное время. Ссылка на комментарий
krokomot Опубликовано 12 июня, 2020 Поделиться Опубликовано 12 июня, 2020 Да есть 2 Ссылка на комментарий
Vords Опубликовано 12 июня, 2020 Автор Поделиться Опубликовано 12 июня, 2020 (изменено) Да есть Еще раз благодарю. А мне в таком случае нужно именно искать врача однодонтиста если боль идет от штифта? Как я понял по информации с форума - достать его через зуб невозможно. Или в этом случае уже необходим хирург для оперативного извлечения материала? И еще...наверное тупой вопрос, но все-таки. Если будет принято решение об удалении зуба, то и метапекс и штифт будут удалены вместе с зубом или это отдельная операция? Изменено 12 июня, 2020 пользователем Vords Ссылка на комментарий
red_butler Опубликовано 12 июня, 2020 Поделиться Опубликовано 12 июня, 2020 Если будет принято решение об удалении зуба, то и метапекс и штифт будут удалены вместе с зубом да 1 Ссылка на комментарий
Рекомендуемые сообщения
Для публикации сообщений создайте учётную запись или авторизуйтесь
Вы должны быть пользователем, чтобы оставить комментарий
Создать аккаунт
Зарегистрируйте новый аккаунт в нашем сообществе. Это очень просто!
Регистрация нового пользователяВойти
Уже есть аккаунт? Войти в систему.
Войти