Irouil Опубликовано 11 июня, 2020 Поделиться Опубликовано 11 июня, 2020 Уважаемые коллеги! Кто каким софтом пользуется для создания stl файла с зубом-шаблоном для примерки? Ссылка на комментарий
krokomot Опубликовано 11 июня, 2020 Поделиться Опубликовано 11 июня, 2020 Вы всё еще трансплантируете?... Ссылка на комментарий
Irouil Опубликовано 11 июня, 2020 Автор Поделиться Опубликовано 11 июня, 2020 Вы всё еще трансплантируете?...Есть у жены одна запасная восьмёрка, а я ей больше не хочу винты крутить, очень уж напрягает) 1 Ссылка на комментарий
Дмитрий Л. Опубликовано 11 июня, 2020 Поделиться Опубликовано 11 июня, 2020 Любите эксперименты значит) 1 Ссылка на комментарий
It'sGeorgy Опубликовано 11 июня, 2020 Поделиться Опубликовано 11 июня, 2020 Уважаемые коллеги! Кто каким софтом пользуется для создания stl файла с зубом-шаблоном для примерки?Расскажите(или покажите - в идеале) пожалуйста про результаты трансплантации, если уже занимаетесь. Каков процент неудач? Ссылка на комментарий
krokomot Опубликовано 11 июня, 2020 Поделиться Опубликовано 11 июня, 2020 Есть у жены одна запасная восьмёрка, а я ей больше не хочу винты крутить, очень уж напрягает)так вы решили с трансплантацией отомстить?)) 1 Ссылка на комментарий
Irouil Опубликовано 11 июня, 2020 Автор Поделиться Опубликовано 11 июня, 2020 так вы решили с трансплантацией отомстить?))Типа того))Расскажите(или покажите - в идеале) пожалуйста про результаты трансплантации, если уже занимаетесь. Каков процент неудач? Сделаю - покажу) Ссылка на комментарий
Bier Опубликовано 12 июня, 2020 Поделиться Опубликовано 12 июня, 2020 у меня 20% неудачно, но выборка маленькая.экзокад наверное, техник наш делает. Ссылка на комментарий
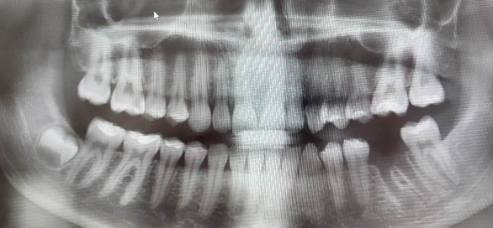
Irouil Опубликовано 19 марта, 2024 Автор Поделиться Опубликовано 19 марта, 2024 Подниму тему Мы тут как-то обсуждали трансплантацию зубов с несформированными верхушками с целью сохранения их витальности А с какого срока можно забирать зачаток под трансплантацию? Понятно, что должно быть сформировано ЦЭС + какая-то часть корня чтобы обеспечить его стабильность. А есть ли какие-то конкретные рекомендации по данному вопросу? Есть вот такая пациентка 18 лет, планирую ждать пока зачаток созреет до пересадки, но долго её мариновать тоже не хочу Ссылка на комментарий
АнтонТЛТ Опубликовано 19 марта, 2024 Поделиться Опубликовано 19 марта, 2024 Цукибоши читал же? Я скидывал его статью из книжки, там как раз на рентгенах показано на сколько должен быть сформирован зачаток 1 Ссылка на комментарий
Женька Опубликовано 28 марта, 2024 Поделиться Опубликовано 28 марта, 2024 пользуюсь blueskyplan 3 Ссылка на комментарий
Женька Опубликовано 29 марта, 2024 Поделиться Опубликовано 29 марта, 2024 (изменено) И вот так зажило. Прикол в том, что ортодонты на осмотре вообще не поняли какой зуб был пересажен... Зуб в прикус сам "встал" (когда подшил всё вне прикуса было). Из ошибок: не надо было депульпировать Виню себя за это (чуть-чуть) Изменено 29 марта, 2024 пользователем Женька 1 1 Ссылка на комментарий
Fin Опубликовано 18 апреля, 2025 Поделиться Опубликовано 18 апреля, 2025 Коллеги , подскажите пожалуйста какую информацию почитать что бы начать трансплантировать?) Как считаете это лучше имплантации, напрягает что потом делать эндо зуба надо + коронка. Выходит что такая работа должна стоить больше чем имплантация. Ссылка на комментарий
Женька Опубликовано 18 апреля, 2025 Поделиться Опубликовано 18 апреля, 2025 Привет. Цукибоши, но по пересадке зубов в русском варианте нет. Есть только по травме, там тоже кое-что можно почерпнуть. У Квинтэссенции книжка. Наш русский Цукибоши - Руслан Новомирский. Когда-то был у него где-то вебинар. Можно к нему на курс сгонять (я не был, хочу очень). а какие вопросы возникают, которые останавливают Вас? @Fin Ссылка на комментарий
Fin Опубликовано 18 апреля, 2025 Поделиться Опубликовано 18 апреля, 2025 39 минут назад, Женька сказал: Привет. Цукибоши, но по пересадке зубов в русском варианте нет. Есть только по травме, там тоже кое-что можно почерпнуть. У Квинтэссенции книжка. Наш русский Цукибоши - Руслан Новомирский. Когда-то был у него где-то вебинар. Можно к нему на курс сгонять (я не был, хочу очень). а какие вопросы возникают, которые останавливают Вас? @Fin Благодарю ☺️ Просто нюансы что бы не накосячить. Сколько времени может находиться зуб вне полости рта, особенности удаления, когда проводить эндо и т.д. Ссылка на комментарий
Женька Опубликовано 18 апреля, 2025 Поделиться Опубликовано 18 апреля, 2025 @Fin зуб вне полости рта в идеале находится несколько секунд По удалению-задача сохранить максимум связки, тогда вероятность анкилоза снижается. Эндо проводим через 2 недели. Шинирую зуб на 2 месяца. Швы снимаю через неделю (просто, чтобы осмотр провести, на самом деле). В работе сейчас ещё 4 случая, но пока не покажу, не закончены 🌞 1 Ссылка на комментарий
Irouil Опубликовано 18 апреля, 2025 Автор Поделиться Опубликовано 18 апреля, 2025 Зачем шинировать на так долго? Я шинирую на неделю, ещё через неделю эндо. Есть ещё Кристина Бадалян в Мск Ссылка на комментарий
Женька Опубликовано 18 апреля, 2025 Поделиться Опубликовано 18 апреля, 2025 @Irouil мне подвижность не нравится на 2 неделю без шины. Если возможности нет, то конечно, просто швы. Ссылка на комментарий
Рекомендуемые сообщения
Для публикации сообщений создайте учётную запись или авторизуйтесь
Вы должны быть пользователем, чтобы оставить комментарий
Создать аккаунт
Зарегистрируйте новый аккаунт в нашем сообществе. Это очень просто!
Регистрация нового пользователяВойти
Уже есть аккаунт? Войти в систему.
Войти