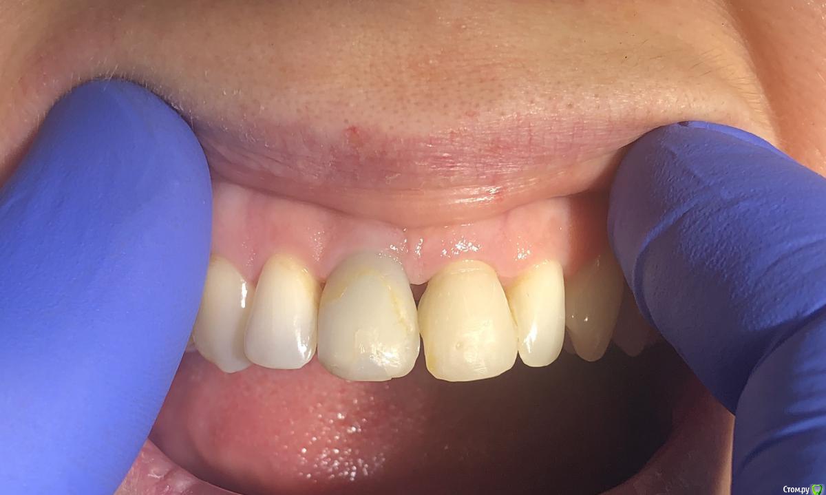
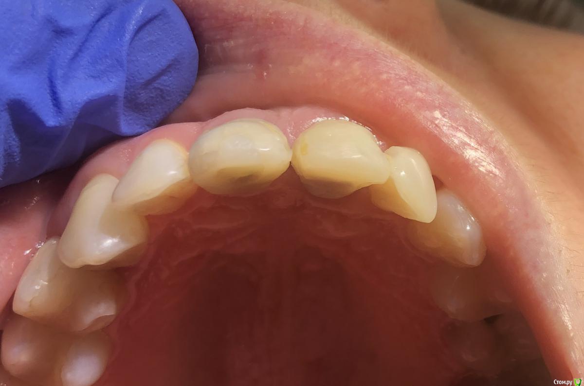
Александр07 Опубликовано 2 мая, 2020 Поделиться Опубликовано 2 мая, 2020 Коллеги доброго дня Обратилась молодая пациентка , в районе 30, десневая улыбка, планируется пластика во фронте с целью увеличения высоты сосочков, ну и объём можно немного добавить1.1 импл, сосочек 2.1-2.2 тоже ушёл от предыдущих операций, Раздумываю какой метод выбрать, есть несколько вариантовСклоняюсь к методу по Цуру - создание туннеля и подтянуть транс швами за межзубные контакты Вторым вариантом методика Сузуки но объём тогда вестибулярно не затронемИ по Зукелли , но опасаюсь осложнений в виде рубцов и т д, Кто что посоветует) Ссылка на комментарий
Irouil Опубликовано 2 мая, 2020 Поделиться Опубликовано 2 мая, 2020 Рентгенов дайте Ссылка на комментарий
kramer Опубликовано 2 мая, 2020 Поделиться Опубликовано 2 мая, 2020 Сделал бы более протяженный контакт между 11 и 21 Ссылка на комментарий
Aquarius Опубликовано 2 мая, 2020 Поделиться Опубликовано 2 мая, 2020 (изменено) Я за Масану. И контакт на 21 надо изменить Изменено 2 мая, 2020 пользователем Aquarius Ссылка на комментарий
krokomot Опубликовано 2 мая, 2020 Поделиться Опубликовано 2 мая, 2020 нужна другая форма коронок, может и пластика не потребуется 2 Ссылка на комментарий
Александр07 Опубликовано 2 мая, 2020 Автор Поделиться Опубликовано 2 мая, 2020 Рентгенов дайте Ссылка на комментарий
Александр07 Опубликовано 2 мая, 2020 Автор Поделиться Опубликовано 2 мая, 2020 нужна другая форма коронок, может и пластика не потребуетсяОртопед говорит сделал что мог, если отдавить больше десну может и подтянется но объём не мешало бы добавить скорее всего Ссылка на комментарий
Александр07 Опубликовано 2 мая, 2020 Автор Поделиться Опубликовано 2 мая, 2020 Я за Масану. И контакт на 21 надо изменитьСузуки между своими зубами какие нюансы есть ? Ссылка на комментарий
Irouil Опубликовано 2 мая, 2020 Поделиться Опубликовано 2 мая, 2020 Я голосую за новую временную коронку с нормальным контуром + по Масана двумя графтами 1 Ссылка на комментарий
krokomot Опубликовано 2 мая, 2020 Поделиться Опубликовано 2 мая, 2020 проблема центрального сосочка в коронке 2.1. нудно переделать коронку 2.1 и 1.1, потом думать о пластиках. Ссылка на комментарий
Aquarius Опубликовано 2 мая, 2020 Поделиться Опубликовано 2 мая, 2020 Вполне вероятно, что только ортопедическим путем удастся ситуацию изменить, без пластик Ссылка на комментарий
Дмитрий М Опубликовано 2 мая, 2020 Поделиться Опубликовано 2 мая, 2020 Рентгенов дайтна 21 коронку менять будете? Ссылка на комментарий
Дмитрий М Опубликовано 2 мая, 2020 Поделиться Опубликовано 2 мая, 2020 отдавить больше давить нельзя, наращивать ))) Ссылка на комментарий
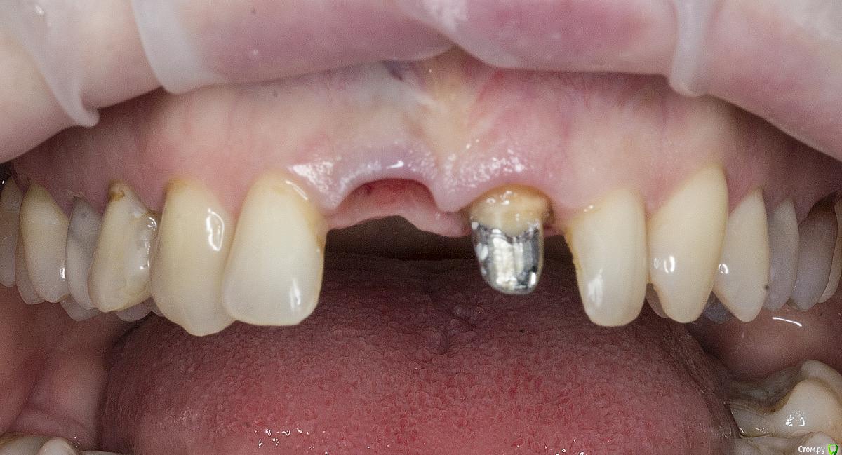
Irouil Опубликовано 2 мая, 2020 Поделиться Опубликовано 2 мая, 2020 Я тоже не вижу, что тут еще давить. У коронки плохой контур в пришеечной части, но ближе к платформе винта коронка должна быть тоньше с таким рентгеном, значит там поддержка тканей еще уменьшится. Судя по оклюзионному снимку в оро-вестибулярном направлении коронке не хватает объёма, зенит тоже апикальнее необходимого. Надо разобраться с соседней 1-кой, если замена там коронки - вариант, то можно рассмотреть апикализацию зенита на зубе на 1 мм в итоге. Но, имхо, без хирургии тут не выйдет ничего Ссылка на комментарий
Александр07 Опубликовано 2 мая, 2020 Автор Поделиться Опубликовано 2 мая, 2020 Я тоже не вижу, что тут еще давить. У коронки плохой контур в пришеечной части, но ближе к платформе винта коронка должна быть тоньше с таким рентгеном, значит там поддержка тканей еще уменьшится.Судя по оклюзионному снимку в оро-вестибулярном направлении коронке не хватает объёма, зенит тоже апикальнее необходимого. Надо разобраться с соседней 1-кой, если замена там коронки - вариант, то можно рассмотреть апикализацию зенита на зубе на 1 мм в итоге.Но, имхо, без хирургии тут не выйдет ничего[/quote Да, коронку будут менять на 2.1, и Зенит думаю на 2.1 тоже сместят, правда на 1.1 если сделать выпуклей профиль как полагается скорее всего там ещё зенит выше уйдёт Тогда если с хирургией работать советуете сразу сделать профиль как полагается на 1.1 , сместить Зенит на 2.1, контакт протяженней между 1.1-2.1, и ждать результата , правильно понял ? Ссылка на комментарий
krokomot Опубликовано 2 мая, 2020 Поделиться Опубликовано 2 мая, 2020 Очень важен профиль коронки с вестибулярной стороны, обязательно должен быть нависающий над десной край, который убережет десну от травмы при откусывании, это залог долгосрочного результата. Ссылка на комментарий
Irouil Опубликовано 2 мая, 2020 Поделиться Опубликовано 2 мая, 2020 (изменено) Я тоже не вижу, что тут еще давить. У коронки плохой контур в пришеечной части, но ближе к платформе винта коронка должна быть тоньше с таким рентгеном, значит там поддержка тканей еще уменьшится.Судя по оклюзионному снимку в оро-вестибулярном направлении коронке не хватает объёма, зенит тоже апикальнее необходимого. Надо разобраться с соседней 1-кой, если замена там коронки - вариант, то можно рассмотреть апикализацию зенита на зубе на 1 мм в итоге.Но, имхо, без хирургии тут не выйдет ничегоДа, коронку будут менять на 2.1, и Зенит думаю на 2.1 тоже сместят, правда на 1.1 если сделать выпуклей профиль как полагается скорее всего там ещё зенит выше уйдёт Тогда если с хирургией работать советуете сразу сделать профиль как полагается на 1.1 , сместить Зенит на 2.1, контакт протяженней между 1.1-2.1, и ждать результата , правильно понял ?На мой взгляд, надо начать со снятия коронок, изготовления временной на 2.1, модификации временной на имплантате в сторону истончения поддесневой части, потом хирургия с аугментацией в области 1.1, времяхи на место. 3 месяца на подрасти и подсозреть. Дальше меняем контуры времяхи на винте на правильные (повторение контура зуба до зенита и на 1-1.5 мм апикальнее, далее резкое сужение к тибейсу), ждем еще пару недель. На оставшуюся разницу планируем редукционную хирургию на 2.1 или повторяем уже только вестибулярную аугментацию у 1.1 Изменено 2 мая, 2020 пользователем Irouil 1 Ссылка на комментарий
Александр07 Опубликовано 3 мая, 2020 Автор Поделиться Опубликовано 3 мая, 2020 На мой взгляд, надо начать со снятия коронок, изготовления временной на 2.1, модификации временной на имплантате в сторону истончения поддесневой части, потом хирургия с аугментацией в области 1.1, времяхи на место.3 месяца на подрасти и подсозреть. Дальше меняем контуры времяхи на винте на правильные (повторение контура зуба до зенита и на 1-1.5 мм апикальнее, далее резкое сужение к тибейсу), ждем еще пару недель. На оставшуюся разницу планируем редукционную хирургию на 2.1 или повторяем уже только вестибулярную аугментацию у 1.1Спасибо ! Ссылка на комментарий
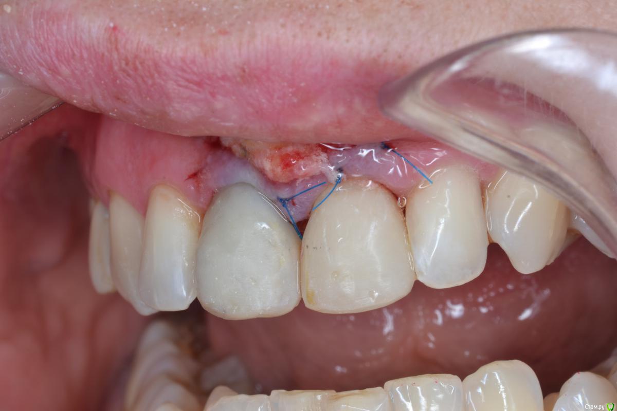
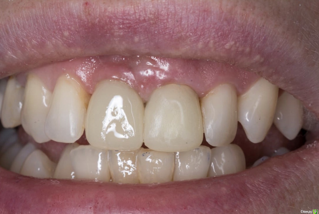
Александр07 Опубликовано 26 июня, 2020 Автор Поделиться Опубликовано 26 июня, 2020 Коллеги, скидываю фото проделанной работы, прошло около 1.5 мес, есть результат, спасибо за помощь, если какие то замечания /советы есть пишите 4 Ссылка на комментарий
Irouil Опубликовано 26 июня, 2020 Поделиться Опубликовано 26 июня, 2020 Справились одним трансплантом в итоге?) Ссылка на комментарий
колесников Опубликовано 26 июня, 2020 Поделиться Опубликовано 26 июня, 2020 (изменено) Здравствуйте! Не видел этого поста раньше,бегло посмотрел. Определенно проблема была в выборе высоты абатмент и объёме реставрации. Вы убрали композит максимально в основании-это хорошо,но абатмент оставили прежний. Следовало взять новый с высотой уступа 4-5 мм. Край коронки пришеечный следует опустить ниже,иначе десна опять отскочит. И переход слелайте на плавный а под углом,так называемый балкон. Потом будет что отдавить. По Масана сосочек сделали это хорошо и правильно,но с такой реставрацией опасно,мало место лоскуту. К счастью кажется все живы. На данном этапе рекомендую пропилить балкон и этим ограничится. Изменено 26 июня, 2020 пользователем колесников Ссылка на комментарий
Александр07 Опубликовано 27 июня, 2020 Автор Поделиться Опубликовано 27 июня, 2020 Справились одним трансплантом в итоге?)Два, один под сосочек с бугра второй вестибулярно с неба Сст 1 Ссылка на комментарий
Александр07 Опубликовано 27 июня, 2020 Автор Поделиться Опубликовано 27 июня, 2020 Здравствуйте! Не видел этого поста раньше,бегло посмотрел. Определенно проблема была в выборе высоты абатмент и объёме реставрации. Вы убрали композит максимально в основании-это хорошо,но абатмент оставили прежний. Следовало взять новый с высотой уступа 4-5 мм. Край коронки пришеечный следует опустить ниже,иначе десна опять отскочит. И переход слелайте на плавный а под углом,так называемый балкон. Потом будет что отдавить. По Масана сосочек сделали это хорошо и правильно,но с такой реставрацией опасно,мало место лоскуту. К счастью кажется все живы. На данном этапе рекомендую пропилить балкон и этим ограничится.С высотой да, выше надо было , на постоянной учтём , по балкону принцип понятен, - больше места для транса, но все же времянки рекомендуют плавными делать, без резких переходов, поэтому такой вопрос если выпиливать максимально места для тр-та то когда переводить временную коронку на плавный дизайн , через месяц где-то когда транс приживется и стабилизируется первично ? Ссылка на комментарий
колесников Опубликовано 27 июня, 2020 Поделиться Опубликовано 27 июня, 2020 Через 2 недели. Но можно и месяц Ссылка на комментарий
Рекомендуемые сообщения
Для публикации сообщений создайте учётную запись или авторизуйтесь
Вы должны быть пользователем, чтобы оставить комментарий
Создать аккаунт
Зарегистрируйте новый аккаунт в нашем сообществе. Это очень просто!
Регистрация нового пользователяВойти
Уже есть аккаунт? Войти в систему.
Войти