khelsa Опубликовано 30 апреля, 2020 Поделиться Опубликовано 30 апреля, 2020 Что думаете по поводу зуба 3.6 Ссылка на комментарий
kramer Опубликовано 30 апреля, 2020 Поделиться Опубликовано 30 апреля, 2020 Что надо лечить 4 Ссылка на комментарий
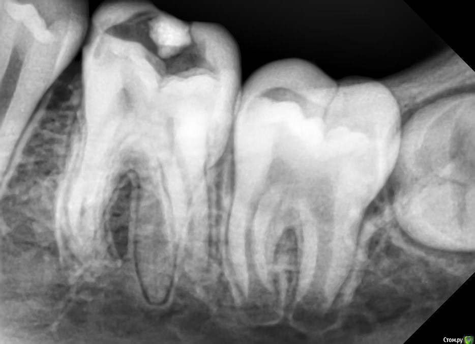
khelsa Опубликовано 30 апреля, 2020 Автор Поделиться Опубликовано 30 апреля, 2020 Что надо лечитьПришел пациент, направили на удаление по поводу об.хр пр . Объективно не было гиперемии по переходной складке , перкуссия без б, зондирование болезненное , реакция на холодное болезненное,самопроизвольных болей нет . Просто подумал , может я чего-то не понимаю, может на снимке чего-то не вижу. Направил на лечение к терапевту Ссылка на комментарий
kramer Опубликовано 30 апреля, 2020 Поделиться Опубликовано 30 апреля, 2020 Пришел пациент, направили на удаление по поводу об.хр пр Поликлиника? Ссылка на комментарий
vse32 Опубликовано 30 апреля, 2020 Поделиться Опубликовано 30 апреля, 2020 А я думала автор мезиоденсом хвастается. 2 Ссылка на комментарий
khelsa Опубликовано 30 апреля, 2020 Автор Поделиться Опубликовано 30 апреля, 2020 Поликлиника? Да, с одной поликлиники в другую, так как там хирурга нет у них Ссылка на комментарий
vse32 Опубликовано 30 апреля, 2020 Поделиться Опубликовано 30 апреля, 2020 Да, с одной поликлиники в другую, так как там хирурга нет у нихВарвары! Ребенку постоянные зубы драть! 1 Ссылка на комментарий
___49___ Опубликовано 4 мая, 2020 Поделиться Опубликовано 4 мая, 2020 Что думаете по поводу зуба 3.6 Пришел пациент, направили на удаление по поводу об.хр пр . Объективно не было гиперемии по переходной складке , перкуссия без б, зондирование болезненное , реакция на холодное болезненное,самопроизвольных болей нет . Просто подумал , может я чего-то не понимаю, может на снимке чего-то не вижу. Направил на лечение к терапевтуЕсли ввиду не совсем обычного количества и положения корней с язычной стороны челюсти переостальных явлений нет , то конечно лечить . Отсутствие положительной перкуссии и реакция на холод не является гарантией того , что во всех 3х(4х) каналах МО не вышли за пределы корня , через кость в переост. Вы пальпировали язычно ? каковы лимфоузлы ? Расскажите о судьбе пациента , если вы ее знаете . Ссылка на комментарий
Рекомендуемые сообщения
Для публикации сообщений создайте учётную запись или авторизуйтесь
Вы должны быть пользователем, чтобы оставить комментарий
Создать аккаунт
Зарегистрируйте новый аккаунт в нашем сообществе. Это очень просто!
Регистрация нового пользователяВойти
Уже есть аккаунт? Войти в систему.
Войти