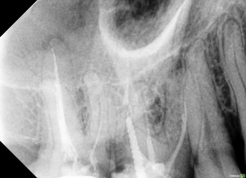
khelsa Опубликовано 28 апреля, 2020 Поделиться Опубликовано 28 апреля, 2020 Что скажете по поводу этого зуба , пациент лечил месяц назад , болезненность при накусывании Ссылка на комментарий
vse32 Опубликовано 28 апреля, 2020 Поделиться Опубликовано 28 апреля, 2020 В МБ, похоже, инструмент сломан. Дистально как будто зуб сильно разрушен. Надо очно смотреть. А так, прогноз малоприятный.1.7 тоже с гранулемой. Ссылка на комментарий
Рекомендуемые сообщения
Для публикации сообщений создайте учётную запись или авторизуйтесь
Вы должны быть пользователем, чтобы оставить комментарий
Создать аккаунт
Зарегистрируйте новый аккаунт в нашем сообществе. Это очень просто!
Регистрация нового пользователяВойти
Уже есть аккаунт? Войти в систему.
Войти