Doctor Vlad Опубликовано 14 апреля, 2020 Поделиться Опубликовано 14 апреля, 2020 Привет, друзья! Вот такая ситуация после удаления. В момент удаления сообщения не было, но виднелась слизистая пазухи. Аккуратно цистэктомия проведена. Заложил губкой и ушил. На осмотре чз неделю уже заметил отклонение в заживлении. Спустя пару недель сам назначил проверить и вот такое обнаружил. Никак не беспокоит, сообщения нет. Слизистая как клапан вдавливается внутрь. 27 тоже удалять, там тоже дефект большой кости, и синус близко. сразу не стал его трогать.Планирую иссечь и с неба лоскут перетянуть. 27 наверно отдельным этапом чтобы дыру не увеличить. нужно ли со стороны синуса вмешательство? или достаточно со стороны рта все ушить?кт поищутут наглядно https://www.dropbox.com/s/1lgvixk2qpqi8gp/WhatsApp%20Video%202020-04-14%20at%2010.15.44.mp4?dl=0 Ссылка на комментарий
Дмитрий Л. Опубликовано 14 апреля, 2020 Поделиться Опубликовано 14 апреля, 2020 Пойдите минимально инвазивно. Деэпителизируйте края этого десневого кружка и окружающей десны. При этом убедитесь что сейчас не период обострения и что в пазухе нет гноя. 1 Ссылка на комментарий
Irouil Опубликовано 14 апреля, 2020 Поделиться Опубликовано 14 апреля, 2020 (изменено) А дальнейшие планы каковы? Просто санация либо планируется реконструкция? Изменено 14 апреля, 2020 пользователем Irouil 1 Ссылка на комментарий
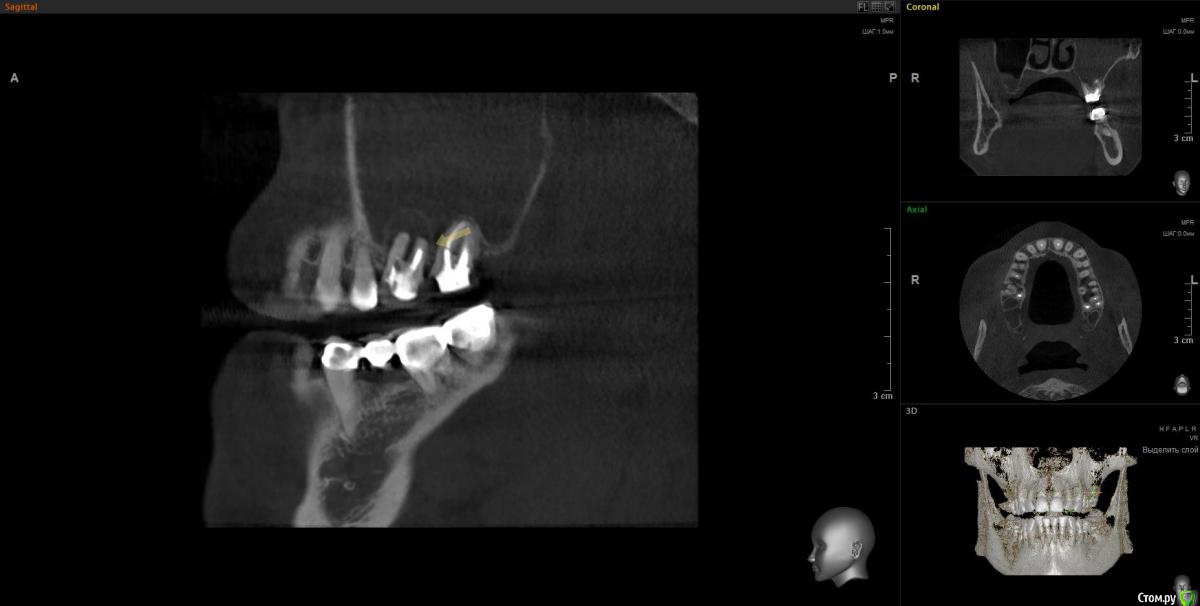
Doctor Vlad Опубликовано 14 апреля, 2020 Автор Поделиться Опубликовано 14 апреля, 2020 А дальнейшие планы каковы? Просто санация либо планируется реконструкция?Очень в тему вопрос. На работе задумался- а что дальше? и проблемка стала шире... как раз кт скинули. Там же не просто зашить и забыть там 2 импланта нужны)Кт до удаления месяца 2 назад. Стрелочка место где виднелась слизистая пазухи в момент удаления. по моим расчетам можно было бы без синуса если вся полость кисты заполнится костью, но теперь там будет скорей всего тяж или клапан этот. киста сама дно синуса приподняла. Ссылка на комментарий
Doctor Vlad Опубликовано 14 апреля, 2020 Автор Поделиться Опубликовано 14 апреля, 2020 Снимок до Ссылка на комментарий
Doctor Vlad Опубликовано 14 апреля, 2020 Автор Поделиться Опубликовано 14 апреля, 2020 Пойдите минимально инвазивно. Деэпителизируйте края этого десневого кружка и окружающей десны. При этом убедитесь что сейчас не период обострения и что в пазухе нет гноя.я даже думал бориком пройтись и десневую пробку как у Цура подшить. вопрос что с пазухой, раньше если более 3 дней сообщения было делали ревизию, сейчас вроде толи вообще не рекомендуют, то-ли лор эндоскопом заходят и убирают. Думаю нужно свежее кт Ссылка на комментарий
Irouil Опубликовано 14 апреля, 2020 Поделиться Опубликовано 14 апреля, 2020 Почему клапан то? В какую-то сторону пропускает разве? ИМХО,если планируете дальнейшую работу тут - дайте минимум 2 месяца. Потом кт 1 Ссылка на комментарий
Doctor Vlad Опубликовано 14 апреля, 2020 Автор Поделиться Опубликовано 14 апреля, 2020 Почему клапан то? В какую-то сторону пропускает разве? ИМХО,если планируете дальнейшую работу тут - дайте минимум 2 месяца. Потом кточень похоже на клапан... обычно это просто свищ очень тонкий... если смотрели видео с дропбокса выше, вроде не пропускало но ходит высоко, я могу прям в глубину задвинуть ее и эта пипка возвращается. прошло где-то 2 месяца. у меня и был план выждать чтобы дать возможность лунке зажить. боюсь время потерял из-за пазухи( не по разрасталось бы там чего).а 27 трогать не стал, чтоб 2 соустья не сделать. там на кт видно дефект в фуркации и не видно слой костной ткани Ссылка на комментарий
Irouil Опубликовано 14 апреля, 2020 Поделиться Опубликовано 14 апреля, 2020 Клапан - это когда в одну сторону пускает, а в другую нет. А у Вас, на мой взгляд, просто дефект альвеолярного гребня с формированием герметичного мягкотканного рубца. Со временем он должен созреть и стать плотнее, что исключит риски для состояния здоровья пациента и, если бы планировалась только санация, то на этом можно было бы остановиться. Ну а для реконструкции гребня надо, конечно, свежее КТ. Ссылка на комментарий
johniola Опубликовано 14 апреля, 2020 Поделиться Опубликовано 14 апреля, 2020 Я бы подождал месяца 4-5 прежде чем что то делать Ссылка на комментарий
Doctor Vlad Опубликовано 14 апреля, 2020 Автор Поделиться Опубликовано 14 апреля, 2020 Клапан - это когда в одну сторону пускает, а в другую нет. А у Вас, на мой взгляд, просто дефект альвеолярного гребня с формированием герметичного мягкотканного рубца. Со временем он должен созреть и стать плотнее, что исключит риски для состояния здоровья пациента и, если бы планировалась только санация, то на этом можно было бы остановиться. Ну а для реконструкции гребня надо, конечно, свежее КТ. Похоже на утолщенную слизистую синуса. с клапаном разобрался) Ссылка на комментарий
Doctor Vlad Опубликовано 14 апреля, 2020 Автор Поделиться Опубликовано 14 апреля, 2020 Я бы подождал месяца 4-5 прежде чем что то делатьЧто это даст в сравнении с 2 месяца? Ссылка на комментарий
johniola Опубликовано 14 апреля, 2020 Поделиться Опубликовано 14 апреля, 2020 может и не дать,а может и изменится кортина.в любом случае хуже не будет 1 Ссылка на комментарий
Doctor Vlad Опубликовано 15 апреля, 2020 Автор Поделиться Опубликовано 15 апреля, 2020 может и не дать,а может и изменится кортина.в любом случае хуже не будетС пазухой стали бы что-то делать или только со стороны рта? если синус стал чище можно пойти на открытый синус с иссечением рубца Ссылка на комментарий
kriokov Опубликовано 15 апреля, 2020 Поделиться Опубликовано 15 апреля, 2020 1. удалил бы сейчас 272. через пару месяцев КТ, посмотреть что с пазухой и как соустье естественное.3. если в пазухе лучше , а соустье рабочее, спланировал бы имплантацию , при условии полной эпителизации во рту4. если остиум никакой, а в пазуже хуже-- решал бы сначала через лора 2 Ссылка на комментарий
Irouil Опубликовано 15 апреля, 2020 Поделиться Опубликовано 15 апреля, 2020 Только без "иссечения рубца" Вам лишними мягкие ткани там не будут 1 Ссылка на комментарий
Doctor Vlad Опубликовано 15 апреля, 2020 Автор Поделиться Опубликовано 15 апреля, 2020 1. удалил бы сейчас 272. через пару месяцев КТ, посмотреть что с пазухой и как соустье естественное.3. если в пазухе лучше , а соустье рабочее, спланировал бы имплантацию , при условии полной эпителизации во рту4. если остиум никакой, а в пазуже хуже-- решал бы сначала через лора1. 27 удалять, соустье не трогать пока? 3. полная эпителизация по свищу? Ссылка на комментарий
Doctor Vlad Опубликовано 15 апреля, 2020 Автор Поделиться Опубликовано 15 апреля, 2020 Только без "иссечения рубца" Вам лишними мягкие ткани там не будутА куда его-рубец этот девать, он непонятно из какой ткани? Может соустье потом имплантом заткнуть если локализация оптимальна будет. Ссылка на комментарий
kriokov Опубликовано 16 апреля, 2020 Поделиться Опубликовано 16 апреля, 2020 (изменено) 1. 27 удалять, соустье не трогать пока? 3. полная эпителизация по свищу?удаляйте 27, ждите 6 недель минимум, за это время все дырки от выдранных зубов, в том числе и от вынесенного ранее 26 должны полностью эпителизироваться. Если на контроле или ранее свищ с ходом в пазуху при зондировании, гной, грануляции , т.е все признаки дерьма в пазухе, то тогда придется все решать по факту. А куда его-рубец этот девать, он непонятно из какой ткани? Может соустье потом имплантом заткнуть если локализация оптимальна будет. рубец из рубцовой. Совет Вам дали на вариант потом с исполнением синус лифтинга , Я бы начал все с удаления 27 , Если будет сообщение ороантральное, то никаким болтом Вы его не заткнете. 1. есть свищ есть причина, это как правило воспаление 2. свищ это всегда эпителизированный ход Изменено 16 апреля, 2020 пользователем kriokov 2 Ссылка на комментарий
Irouil Опубликовано 16 апреля, 2020 Поделиться Опубликовано 16 апреля, 2020 А куда его-рубец этот девать, он непонятно из какой ткани? Может соустье потом имплантом заткнуть если локализация оптимальна будет. Как это - непонятно? Из рубцовой, иначе говоря - из соединительной.Нет пока никаких явных признаков свища, не стоит спешить с выводами. Дайте организму самому разобраться, тем более, как Вам уже верно советовали, пока есть чем заняться - санируйте 7ку, ее наличие усложняет прогноз на будущее 3 Ссылка на комментарий
Doctor Vlad Опубликовано 16 апреля, 2020 Автор Поделиться Опубликовано 16 апреля, 2020 удаляйте 27, ждите 6 недель минимум, за это время все дырки от выдранных зубов, в том числе и от вынесенного ранее 26 должны полностью эпителизироваться. Если на контроле или ранее свищ с ходом в пазуху при зондировании, гной, грануляции , т.е все признаки дерьма в пазухе, то тогда придется все решать по факту. рубец из рубцовой. Совет Вам дали на вариант потом с исполнением синус лифтинга , Я бы начал все с удаления 27 , Если будет сообщение ороантральное, то никаким болтом Вы его не заткнете. 1. есть свищ есть причина, это как правило воспаление 2. свищ это всегда эпителизированный ход начну с 27. спасибо! Ссылка на комментарий
Doctor Vlad Опубликовано 16 апреля, 2020 Автор Поделиться Опубликовано 16 апреля, 2020 Как это - непонятно? Из рубцовой, иначе говоря - из соединительной.Нет пока никаких явных признаков свища, не стоит спешить с выводами. Дайте организму самому разобраться, тем более, как Вам уже верно советовали, пока есть чем заняться - санируйте 7ку, ее наличие усложняет прогноз на будущеепринято! спасибо! Ссылка на комментарий
Doctor Vlad Опубликовано 24 сентября, 2020 Автор Поделиться Опубликовано 24 сентября, 2020 27 удалил месяцев 3 назад, отмыл пазуху, зашил все заплаткой сст. сообщение закрылось. снимок кт свежий. хочу 2 импланта туда поставить. дефект костный дна синуса ламиной закрыть на винтах. все равно слой своей кости не велик, стружка понадобится. какие будут мнения? Ссылка на комментарий
Doctor Vlad Опубликовано 24 сентября, 2020 Автор Поделиться Опубликовано 24 сентября, 2020 (изменено) Самое главное забыл. кт свежее! и снимок на этапе зашивания соустья удаления 27 Изменено 24 сентября, 2020 пользователем Doctor Vlad Ссылка на комментарий
kriokov Опубликовано 24 сентября, 2020 Поделиться Опубликовано 24 сентября, 2020 какие будут мнения? клкт свежее сделайте, может там без лишней оротьбы обойдется-- синус и два болта, Ссылка на комментарий
Рекомендуемые сообщения
Для публикации сообщений создайте учётную запись или авторизуйтесь
Вы должны быть пользователем, чтобы оставить комментарий
Создать аккаунт
Зарегистрируйте новый аккаунт в нашем сообществе. Это очень просто!
Регистрация нового пользователяВойти
Уже есть аккаунт? Войти в систему.
Войти