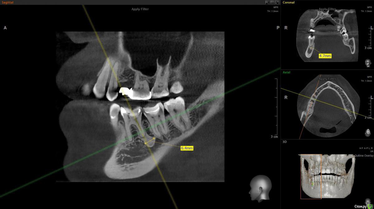
Turalyon Опубликовано 25 февраля, 2020 Поделиться Опубликовано 25 февраля, 2020 Добрый вечер, коллеги. Пациентка 1974 г. р обратилась с жалобами на боль при жевании.Зуб 46 лечен 2 мес. назад по поводу кариеса. Перкуссия +, пальпация в области переходной -, холодовой тест +, чувствительность проходит секунд через 5. В периапикальной имеется затемнение. Без гистологии окончательный диагноз не поставить, однако я предполагаю, что это остеома.Если что, могу кинуть ссылку на кт. Каково ваше мнение касаемо участка затемнения у апекса 46 зуба? 1 Ссылка на комментарий
сирена Опубликовано 25 февраля, 2020 Поделиться Опубликовано 25 февраля, 2020 я предполагаю, что это остеома. Ссылка на комментарий
krokomot Опубликовано 25 февраля, 2020 Поделиться Опубликовано 25 февраля, 2020 Это не остеома, а компактное вещество, вариант строения или аномалия. Ссылка на комментарий
Lodkin666 Опубликовано 26 февраля, 2020 Поделиться Опубликовано 26 февраля, 2020 Эностоз, участок более плотной кости. Забудьте про него. 1 Ссылка на комментарий
Рекомендуемые сообщения
Для публикации сообщений создайте учётную запись или авторизуйтесь
Вы должны быть пользователем, чтобы оставить комментарий
Создать аккаунт
Зарегистрируйте новый аккаунт в нашем сообществе. Это очень просто!
Регистрация нового пользователяВойти
Уже есть аккаунт? Войти в систему.
Войти