1586Doc Опубликовано 25 октября, 2021 Автор Поделиться Опубликовано 25 октября, 2021 Вот такой красавчик 46:) 1 1 Ссылка на комментарий
1586Doc Опубликовано 8 декабря, 2021 Автор Поделиться Опубликовано 8 декабря, 2021 Добавим эндо) Ретрит 46 зуб, 2 фрактуры в медиальных каналах. Один достаем, второй обходим )) 1 3 Ссылка на комментарий
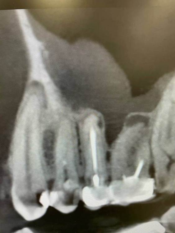
1586Doc Опубликовано 25 декабря, 2021 Автор Поделиться Опубликовано 25 декабря, 2021 (изменено) ну и пломбировка 46 зуб, далее 6-12 месяцев ожидания. Изменено 25 декабря, 2021 пользователем 1586Doc 1 2 Ссылка на комментарий
1586Doc Опубликовано 15 января, 2022 Автор Поделиться Опубликовано 15 января, 2022 -добавим немного пломб)) тут конечно показания к пломбам не во всех случаях, лучше E-max - но возможности у всех разные 2 2 Ссылка на комментарий
1586Doc Опубликовано 8 апреля, 2022 Автор Поделиться Опубликовано 8 апреля, 2022 (изменено) ресто премоляров эндо 23.24.25.26(ретрит). и контроль спустя 8 месяцев. Изменено 8 апреля, 2022 пользователем 1586Doc 4 1 Ссылка на комментарий
Ico Опубликовано 10 апреля, 2022 Поделиться Опубликовано 10 апреля, 2022 Очень красивые реставрации! 1 Ссылка на комментарий
Рекомендуемые сообщения
Для публикации сообщений создайте учётную запись или авторизуйтесь
Вы должны быть пользователем, чтобы оставить комментарий
Создать аккаунт
Зарегистрируйте новый аккаунт в нашем сообществе. Это очень просто!
Регистрация нового пользователяВойти
Уже есть аккаунт? Войти в систему.
Войти