1586Doc Опубликовано 8 февраля, 2020 Поделиться Опубликовано 8 февраля, 2020 5 месяцев назад обратилась пациентка с симптоматикой периодонтита. Оценили, попробовали. Пломбировка вертикалка. 5 месяцев и контроль, боли нет, подвижности тоже. 2 Ссылка на комментарий
annda Опубликовано 9 февраля, 2020 Поделиться Опубликовано 9 февраля, 2020 Под коронку? Ссылка на комментарий
1586Doc Опубликовано 9 февраля, 2020 Автор Поделиться Опубликовано 9 февраля, 2020 (изменено) Под коронку? пока пойдут под временную. Обычно сразу делаем временную, тут просто прогноз был сомнительный Изменено 9 февраля, 2020 пользователем 1586Doc Ссылка на комментарий
1586Doc Опубликовано 9 февраля, 2020 Автор Поделиться Опубликовано 9 февраля, 2020 Сорри с датой ошибка, 9 месяцев ранее Ссылка на комментарий
Паращук Роман Опубликовано 10 февраля, 2020 Поделиться Опубликовано 10 февраля, 2020 А где контроль на сегодня? При таком качестве снимков оценить будет тяжело. Ссылка на комментарий
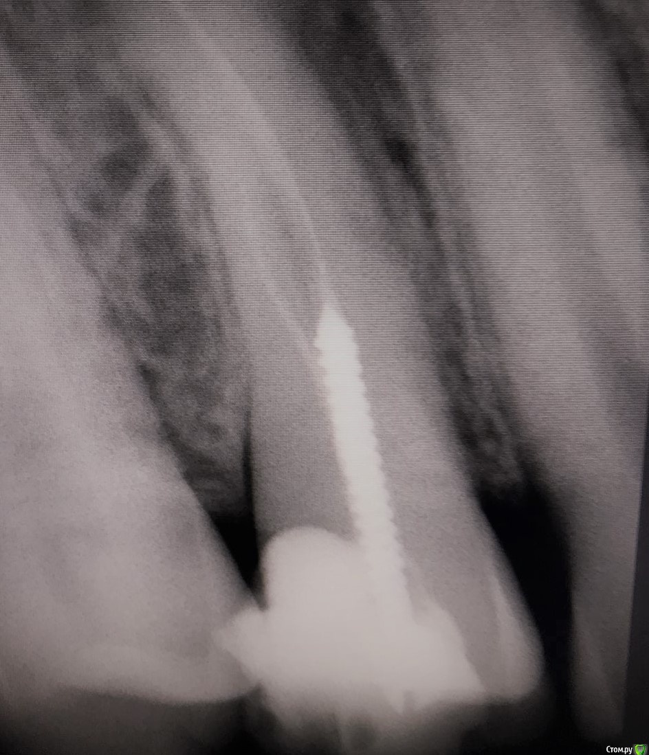
1586Doc Опубликовано 10 февраля, 2020 Автор Поделиться Опубликовано 10 февраля, 2020 (изменено) А где контроль на сегодня? При таком качестве снимков оценить будет тяжело.первые 2 фото снимки 9 месяц назад, до ревизии Изменено 10 февраля, 2020 пользователем 1586Doc Ссылка на комментарий
Паращук Роман Опубликовано 10 февраля, 2020 Поделиться Опубликовано 10 февраля, 2020 первые 2 фото снимки 9 месяц ранее до ревизии Имхо пока не вижу успеха. (( Ссылка на комментарий
1586Doc Опубликовано 10 февраля, 2020 Автор Поделиться Опубликовано 10 февраля, 2020 (изменено) Имхо пока не вижу успеха. ((ну если еще с 46 я могу понять, 45 явно деструкция в разы меньше. 100% месяца через 3-4 назначу клкт Изменено 10 февраля, 2020 пользователем 1586Doc Ссылка на комментарий
Паращук Роман Опубликовано 10 февраля, 2020 Поделиться Опубликовано 10 февраля, 2020 Ну во-первых,имейте совесть переворачивайте снимки. Шею сломать можно.Во-вторых,у вас позиционеры есть? Только в одинаковых проекциях можно судить,плюс минус,о прогрессе. Ссылка на комментарий
1586Doc Опубликовано 11 февраля, 2020 Автор Поделиться Опубликовано 11 февраля, 2020 Ну во-первых,имейте совесть переворачивайте снимки. Шею сломать можно.Во-вторых,у вас позиционеры есть? Только в одинаковых проекциях можно судить,плюс минус,о прогрессе. ну если так расценивать, тогда вообще Рентген не подходит. Ведь воспаление может быть за корнем. Снимки интересные, учитывая что ранее при лечении было выведение материала( это видно на первых снимках) , резорбция корня, интересна анатомия каналов и коллатерали. Но вы шею не напрягайте Ссылка на комментарий
dima3M Опубликовано 15 февраля, 2020 Поделиться Опубликовано 15 февраля, 2020 (изменено) Да, позиционер не сильно поможет, кмк.А КЛКТ точно не помешает.Т.к. имел пример расхождения данных по прицельному снимку и клкт.(последнее показало неудачу, хотя по прицельному-была динамика+) Изменено 15 февраля, 2020 пользователем dima3M Ссылка на комментарий
1586Doc Опубликовано 25 июля, 2020 Автор Поделиться Опубликовано 25 июля, 2020 Добавлю сюда просто случай Ретрит 36 И коллеги поддержите мой канал пожалуйста 3 Ссылка на комментарий
1586Doc Опубликовано 17 января, 2021 Автор Поделиться Опубликовано 17 января, 2021 еще один кейс.Утолщение слизистой гайморовой, хронический процесс на 25.26 зубахконтроль клкт через 8 месяцев Ссылка на комментарий
1586Doc Опубликовано 17 января, 2021 Автор Поделиться Опубликовано 17 января, 2021 первые 3 фото, ретрит 14 зуб4.5 фото 45 зуб. 4 Ссылка на комментарий
1586Doc Опубликовано 12 мая, 2021 Автор Поделиться Опубликовано 12 мая, 2021 ретрит зубов 15.14.26 и контроль клкт через 6 месяцев Ссылка на комментарий
1586Doc Опубликовано 17 мая, 2021 Автор Поделиться Опубликовано 17 мая, 2021 ретрит 46 зуб. Извлечение фрактуры. Дальше будет вкладка и ожидание )) 2 Ссылка на комментарий
1586Doc Опубликовано 26 августа, 2021 Автор Поделиться Опубликовано 26 августа, 2021 1 Ссылка на комментарий
Александр23712 Опубликовано 21 сентября, 2021 Поделиться Опубликовано 21 сентября, 2021 (изменено) @1586Doc Фрактура - это трещина. Поэтому "Извлечение фрактуры" немножко режет глаз. *не с целью оскорбить, просто поправка. А работа хорошая. Обработка профайлы? Гидроокись сразу из канюли не страшно вводить? Изменено 21 сентября, 2021 пользователем Александр23712 Ссылка на комментарий
1586Doc Опубликовано 21 сентября, 2021 Автор Поделиться Опубликовано 21 сентября, 2021 10 часов назад, Александр23712 сказал: @1586Doc Фрактура - это трещина. Поэтому "Извлечение фрактуры" немножко режет глаз. *не с целью оскорбить, просто поправка. А работа хорошая. Обработка профайлы? Гидроокись сразу из канюли не страшно вводить? Фрактура - это надлом, перелом)) с немецкого Fraktur — надлом. Обработка профайлы до 30/06. Пару недель гидроокись, потом вертикальная конденсация. Проблем с выводом гидроокиси из канюли никогда не получал. Ссылка на комментарий
Александр23712 Опубликовано 23 сентября, 2021 Поделиться Опубликовано 23 сентября, 2021 @1586Doc Понял вас, буду иметь ввиду. Видел в вк как-то пост, доктор в верхнюю 5 кальций поместил из канюли, а на снимке потом по всей пазухе этот кальций. Вроде и канал надо полностью заполнить, и давить особо не с руки, а то потом такое. Один лектор еще говорил, что при внесении из шприца может остаться пузырек воздуха в апикальной части ?. Сам тоже из канюли вношу, каждый раз вспоминаю Ссылка на комментарий
1586Doc Опубликовано 23 сентября, 2021 Автор Поделиться Опубликовано 23 сентября, 2021 36 минут назад, Александр23712 сказал: @1586Doc Понял вас, буду иметь ввиду. Видел в вк как-то пост, доктор в верхнюю 5 кальций поместил из канюли, а на снимке потом по всей пазухе этот кальций. Вроде и канал надо полностью заполнить, и давить особо не с руки, а то потом такое. Один лектор еще говорил, что при внесении из шприца может остаться пузырек воздуха в апикальной части ?. Сам тоже из канюли вношу, каждый раз вспоминаю Препарат Гидроокиси "Каласепт" не рентгенконтрастный. Это конечно не значит, что его нужно выводить за апекс. За апекс вообще ничего выводить не нужно. Скорее всего в том посте использовали препарат "Метапекс" это гидроокись с йодоформом.( этот препарат очень сложно потом удаляется из канала) Смысла заполнять полностью канал Гидроокисью нет. Главное он создаст там щелочную среду, большего от него не нужно. Спокойно вносим через канюлю, но надо учитывать, что канал должен быть подготовлен инструментально. Ссылка на комментарий
Александр23712 Опубликовано 23 сентября, 2021 Поделиться Опубликовано 23 сентября, 2021 @1586Doc Кальцетин рентгенконтрастный. Нет, там обычный был. Всегда думал, что кальций работает только контактно, то есть действие только там, где соприкасается. надо будет уточнить Ссылка на комментарий
1586Doc Опубликовано 23 октября, 2021 Автор Поделиться Опубликовано 23 октября, 2021 просто рабочие будни. 1 Ссылка на комментарий
dentikl Опубликовано 24 октября, 2021 Поделиться Опубликовано 24 октября, 2021 а в чем вымакивали браш? Ссылка на комментарий
1586Doc Опубликовано 25 октября, 2021 Автор Поделиться Опубликовано 25 октября, 2021 24.10.2021 в 09:37, dentikl сказал: а в чем вымакивали браш? Смола Ссылка на комментарий
Рекомендуемые сообщения
Для публикации сообщений создайте учётную запись или авторизуйтесь
Вы должны быть пользователем, чтобы оставить комментарий
Создать аккаунт
Зарегистрируйте новый аккаунт в нашем сообществе. Это очень просто!
Регистрация нового пользователяВойти
Уже есть аккаунт? Войти в систему.
Войти