Valerkaa Опубликовано 14 декабря, 2019 Поделиться Опубликовано 14 декабря, 2019 (изменено) Уважаемые доктора, помогите, пожалуйста, советом. Опыт в имплантации небольшой, хотелось бы принять правильное решение.Планируется имплантация в области отсутсвующего 4.6. Помимо остатков выведенного материала (думаю, уйдет при формировании ложа), есть недостаток по ширине. Подумываю над имплантацией+одномоментно кость+мембрана. Или лучше разбить в 2 этапа и сделать "сосиску"? Также подумывала над резекцией гребня по высоте, но думаю, слишком уж большой вертикальный дефект получится (около 4мм). Изменено 14 декабря, 2019 пользователем Valerkaa Ссылка на комментарий
Valerkaa Опубликовано 14 декабря, 2019 Автор Поделиться Опубликовано 14 декабря, 2019 ну и кейс №2, чтобы не плодить темы. Пациентка планирует имплантацию в области 1.6, на КТ вот такая штука в пазухе. Нужен синус, отправила лечиться к Лорам. Это КТ на сегодня, т.е после лоров, около 4 месяцев назад была примерно такая же картина. Что делать, пусть ищет хорошего Лора? Жалоб со стороны пазухи нет. Ссылка на комментарий
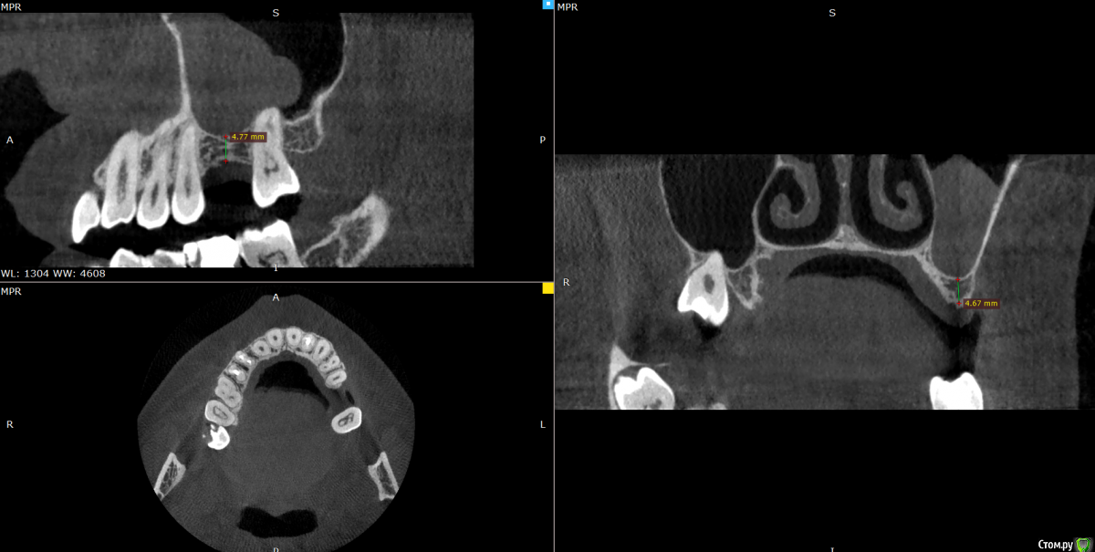
Kev Опубликовано 15 декабря, 2019 Поделиться Опубликовано 15 декабря, 2019 Нужны все размеры, в частности до канала (кейс №1) и до пазухи (кейс №2). Ссылка на комментарий
Valerkaa Опубликовано 15 декабря, 2019 Автор Поделиться Опубликовано 15 декабря, 2019 Большое спасибо. Вот с размерами. №1 и №2 Ссылка на комментарий
___49___ Опубликовано 27 декабря, 2019 Поделиться Опубликовано 27 декабря, 2019 Большое спасибо. Вот с размерами. №1 и №2Кейс 1 - требуется удаление всех конкрементов в области будущей имплантации, на полное их извлечение при формировании ложа надеется не стоит. кейс 2 - требуется хирургическое лечение, скорее всего киста примерно как в этой теме http://forum.stom.ru/topic/37994-kista/ Ссылка на комментарий
Valerkaa Опубликовано 30 декабря, 2019 Автор Поделиться Опубликовано 30 декабря, 2019 (изменено) Кейс 1 - требуется удаление всех конкрементов в области будущей имплантации, на полное их извлечение при формировании ложа надеется не стоит. кейс 2 - требуется хирургическое лечение, скорее всего киста примерно как в этой теме http://forum.stom.ru/topic/37994-kista/Про кейс#2: ту тему, на которую вы дали ссылку видела. Мне казалось, что «штука» в пазухе в моем случае не похожа на ту, что в той теме. В любом случае спасибо, буду думать Изменено 30 декабря, 2019 пользователем Valerkaa Ссылка на комментарий
Bier Опубликовано 30 декабря, 2019 Поделиться Опубликовано 30 декабря, 2019 Кейс номер 1Устанавливать с заглублением конический или TL имплантат. Без пластики, без "чистки" кости. Кейс номер2Ретенционная киста, ЛОР лечения не требует. Можно сдуть ее шприцем или удалить на операции. 2 Ссылка на комментарий
annda Опубликовано 31 декабря, 2019 Поделиться Опубликовано 31 декабря, 2019 Кейс номер 1Устанавливать с заглублением конический или TL имплантат. Без пластики, без "чистки" кости.С редукцией кости? Ссылка на комментарий
Bier Опубликовано 3 января, 2020 Поделиться Опубликовано 3 января, 2020 С редукцией кости?я не делаю редукцию, ставлю глубоко + бонпрофайлером (в некоторых системах бонмил) создаю профиль прорезывания в кости, для абатмента. В данной ситуации ставил бы BL имплантат. 1 Ссылка на комментарий
Valerkaa Опубликовано 4 января, 2020 Автор Поделиться Опубликовано 4 января, 2020 Подскажите пожалуйста, а что делать в случае, если для моей системы (Osstem) нет таких бонпрофайлеров? Или есть, а я не там смотрю?И просто для моего понимания: почему импл+кость+мембрана не вариант в данной ситуации? Ссылка на комментарий
Irouil Опубликовано 4 января, 2020 Поделиться Опубликовано 4 января, 2020 (изменено) Подскажите пожалуйста, а что делать в случае, если для моей системы (Osstem) нет таких бонпрофайлеров? Или есть, а я не там смотрю?И просто для моего понимания: почему импл+кость+мембрана не вариант в данной ситуации?В такой ситуации вариант имплант+нкр, а это кроме кость+мембрана все принципы регенерации + все минусы костной пластики. Используйте в качестве профайлера кортикальное сверло следующего (или соответствующего планируемуему основания) диаметра Изменено 4 января, 2020 пользователем Irouil Ссылка на комментарий
Дохтур Rusya Опубликовано 4 января, 2020 Поделиться Опубликовано 4 января, 2020 Кейс номер2Ретенционная киста, ЛОР лечения не требует. Можно сдуть ее шприцем или удалить на операции.что значит сдуть шприцеп? или удалить на операции? Спасибо Ссылка на комментарий
Valerkaa Опубликовано 4 января, 2020 Автор Поделиться Опубликовано 4 января, 2020 В такой ситуации вариант имплант+нкр, а это кроме кость+мембрана все принципы регенерации + все минусы костной пластики.Используйте в качестве профайлера вертикальное сверло следующего (или соответствующего диаметру планируемого основания) диаметраБольшое спасибо за советы! Нужно подумать) Ссылка на комментарий
TIGER Опубликовано 5 января, 2020 Поделиться Опубликовано 5 января, 2020 Уважаемые доктора, помогите, пожалуйста, советом. Опыт в имплантации небольшой, хотелось бы принять правильное решение.Планируется имплантация в области отсутсвующего 4.6. Помимо остатков выведенного материала (думаю, уйдет при формировании ложа), есть недостаток по ширине. Подумываю над имплантацией+одномоментно кость+мембрана. Или лучше разбить в 2 этапа и сделать "сосиску"? Также подумывала над резекцией гребня по высоте, но думаю, слишком уж большой вертикальный дефект получится (около 4мм).имплант без НКР,конус или TL^плюс ССТ Ссылка на комментарий
Александр07 Опубликовано 5 января, 2020 Поделиться Опубликовано 5 января, 2020 Анкилоз с заглублением поставить и сст подшить в первом случае например Во втором так как опыта мало рекомендую самому не пытаться откачать кисту а направить на санацию пазухи к другому Лору, нужна гайморотомия Ссылка на комментарий
rimtar Опубликовано 5 января, 2020 Поделиться Опубликовано 5 января, 2020 (изменено) на н/ч расщепление не? чем нкр проще, дешевле и прогнозы. без фанатизма долотом, пилот, экспандеры Изменено 5 января, 2020 пользователем rimtar Ссылка на комментарий
Дмитрий М Опубликовано 7 января, 2020 Поделиться Опубликовано 7 января, 2020 Если есть - за один раз убрали по максимуму с этого места можно по подробнее пожалуйста.убирать как? вытянуть пинцетом за оболочку без кюретажа? Ссылка на комментарий
Irouil Опубликовано 7 января, 2020 Поделиться Опубликовано 7 января, 2020 с этого места можно по подробнее пожалуйста.убирать как? вытянуть пинцетом за оболочку без кюретажа? Судя по контексту - убрать жидкость из одной пункции 2 Ссылка на комментарий
Eddie Опубликовано 7 января, 2020 Поделиться Опубликовано 7 января, 2020 Подскажите пожалуйста, а что делать в случае, если для моей системы (Osstem) нет таких бонпрофайлеров? Или есть, а я не там смотрю?И просто для моего понимания: почему импл+кость+мембрана не вариант в данной ситуации?Есть на Остем 3 Ссылка на комментарий
Дмитрий М Опубликовано 7 января, 2020 Поделиться Опубликовано 7 января, 2020 Судя по контексту - убрать жидкость из одной пункции))) перечитал, понял .тогда вопрос: кисту убирать не обязательно? Ссылка на комментарий
Дмитрий М Опубликовано 7 января, 2020 Поделиться Опубликовано 7 января, 2020 Есть на Остемспасибо, не знал. использовал стандартный трепан из набора, 5мм как раз подходит на имплантовод, только предварительно бортики спилил отполировал на бу имплантоводах, в крафтпакет вместе с трепаном и автоклав Ссылка на комментарий
Valerkaa Опубликовано 7 января, 2020 Автор Поделиться Опубликовано 7 января, 2020 я не делаю редукцию, ставлю глубоко + бонпрофайлером (в некоторых системах бонмил) создаю профиль прорезывания в кости, для абатмента. В данной ситуации ставил бы BL имплантат.если нетрудно, подскажите пожалуйста. Если ставить глубоко + бонпрофайлер, то насколько глубоко?если на глубине, где ширина альвеолярной части около 6мм, то относительно соседних зубов кажется очень глубоко это... Ортопед не будет материться?) Ссылка на комментарий
Bier Опубликовано 8 января, 2020 Поделиться Опубликовано 8 января, 2020 Подскажите пожалуйста, а что делать в случае, если для моей системы (Osstem) нет таких бонпрофайлеров? Или есть, а я не там смотрю?И просто для моего понимания: почему импл+кость+мембрана не вариант в данной ситуации?Ну во первых есть, выше нашли. Во вторых можно сделать просто маленьким шариком алмазным, турбиной. В третьих, можно взять от другой системы, а направляющее сколхозить из винта для трансфера.Для вашего понимания: вариант конечно, но если есть возможность не делать пластику, я не делаю. 3 Ссылка на комментарий
Bier Опубликовано 8 января, 2020 Поделиться Опубликовано 8 января, 2020 что значит сдуть шприцем? или удалить на операции? СпасибоЯ, да и не только я, в других темах писали об этом. Откидываете лоскут повыше и формируете небольшое окошко в пазуху достаточно высоко. Аккуратно разрываете шнайдерову, под ней будет киста (разумеется окно делать в проекции кисты) сначала проткнуть ее шприцем и оттянуть поршень на себя, вытянется жидкость янтарного цвета. После чего вооружиться двумя пинценами и хирургическим отсосом и вытянуть кисту из пазухи, перехватывая пинцеты и чтобы асси помогала сакшеном. Если порвется - ничего страшного. Затем формируете окно для синуслифтинга в привычном месте и выполняете синуслифтинг. Вариант для боязливых и ленивых: формируете окно под синуслифтинг, протыкаете иголкой шнайдерову вместе с кистой, вытягиваете янтарную жидкость, делаете синуслифтинг. 3 Ссылка на комментарий
Bier Опубликовано 8 января, 2020 Поделиться Опубликовано 8 января, 2020 Во втором так как опыта мало рекомендую самому не пытаться откачать кисту а направить на санацию пазухи к другому Лору, нужна гайморотомиялучше так не делать 1 Ссылка на комментарий
Рекомендуемые сообщения
Для публикации сообщений создайте учётную запись или авторизуйтесь
Вы должны быть пользователем, чтобы оставить комментарий
Создать аккаунт
Зарегистрируйте новый аккаунт в нашем сообществе. Это очень просто!
Регистрация нового пользователяВойти
Уже есть аккаунт? Войти в систему.
Войти