Aliluev Опубликовано 12 декабря, 2019 Поделиться Опубликовано 12 декабря, 2019 Добрый день. Увы, после потери аж двух нижних (6 и 7) зубов столкнулся с необходимостью установки имплантов. Честно говоря, думал и о мосте, с опорой на 8 и 4 и 5, которые все ещё надо депульпировать. Но все меня отговорили, сказав, что такая конструкция в принципе неправильная. Бюджет мой не особо позволяет установить импланты верхнего ценового сегмента типа Strausman, Nobel или Astra Tech. Выбирать придётся из недорогих. От Альфа био отказался стразу, у сестры были с ними проблемы и 2 имплантолога, у которых я уже побывал на консультации, с ними не работают в принципе. У них так себе поверхность SLA, нечистый титан (клинически доказано немного снижающий приживлениев отличие от чистого) и главное - плохая конструкция, как я понялПодумываю об osstrem или dentium, хотя есть ещё некий SGS.Osstrem - гидрофильная поверхность, то есть с улучшенной остеоинтеграцией, чистый титан без примесей, но довольно агрессивная резьба, коническая форма - для верхней челюсти нормально, для нижней, где более плотная кость, может и не совсем подходит (из бюджетных я имею ввиду)Dentium - Резьба менее агрессивная и форма цилиндрическая, состав не совсем чистый титан, поверхность никак не заявлена как гидрофильнаяSGS - тёмная лошака, почти нет отзывов. Форма цилиндрическая , резьба не агрессивная, поверхность очень вроде гидрофильная, состав не совсем чистый титан. производятся в Венгрии, хотя заявляются швейцарскими.Есть ещё израильские MIS. Но про них мало знаю, н вроде лучше Альфа био. Также не совсем понятно, нужно ли непременно выбирать цирконивую коронку. Слышал, что даже несмотря на то, что 6 и 7 зубы жевательные и не в эстетической зоне, все равно циркониевая коронка много лучше для дёсен и вообще интеграции. Хотелось бы в этом вопросе узнать мнение специалистов. И кстати один имплантолог мне советуя про цирконивую коронку на имплант сказал, что при этом сам абатмет не буде циркониевым. Надо ли настаивать, чтобы и абатмент был из циркония?Или же металлокерамика и титановый абатмент вполне нормальны будут в моей зоне? 1 Ссылка на комментарий
dok1 Опубликовано 12 декабря, 2019 Поделиться Опубликовано 12 декабря, 2019 Важны руки , а не материалы и бренды 1 Ссылка на комментарий
red_butler Опубликовано 12 декабря, 2019 Поделиться Опубликовано 12 декабря, 2019 http://forum.stom.ru/topic/20613-sovety-patcientam-obiazatelno-k-prochteniiu/ +1 выбирать нужно врача, с не импланты Ссылка на комментарий
колесников Опубликовано 12 декабря, 2019 Поделиться Опубликовано 12 декабря, 2019 Выбирать врача разумеется. От себя добавлю,если хотите сэкономить,чтобы предложить невысокую цену, клиники тоже экономят,в частности на технической части,коронка из металлокерамики может быть низкого качества ,на неоригинальных абатментах и прочих репликах. рекомендую коронки из диоксидациркония Ссылка на комментарий
Bier Опубликовано 12 декабря, 2019 Поделиться Опубликовано 12 декабря, 2019 цельный (без покрытия керамикой) диоксидциркония на титановом основании наиболее надежное решение и недорогое. Он несколько проигрывает по эстетике, но зато очень долговечен и для нижних зубов самое то. Ссылка на комментарий
Aliluev Опубликовано 14 декабря, 2019 Автор Поделиться Опубликовано 14 декабря, 2019 Всем спасибо. Однако, я, увы, не нашёл ответов на мои вопросы. Да, врач - это очень важно, но кто конкретно? Их море. Это, во-первых.Во-вторых, изначально отталкиваешься всё-таки от бюджета. А клиники тоже разделяются по тому, что используют не все виды имплантов, Некоторые применяют только дорогие.Вот и приходится выбирать сначала по деньгам, а значит и по брендам, а потом уже смотреть, какой врач опытнее. Такая вот очерёдность, если конечно не знать заранее точно конкретного врача, который напомню, готов бюджетно ставить бюджетные импланты качественно. Вообще же не учитывать сам по себе имплант - это по-моему большая ошибка. Тогда можно и какой-нибудь ADIN поставить за 6000 рублей , если это будет опытный имплантолог, разве это нормально? Ссылка на комментарий
колесников Опубликовано 14 декабря, 2019 Поделиться Опубликовано 14 декабря, 2019 «Бюджетно,бюджетные-качественно» нонсенс. Знаю где поставить бюджетно бюджетные,и знаю где качественно и это разные места. Хотя возможно и такое что все и сразу. К примеру,я своей сестре ,когда-то поставил упомянутый вами адин по себестоимости (тогда он был 100$ В комплекте с абатментом). Для неё так и получилось-бюджетно бюджетный,качественно. Вы себе установили границы поиска-ищите среди своего круга знакомых,возможно кто -то также пойдёт вам на встречу. Ссылка на комментарий
Aliluev Опубликовано 15 декабря, 2019 Автор Поделиться Опубликовано 15 декабря, 2019 Да, у меня рамки именно что ценовые, увы... И эти ограничения и определяют выбор не лучших имплантов. Но здесь хотя бы можно почитать в нете для начала сравнения этих недорогих имплантов и примерно понять для себя, что точно не стоит ставить, а что в принципе всё-таки можно. Если же изначально исходить из позиции поиска врача, то тут можно просто утонуть в отзывах, потратить на поиски наверное год и больше и потом всё равно даже найдя врача, придётся узнавать, ставит ли он бюджетные изделия или нет, что тоже реально. Вот почему я и начал с сужения круга поиска сперва с сужения брендов. Ссылка на комментарий
red_butler Опубликовано 15 декабря, 2019 Поделиться Опубликовано 15 декабря, 2019 Да, у меня рамки именно что ценовые, увы... И эти ограничения и определяют выбор не лучших имплантов. Но здесь хотя бы можно почитать в нете для начала сравнения этих недорогих имплантов и примерно понять для себя, что точно не стоит ставить, а что в принципе всё-таки можно. Если же изначально исходить из позиции поиска врача, то тут можно просто утонуть в отзывах, потратить на поиски наверное год и больше и потом всё равно даже найдя врача, придётся узнавать, ставит ли он бюджетные изделия или нет, что тоже реально. Вот почему я и начал с сужения круга поиска сперва с сужения брендов.«Корейцы» все примерно одинакового качества, останавливайтесь на дентиуме, остеме или необиотек 1 Ссылка на комментарий
Bier Опубликовано 15 декабря, 2019 Поделиться Опубликовано 15 декабря, 2019 Из доступных хороших это действительно корейские имплантаты.Сейчас еще есть очень хорошие имплантаты бразильские Neodent (это дочерняя компания Штрауман) но их пока очень мало кто ставит. Я сегодня отдаю предпочтение им. Ссылка на комментарий
Aliluev Опубликовано 16 декабря, 2019 Автор Поделиться Опубликовано 16 декабря, 2019 Спасибо! Насчёт Остема читал, что вроде они с агрессивной резьбой и лучше подходят поэтому для верхних зубов с менее плотной костью. Впрочем, сам производитель утверждает про универсальность, как и все производители. Но вот поверхность у них ,как я понял, точно получше чем у Дентиума и заявлена как гидрофильная. Зато у Дентиума форма цилиндрическая и они в свою очередь этим уже лучше для моих нижних 6 и 7. В целом примерно на одном уровне они выходят. Найти бы тех, кто ставил и те, и те и сказал, что же лучше всё-таки. Ссылка на комментарий
Aliluev Опубликовано 16 декабря, 2019 Автор Поделиться Опубликовано 16 декабря, 2019 Ещё есть израильские MIS , тоже бюджетные, может кто-то о них что-то знает? Ссылка на комментарий
red_butler Опубликовано 16 декабря, 2019 Поделиться Опубликовано 16 декабря, 2019 Ещё есть израильские MIS , тоже бюджетные, может кто-то о них что-то знает? "корейцы" лучше Спасибо! Насчёт Остема читал, что вроде они с агрессивной резьбой и лучше подходят поэтому для верхних зубов с менее плотной костью. Впрочем, сам производитель утверждает про универсальность, как и все производители. Но вот поверхность у них ,как я понял, точно получше чем у Дентиума и заявлена как гидрофильная. Зато у Дентиума форма цилиндрическая и они в свою очередь этим уже лучше для моих нижних 6 и 7. В целом примерно на одном уровне они выходят. Найти бы тех, кто ставил и те, и те и сказал, что же лучше всё-таки.у остема есть разные модели и два типа обработки поверхности. по мне дентиум лучше 1 Ссылка на комментарий
red_butler Опубликовано 16 декабря, 2019 Поделиться Опубликовано 16 декабря, 2019 приведите тему в соответствие правилам форума http://forum.stom.ru/topic/20613-sovety-patcientam-obiazatelno-k-prochteniiu/, иначе её придется закрыть Ссылка на комментарий
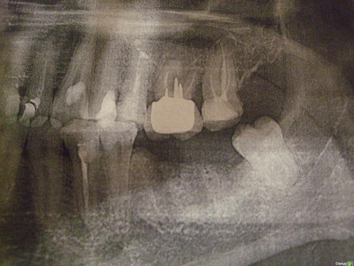
Aliluev Опубликовано 16 декабря, 2019 Автор Поделиться Опубликовано 16 декабря, 2019 приведите тему в соответствие правилам форума http://forum.stom.ru/topic/20613-sovety-patcientam-obiazatelno-k-prochteniiu/, иначе её придется закрытьИзвините, а в чём я нарушаю правила? Готов исправиться. Нужно выложить снимок панорамный, в этом ошибка? Ссылка на комментарий
Aliluev Опубликовано 16 декабря, 2019 Автор Поделиться Опубликовано 16 декабря, 2019 (изменено) Хотел бы продолжить тему, если можно.Прошу не обвинять меня в запредельной наивности, просто хотел бы узнать ваше мнение. Ведь моя тема - бюджето, но хорошо сделать импланты.На днях увидел рекламу в одной сети клиник - как раз они за 24900 рублей вместе с металлокерамикой всё включено ставят по акции импланты sgs, о которых я тут на форуме уже прочитал и их не советуют в целом.НО в этой сети есть акционные импланты Nobel и Astra Tech всего за 49900 рублей вместе с циркониевой коронкой и тоже всё включено. В чудеса я не верю. Промониторил цену на такой комплект в разных сетях - ниже 9000 не нашёл. На Стаусман вместе с коронкой из циркония и тоже всё включено всего 60000 рублей. Остем с цирконием всего за 30000 (!). Вообщем на ВСЕ импланты скидки по сравнению со среднемедианной ценой в Москве 40-55%, я подсчитал. Это просто офигенно многоСпросил у них, в чём подвох -ответ был такой примерно: у них дескать оптовые покупки, поэтому так и дешево (вообще-то почти у всех сетей покупки тоже оптовые) и они дескать хотя побольше продать ( все хотят больше заработать).Итак, подвох тут ведь должен быть? Трудно поверить, что у всех производителей имплантов с ними и только с ними эксклюзивные условия поставки. Изменено 16 декабря, 2019 пользователем Aliluev Ссылка на комментарий
колесников Опубликовано 16 декабря, 2019 Поделиться Опубликовано 16 декабря, 2019 Да,оптом немного дешевле. Чем больше опт-тем больше скидка.Потом берём дешёвую лабораторию ,где приезжие техники из средней Азии,на репликах получают за работу по 200руб за единицу коронки, находим хирурга который готов за 15% провести манипуляцию,а ортопед и вовсе за 14. И вуаля -вы нашли клинику где можно поставить бюджетно бюджетный имплант. 2 Ссылка на комментарий
Bier Опубликовано 16 декабря, 2019 Поделиться Опубликовано 16 декабря, 2019 Спасибо! Насчёт Остема читал, что вроде они с агрессивной резьбой и лучше подходят поэтому для верхних зубов с менее плотной костью. Впрочем, сам производитель утверждает про универсальность, как и все производители. Но вот поверхность у них ,как я понял, точно получше чем у Дентиума и заявлена как гидрофильная. Зато у Дентиума форма цилиндрическая и они в свою очередь этим уже лучше для моих нижних 6 и 7. В целом примерно на одном уровне они выходят. Найти бы тех, кто ставил и те, и те и сказал, что же лучше всё-таки.Это вообще не то, чем надо забивать себе голову. Лучше поставить дешевый имплантат у дорогого хирурга, чем дорогой у дешевого. Качество исполнения коронки имеет огромную важность для долгосрочного прогноза. Как и материал из которого изготовят. Диоксид Циркония разный в разных лабораториях, много и китайского г-на, который ломается чуть ли не сразу. 1 Ссылка на комментарий
dok1 Опубликовано 17 декабря, 2019 Поделиться Опубликовано 17 декабря, 2019 Плюсую про недорогие импланты и недешового доктора. SGS ставлю. Нормальная система Ссылка на комментарий
red_butler Опубликовано 17 декабря, 2019 Поделиться Опубликовано 17 декабря, 2019 Извините, а в чём я нарушаю правила? Готов исправиться. Нужно выложить снимок панорамный, в этом ошибка?да, нужны объективные данные. а то тема скатывается не туда... Хотел бы продолжить тему, если можно.Прошу не обвинять меня в запредельной наивности, просто хотел бы узнать ваше мнение. Ведь моя тема - бюджето, но хорошо сделать импланты.На днях увидел рекламу в одной сети клиник - как раз они за 24900 рублей вместе с металлокерамикой всё включено ставят по акции импланты sgs, о которых я тут на форуме уже прочитал и их не советуют в целом.НО в этой сети есть акционные импланты Nobel и Astra Tech всего за 49900 рублей вместе с циркониевой коронкой и тоже всё включено. В чудеса я не верю. Промониторил цену на такой комплект в разных сетях - ниже 9000 не нашёл. На Стаусман вместе с коронкой из циркония и тоже всё включено всего 60000 рублей. Остем с цирконием всего за 30000 (!). Вообщем на ВСЕ импланты скидки по сравнению со среднемедианной ценой в Москве 40-55%, я подсчитал. Это просто офигенно многоСпросил у них, в чём подвох -ответ был такой примерно: у них дескать оптовые покупки, поэтому так и дешево (вообще-то почти у всех сетей покупки тоже оптовые) и они дескать хотя побольше продать ( все хотят больше заработать).Итак, подвох тут ведь должен быть? Трудно поверить, что у всех производителей имплантов с ними и только с ними эксклюзивные условия поставки.финансовые вопросы на форуме не обсуждаются Ссылка на комментарий
Aliluev Опубликовано 17 декабря, 2019 Автор Поделиться Опубликовано 17 декабря, 2019 на репликах получают за работу по 200руб за единицу коронки Вы хотите сказать, что тут скорее реплики? Именно с этим связаны столь низкие цены? Ссылка на комментарий
Aliluev Опубликовано 17 декабря, 2019 Автор Поделиться Опубликовано 17 декабря, 2019 финансовые вопросы на форуме не обсуждаются Я и не хотел обсуждать конкретные цифры, просто написал их для иллюстрации. Но буду иметь ввиду, что на форуме так лучше не делать Ссылка на комментарий
Aliluev Опубликовано 17 декабря, 2019 Автор Поделиться Опубликовано 17 декабря, 2019 Съездил к ним сегодня и побеседовал с их имплантологом. По его словам цена столь низкая на все импланты связаны с низкими закупочными ценами - этим занимаются маркетологи, не он, но за качество он отвечает. "Можете посмотреть номера, все лицензии на материалы". Только я в этом мало что понимаю, так что тут вопрос открытый. Кроме того у них по его словам есть свои мастерские, где они вытачивают коронки (хотя вроде у многих они тоже есть), вот почему цену итоговую можно сильно скинуть. В целом он объяснял всё вроде вполне компетентно на мой любительский уровень. Единственное, что когда я спросил его про разные поверхности у имплантов (а они действительно отличаются немного разной остеоинтеграцией лучшей или худшей в комплексе всех характеристик импланта - у одних поверхность прежнего поколения SLA, а других заявлена как гидрофильная, то есть с улучшенной интеграцией), он уверенно стал утверждать, что поверхность не имеет значения по сути. Что-то сомневаюсь.Я сделал КТ на базе одного из их отделения, диск мне дали. Предложили как вариант сделать на базе независимых центров ренгенодиагностики, но у них немного дешевле. Даже если я не буду делать у них импланты, всё равно эта КТ мне пригодится. Сказали, что вроде везде будет читаться.Ещё спросил про необходимые анализы - сказали, что биохимию делать не нужно, так как у меня только 2 зуба, а общий анализ крови достаточно самый обычный, можно даже не расширенный и даже без СОЭ. Хотя я читал, что СОЭ нужно вроде в любом случае. Не знаю, что тут и сказать. Вечером с ними созвонюсь, узнаю мнение врача насчёт моего КТ. Ссылка на комментарий
Aliluev Опубликовано 17 декабря, 2019 Автор Поделиться Опубликовано 17 декабря, 2019 Забыл одно. Ещё этот имплантолог сказал, что это миф, что импланты с агрессивной резьбой типа Остема подходят только для мягкой кости, а для нижней уже не очень. По его словам после удаления зуба даже спустя 5 месяцев кость всё равно не такая уж и твёрдая даже в нижнем зубе, поэтому упираться только в неагрпессивную резьбу и в цилиндрическую форму смысла нет особого. Мне вполне может подойти Остем. Ссылка на комментарий
Aliluev Опубликовано 17 декабря, 2019 Автор Поделиться Опубликовано 17 декабря, 2019 Ещё одно. По словам имплантолога не нужно бояться агрессивной резьбы имплагнты даже для нижних жевательных зубов, неверно разделять импланты на для верхних зубов, а вот эти для нижних., это миф как он говорит. После удаления по его словам кость всё равно не такая уж твёрдая, поэтому Остем мне вполне может подойти. Ссылка на комментарий
Рекомендуемые сообщения