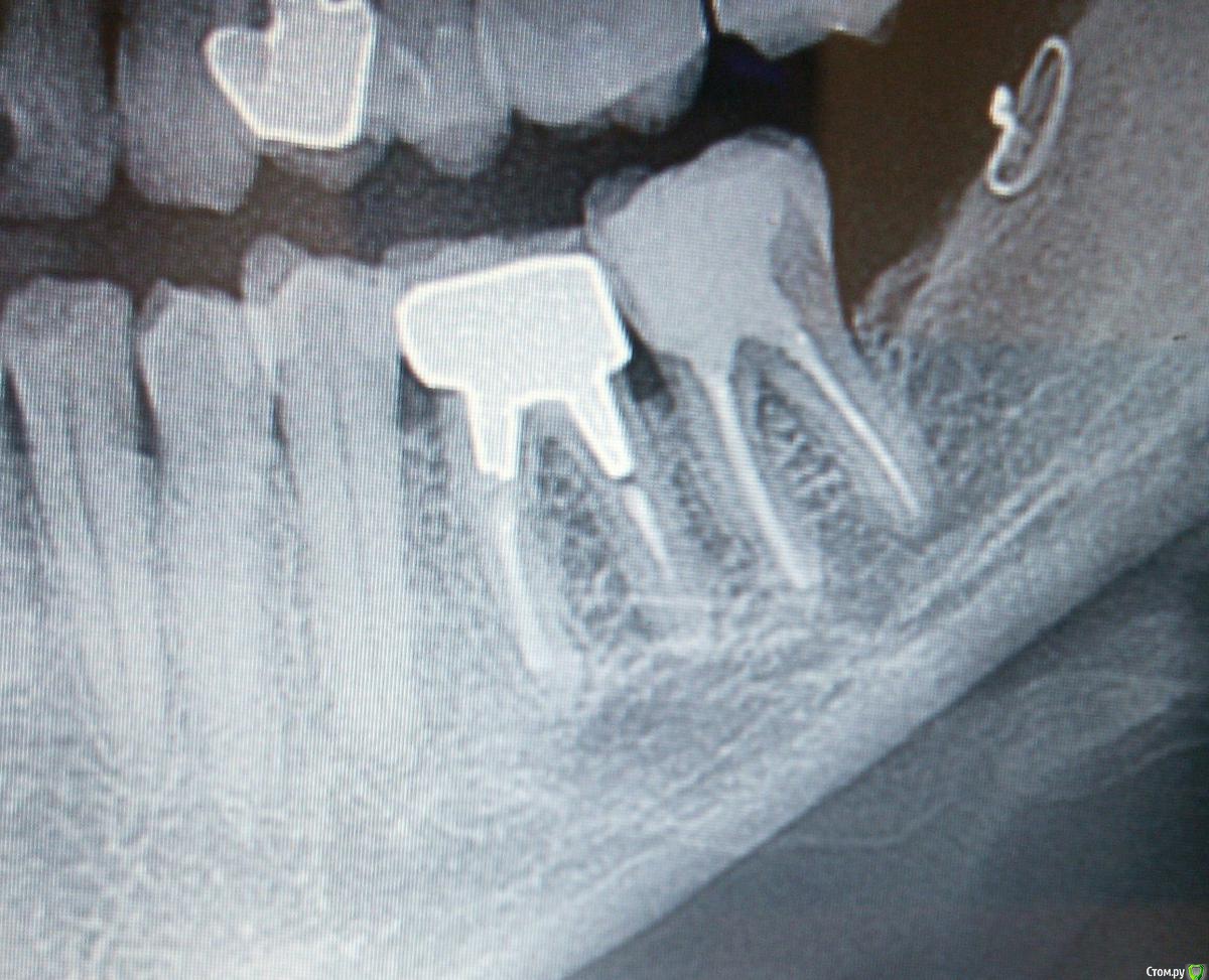
igorstom Опубликовано 23 ноября, 2019 Поделиться Опубликовано 23 ноября, 2019 Доброго времени суток! Далеко не редкость, когда у пациентов кариес цемента корня. Давайте поделимся своими соображениями по этому поводу. В теме будут рентгеновские снимки некоторых моих работ по данной тематике. В том числе и в отдаленные сроки.Начну со следующего сложного клинического случая, который был буквально пару месяцев назад. Пациент обратился с жалобами на периодические ноющие боли в зубе нижней челюсти справа, предполагает что причинный зуб под коронками. Была сделана ОПТГ. Результат четко виден. Какие соображения будут по этому поводу? Ссылка на комментарий
vse32 Опубликовано 23 ноября, 2019 Поделиться Опубликовано 23 ноября, 2019 (изменено) Удаление. 1. Кариес корня это абсолютное показание к удалению. Это по стандарту, который в России законадательно не утверждён.2. Наличие глубокого кармана, который даже после чудо реставрации никуда не денется, а только будет прогрессировать и доставлять своему обладателю кучу незабываемых ощущений. 3. В данной ситуации нужно эндо лечение и замена моста. Что по деньгам уже не мало. В данном случае рациональнее удалить то, что осталось от зуба и сделать имплантацию. В идеале 2 имплантаты и коронку на премоляр. Это будет правильно и с гарантией.Все остальные телодвижения считаю опытами над человеком подкрепленные только верой в свои сверх силы. Игра в спасателей.Напомню так же, что адгезия к цемента корня современных реставрационных материалов ничтожна и держится что-либо только за счет механической ретенции.Но с учётом слов автора - подозреваю альтернативный вариант лечения. Изменено 23 ноября, 2019 пользователем vse32 3 Ссылка на комментарий
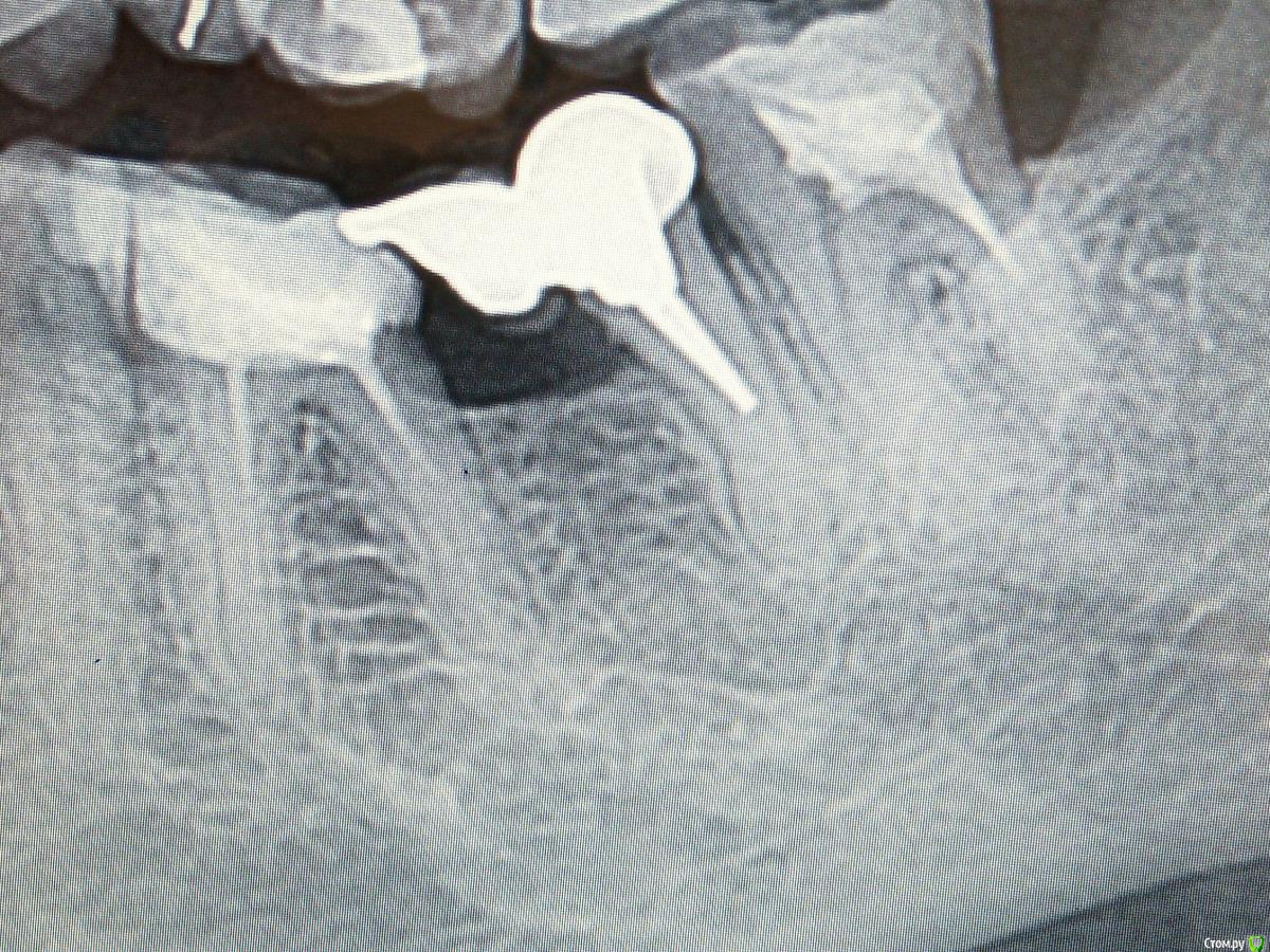
igorstom Опубликовано 23 ноября, 2019 Автор Поделиться Опубликовано 23 ноября, 2019 Удаление.1. Кариес корня это абсолютное показание к удалению. Это по стандарту, который в России законадательно не утверждён. Я не стал удалять весь зуб. Провел под коффером эндо-лечение медиальных каналов. Потом сделал короно-радикулярную сепарацию. Удалил дистальный корень. Далее провёл протезирование. Очень жаль, что многие почему-то не делают данную процедуру. А ведь ничего сложного нет. С 1997 года практикую. Тьфу-тьфу, проблем не было. Но только на нижних зубах. На верхних ни разу не проводил.Немного позже выложу рентген пациентки, которая лечилась у меня с менее глубоко расположенным кариесом цемента корня, чем у представленного выше пациента. Покажу результаты через 3 года. Кстати, эта пациентка переехала на ПМЖ в Санкт-Петербург, и по моему совету, когда её прихватила там нужда с зубами, пошла в клинику Доброго Стоматолога. Так что мои работы там видели, а я соответственно через некоторое время увидел их работы. ))) 5 Ссылка на комментарий
krokomot Опубликовано 23 ноября, 2019 Поделиться Опубликовано 23 ноября, 2019 в данной ситуации это один из возможных выходов, но сепарацию не делаю, удаляю и ставлю имплантат. Ссылка на комментарий
vse32 Опубликовано 23 ноября, 2019 Поделиться Опубликовано 23 ноября, 2019 Гемисекция. Это лучший вариант из всех возможных помимо удаления. Слава Богу, что что не реставрация. Сама делала подобное при перфе в области медиального корня 37 зуба. Был мост 36 и дистальный корень 37. Стоит уже 5 лет. Месяц назад видела эту работу. Ура! А то я уже ждала от автора что угодно. Ссылка на комментарий
vse32 Опубликовано 23 ноября, 2019 Поделиться Опубликовано 23 ноября, 2019 На верхних ни разу не проводил.На верхних зубах отсекала дистальный корень, который уже торчал в мягкие ткани. Очень простая, кстати, процедура. Отдаленных результатов не имею. Но почему то уверена, что там все хорошо. Ссылка на комментарий
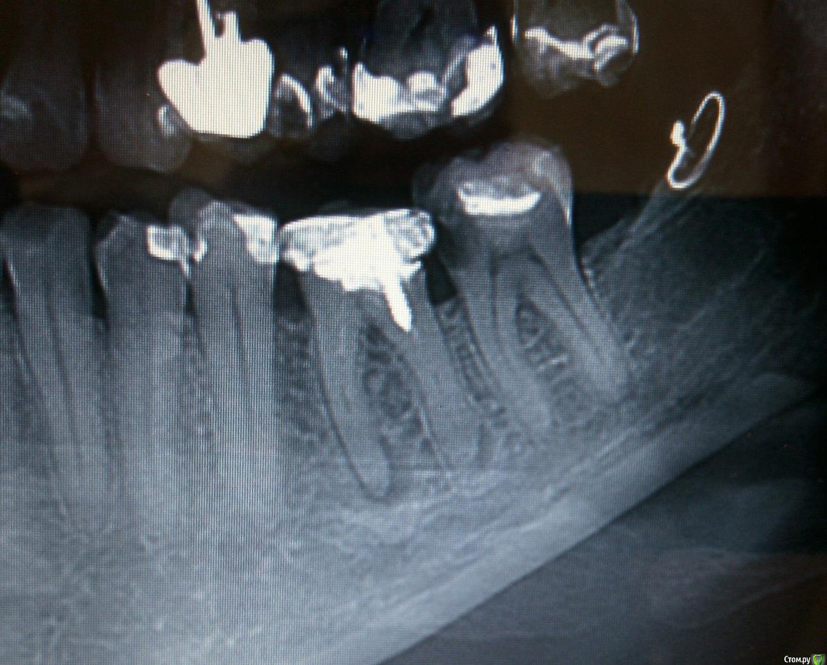
igorstom Опубликовано 24 ноября, 2019 Автор Поделиться Опубликовано 24 ноября, 2019 Вот пример работы через некоторое время с гемисекцией. Можно конечно задать резонный вопрос: почему каналы не пролечены.... Объясняю. Работа делалась абсолютно бесплатно. Ну человек такой мне попался - блатной, родственница начальников. А как известно бесплатный сыр только на сыр-заводе. Поэтому с каналами в данном случае просто не стал заморачиваться. Ведь по "леченым" каналам видно, что пациентка лечилась всегда на халяву с вытекающими отсюда последствиями для своих зубов. А перелечка чужого эндо это всегда сильный геморрой. Работа проводилась в Госке. 2 Ссылка на комментарий
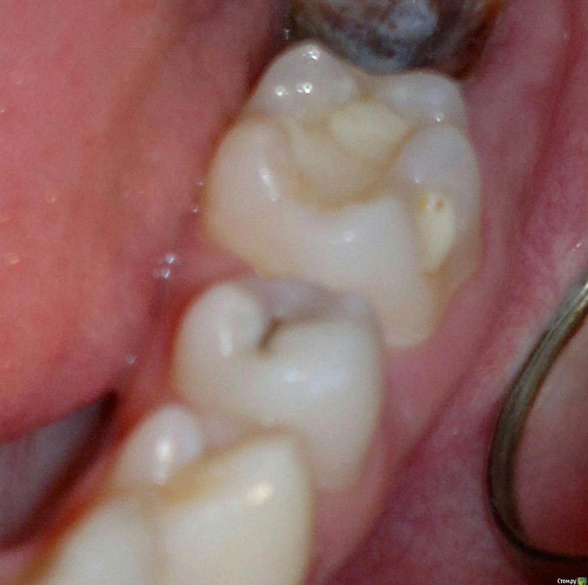
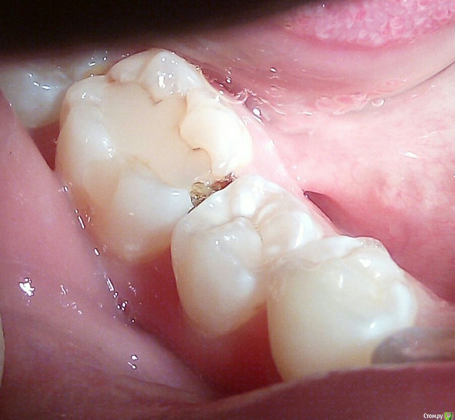
igorstom Опубликовано 24 ноября, 2019 Автор Поделиться Опубликовано 24 ноября, 2019 Ещё один пример кариеса корня зуба 3.7. Но в данном случае он неглубокий. Понятно, что световые пломбы к цементу корня не фиксируются, и 100% будет нарушение краевого прилегания, и отсюда вторичный кариес. Вопрос. Как же выйти из ситуации в данном случае, если световые пломбы в месте прилегания к корню не фиксирутся? Потом расскажу, как делаю я. Но хотелось бы услышать другие мнения. Может у кого-то есть идеи получше, чем мои решения..И да, сразу пример по поводу перелечивания каналов. Я берусь за перелечку чужого эндо, но только платно. 1 Ссылка на комментарий
red_butler Опубликовано 24 ноября, 2019 Поделиться Опубликовано 24 ноября, 2019 Какие соображения будут по этому поводу? удалять Ссылка на комментарий
Turalyon Опубликовано 24 ноября, 2019 Поделиться Опубликовано 24 ноября, 2019 (изменено) Ещё один пример кариеса корня зуба 3.7. Но в данном случае он неглубокий. Понятно, что световые пломбы к цементу корня не фиксируются, и 100% будет нарушение краевого прилегания, и отсюда вторичный кариес. Вопрос. Как же выйти из ситуации в данном случае, если световые пломбы в месте прилегания к корню не фиксирутся? Потом расскажу, как делаю я. Но хотелось бы услышать другие мнения. Может у кого-то есть идеи получше, чем мои решения..И да, сразу пример по поводу перелечивания каналов. Я берусь за перелечку чужого эндо, но только платно.Я восстанавливаю до уровня десны vitremerом согласно показаниям :"Для пломбирования кариозных дефектов корня зуба", либо Adhesor carbofine :"Пригодно применять в тех случаях, когда полость не может быть тщательно высушена, поскольку адгезор карбофайн проявляет высокую степень адгезии и во влажной среде".После этого перекрываю вышеперечисленные материалы композитом уже в условиях адекватной изоляции. Отдаленными наблюдениями к сожалению пока не располагаю. Изменено 24 ноября, 2019 пользователем Turalyon 1 Ссылка на комментарий
igorstom Опубликовано 24 ноября, 2019 Автор Поделиться Опубликовано 24 ноября, 2019 Я восстанавливаю до уровня десны vitremerом согласно показаниям :"Для пломбирования кариозных дефектов корня зуба", либо Adhesor carbofine :"Пригодно применять в тех случаях, когда полость не может быть тщательно высушена, поскольку адгезор карбофайн проявляет высокую степень адгезии и во влажной среде".После этого перекрываю вышеперечисленные материалы композитом уже в условиях адекватной изоляции. Отдаленными наблюдениями к сожалению пока не располагаю. Великолепно! Точно также, но другими материалами СИЦ. Поликарбоксилатными не пользуюсь. Как-то разочарован был в своё время результатами.Но есть одна фишка в работе СИЦ. Кто работал Фуджи-IX меня поймёт. Кто-нибудь работал этим цементом? Есть особенности его замешивания? Вот в них на мой взгляд и вся фишка в долговечности сэндвич-техники при пломбировании неглубокого кариеса корня. Ссылка на комментарий
vse32 Опубликовано 24 ноября, 2019 Поделиться Опубликовано 24 ноября, 2019 Ещё один пример кариеса корня зуба 3.7 Там еще эмаль видна. Это не кариес корня, а глубокий пришеечный кариес. Я восстанавливаю до уровня десны vitremerом Господа. Вы заигрались в стоматологию для бедных. Вы забываете главное. Ваше спасательство, конечно, сильно повышает Ваш рейтинг среди пациентов. Но для всего есть свои показания и их создавали не дураки. После таких глубоких реставраций у пациента пародонтальный карман никуда не денется. Десна никогда не прирастет ни к композиту, ни к цементу.У моей мамы в определенном возрасте начал развиваться генерализованный пародонтит. Все зубы подвижны, карманы. Ей, по хорошему, надо все удалять. По крайней мере я на этом настаиваю.Она пока старается терпеть. Но я вижу как ей хреново, когда очередной карман начинает беспокоить. Но у нее выхода, считай, нет.А Вы умышленно обрекаете своих пациентов на страдания, под девизом экономии денег. Да, мы все такие. Многие грешим. Нам всем хочется сделать работу, которая не ударит пациенту по карману и сохранит зуб. Но есть пределы.Опять же, эти эксперименты нормальны для молодого, неопытного врача. Но я вижу в этой ветке уже состоявшихся специалистов.Господа, Вы забыли, что Вы ВРАЧИ. А врач должен лечить, а не переводить пациента из одной проблемы в другую.Ну и если уж и идете на такое - то хотя бы не выставлять такое творчество на всеобщее обозрение. Это же стыдно. 3 1 Ссылка на комментарий
___49___ Опубликовано 24 ноября, 2019 Поделиться Опубликовано 24 ноября, 2019 (изменено) Можно конечно задать резонный вопрос: почему каналы не пролечены.... Я бы еще хотел задать несколько вопросов к этой работе . Почему не был изготовлен мост 7-6 с нормальным по форме ( не собирающим столь откровенно зубные отложения) промывным пространством? , что позволило бы разгрузится , убрать накладку на пломбированный впереди стоящий зуб(которому и без того плохо). Что с контактом в дистальном отделе ? Почему Вы не учли требования - не размешать окклюзионную накладку на пломбе ? ... Если и это все Вы объясните отсутствием финансов .....то ну ее такую "экономию"......если пациент требует от Вас навредить сделать ему шляпу - не соглашайтесь...или Вы сами его уговорили на данную конструкцию ? Изменено 24 ноября, 2019 пользователем ___49___ 4 Ссылка на комментарий
igorstom Опубликовано 24 ноября, 2019 Автор Поделиться Опубликовано 24 ноября, 2019 Я бы еще хотел задать несколько вопросов к этой работе . Почему не был изготовлен мост 7-6 с нормальным по форме ( не собирающим столь откровенно зубные отложения) промывным пространством? , что позволило бы разгрузится , убрать накладку на пломбированный впереди стоящий зуб(которому и без того плохо). Что с контактом в дистальном отделе ? Почему Вы не учли требования - не размешать окклюзионную накладку на пломбе ? ... Если и это все Вы объясните отсутствием финансов .....то ну ее такую "экономию"......если пациент требует от Вас навредить сделать ему шляпу - не соглашайтесь...или Вы сами его уговорили на данную конструкцию ? Читайте внимательно топик. Я об этом уже писал. И указал основную причину своей халатности - бесплатный сыр только на сыр-заводе. Каналы за бесплатно даже не собирался переделывать.А платить никто не собирался (я уже писал, что пациентка была "блатной"). А пока нормальное эндо не сделано - о каких нормальных коронках идёт речь?В данном случае я продемонстрировал только гемисекцию с последующей ампутацией корня с изменениями. Остальное просьба не трогать. Знаю. Куча ошибок. Все вопросы по эндо к предыдущему мастеру, который залечил так, что фиг распломбируешь.. И это была 80-летняя бабуська-врач, полуслепая, полуглухая.... Когда-то в далеких 70-ых годах она побывала "главным стоматологом города", и после этого у неё что-то в голове перемкнуло.... В этой теме я ещё покажу её "шедевры". ))) Ссылка на комментарий
igorstom Опубликовано 24 ноября, 2019 Автор Поделиться Опубликовано 24 ноября, 2019 У моей мамы в определенном возрасте начал развиваться генерализованный пародонтит. Все зубы подвижны, карманы. Ей, по хорошему, надо все удалять. По крайней мере я на этом настаиваю.Она пока старается терпеть. Но я вижу как ей хреново, когда очередной карман начинает беспокоить. Но у нее выхода, считай, нет..Эх, Москва, Москва.... Озвучить все причины моих поступков?... Думаю это очень надолго. Наверное даже начинать не стОит. Скажу только основную - меня не устраивает прецизионность работ зубных техников. И в случае протезирования результат будет ещё плачевнее.Мы с Вами стоим на разных уровнях работ. Допускаю, что в Вашей клинике работают классные реставраторы, суперские эндо-стоматологи, техники работают в бинокулярных лупах. У нас на Урале я каждый день имею дело с залепухами, лепёхами, танцплощадками... 1 Ссылка на комментарий
сирена Опубликовано 24 ноября, 2019 Поделиться Опубликовано 24 ноября, 2019 Вот пример работы через некоторое время с гемисекцией. Можно конечно задать резонный вопрос: почему каналы не пролечены.... Объясняю. Работа делалась абсолютно бесплатно. Ну человек такой мне попался - блатной, родственница начальников. А как известно бесплатный сыр только на сыр-заводе. Поэтому с каналами в данном случае просто не стал заморачиваться. Ведь по "леченым" каналам видно, что пациентка лечилась всегда на халяву с вытекающими отсюда последствиями для своих зубов. А перелечка чужого эндо это всегда сильный геморрой. Работа проводилась в Госке.Резорциненные зубы?Нет совсем периапикальных изменений. Ссылка на комментарий
igorstom Опубликовано 24 ноября, 2019 Автор Поделиться Опубликовано 24 ноября, 2019 Вот полюбуйтесь на эти "шедевры". Это дети 10,14,15 лет. Коронки показаны? Да без сомнения. Да такое каждый день вижу. И в дорогих клиниках большинство работ оставляет желать лучшего. Ссылка на комментарий
igorstom Опубликовано 24 ноября, 2019 Автор Поделиться Опубликовано 24 ноября, 2019 Резорциненные зубы?Нет совсем периапикальных изменений.Там смесь бульдога с носорогом. Бабуська, которая лечила эти зубы непонятно что использовала. Но резорцин с формалином точно были в составе. Буду на работе, скину сюда её шедевры с "письками" в зоне бифуркации. И ведь не болел ни один зуб (!!!). Парадокс. Ссылка на комментарий
сирена Опубликовано 24 ноября, 2019 Поделиться Опубликовано 24 ноября, 2019 Коронки показаны? Да без сомнения. Тут показаны коронки?Зачем?Зубы живые 1 Ссылка на комментарий
igorstom Опубликовано 24 ноября, 2019 Автор Поделиться Опубликовано 24 ноября, 2019 Тут показаны коронки?Зачем?Зубы живыеИРОПЗ гляньте на некоторых зубах. После удаления залепух итого меньше будет. В данном случае я реставрировал. Зная, как у нас делают коронки, вкладки.... Боже упаси. В некоторых местах до сих пор интенсивно юзают штампованно-паянные протезы. А покрытие нитрид-титаном считается обыденным делом, на котором ещё и заработать можно. В одной клинике довелось пообщаться с Кад-Кам-докторами ("Церек-врачами"). Спрашиваю, как хорошо садятся конструкции. Отвечают: чаще всего никак. Быстро точно не получается.... И ведь никто даже не анализировал в каком месте и чей косяк. А ведь речь идет о прецизионных работах.И да, на счет живых зубов. Никогда не депульпирую, если приходится брать под керамику. Если только сильная конвергенция - тогда да. 1 Ссылка на комментарий
vse32 Опубликовано 24 ноября, 2019 Поделиться Опубликовано 24 ноября, 2019 И указал основную причину своей халатности - бесплатный сыр только на сыр-заводе. Каналы за бесплатно даже не собирался переделывать.А платить никто не собирался (я уже писал, что пациентка была "блатной"). А пока нормальное эндо не сделано - о каких нормальных коронках идёт речь? Так может было правильнее удалить? Это и для врача проще. А хирургия с гемисекцией, вкв и коронка на сомнительный корень слишком не бюджетно. Эх, Москва, Москва.... Озвучить все причины моих поступков?... Думаю это очень надолго. Наверное даже начинать не стОит. Скажу только основную - меня не устраивает прецизионность работ зубных техников. И в случае протезирования результат будет ещё плачевнее.Мы с Вами стоим на разных уровнях работ. Допускаю, что в Вашей клинике работают классные реставраторы, суперские эндо-стоматологи, техники работают в бинокулярных лупах. У нас на Урале я каждый день имею дело с залепухами, лепёхами, танцплощадками... Я залепухи, лепехи и прочую дичь тоже вижу часто. Все же в Москве и стоматологи сильно разные имеются и пациенты со всего мира. И цены не для всех подъемны.Я не знаю Вашего мироустройства, поэтому, возможно, чего-то и не смогу понять.Но когда работала в Госе, то "блатных" начальство ко мне тащило. Все бесплатно. Но тут все строго по показаниям. Потому как не дай Бог. Так вот шушара вся халяву это с удовольствием принимала, и уходила с таким выражением лица, что я еще и должна осталась. А вот приличные люди на высоких должностях, так же посаженные главврачом шли сами в кассу и оплачивали. Поэтому предлагаю задуматься - а так ли нужны эти "блатные", которые Вас не уважают. А если действительно нужны, то и делать нужно очень хорошо. Ссылка на комментарий
vse32 Опубликовано 24 ноября, 2019 Поделиться Опубликовано 24 ноября, 2019 Зная, как у нас делают коронки, вкладки.... Тогда вопрос - Вы в каком статусе работаете? Гос служащий, наемник в частной, вольный стоматолог, владелец бизнеса? Исходя из ответа будем дальше обсуждать. Ссылка на комментарий
сирена Опубликовано 24 ноября, 2019 Поделиться Опубликовано 24 ноября, 2019 Ну вкладки - согласна,показаны,но коронки.. Ссылка на комментарий
igorstom Опубликовано 25 ноября, 2019 Автор Поделиться Опубликовано 25 ноября, 2019 Тогда вопрос - Вы в каком статусе работаете? Гос служащий, наемник в частной, вольный стоматолог, владелец бизнеса? Исходя из ответа будем дальше обсуждать.Ух... Какие вопросы пошли не по теме. Какая разница кем и где я работаю? Это я точно обсуждать с Вами не собираюсь. И оправдываться тем более. Вы ещё спросите какие оценки у меня были в институте и в школе, и посещал ли я кружок "Умелые ручки", почему я курил и иногда выпивал. Ссылка на комментарий
igorstom Опубликовано 25 ноября, 2019 Автор Поделиться Опубликовано 25 ноября, 2019 1. Там еще эмаль видна. Это не кариес корня, а глубокий пришеечный кариес. 2. Десна никогда не прирастет ни к композиту, ни к цементу.3. У моей мамы в определенном возрасте начал развиваться генерализованный пародонтит. Все зубы подвижны, карманы. Ей, по хорошему, надо все удалять. По крайней мере я на этом настаиваю.Она пока старается терпеть. Но я вижу как ей хреново, когда очередной карман начинает беспокоить. Но у нее выхода, считай, нет.4. А Вы умышленно обрекаете своих пациентов на страдания, под девизом экономии денег.5. Господа, Вы забыли, что Вы ВРАЧИ. А врач должен лечить, а не переводить пациента из одной проблемы в другую.Ну и если уж и идете на такое - то хотя бы не выставлять такое творчество на всеобщее обозрение. Это же стыдно.1. Эмаль в этой области сходит на нет. Если Вы когда-нибудь лечили такие локализации полостей, взгляните на свои отдаленные результаты. Я свои видел, чужие видел, и сделал из этого вывод. Но Вы похоже не занимаетесь терапией. А не мешало бы. Может тогда начнете понимать, и мы будем более конструктивно обсуждать.2. А к коронке прирастёт? Тоже нет. Так Вы предлагаете драть и вставлять имплант? Как в суде будете оправдываться? Тем, что десна не прирастёт? Ну-ну...3. Как Вам не стыдно? Это же Ваша мама, а Вы усугубляете её состояние, не оказывая должной помощи. ))) 4. Тоже самое, но наоборот могу сказать (как в книге "Записки доброго стоматолога): Надо в душу смотреть пациенту, а не в его кошелек. 5. Если Вам стыдно, Вы можете не участвовать в обсуждении.И пожалуйста тон смените на более добрый. Я принимаю любую критику по существу. А не моральные наезды: "Как Вам не стыдно", "Вы же врач", "Мне очень стыдно за Вас"... Детей своих учите, мужа, подчиненных... А мне в жизни уже хватило этого с лихвой. Особенно во времена СССР. 3 2 Ссылка на комментарий
Рекомендуемые сообщения
Для публикации сообщений создайте учётную запись или авторизуйтесь
Вы должны быть пользователем, чтобы оставить комментарий
Создать аккаунт
Зарегистрируйте новый аккаунт в нашем сообществе. Это очень просто!
Регистрация нового пользователяВойти
Уже есть аккаунт? Войти в систему.
Войти