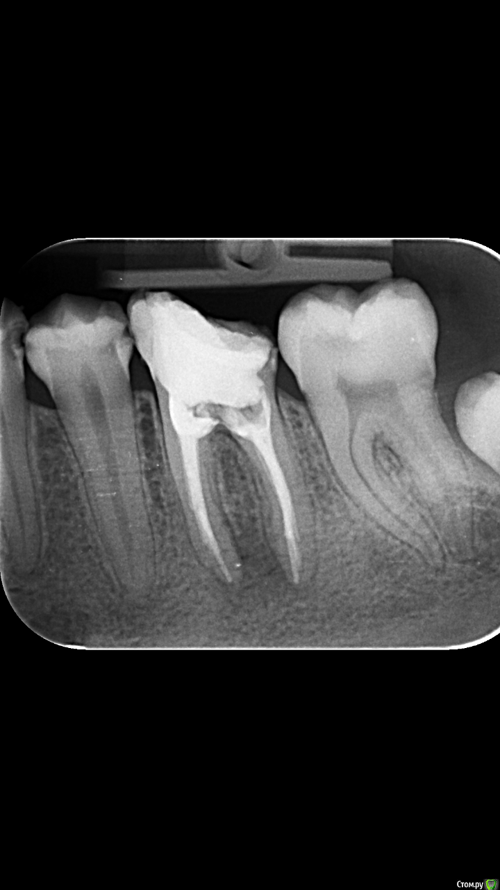
Studentic Опубликовано 17 ноября, 2019 Поделиться Опубликовано 17 ноября, 2019 Здравствуйте! Подскажите как лучше восстановить 3.6 зуб после эндодонтии? Вкладка + коронка? Ссылка на комментарий
vse32 Опубликовано 17 ноября, 2019 Поделиться Опубликовано 17 ноября, 2019 Вкладка + коронка да Ссылка на комментарий
Studentic Опубликовано 17 ноября, 2019 Автор Поделиться Опубликовано 17 ноября, 2019 Спасибо Ссылка на комментарий
Kolchanov Опубликовано 17 ноября, 2019 Поделиться Опубликовано 17 ноября, 2019 Если он даже на орто так выглядит... 1 Ссылка на комментарий
Бардо Опубликовано 17 ноября, 2019 Поделиться Опубликовано 17 ноября, 2019 Зубик грустный какой-то на вид. Вы точно уверены, что оно того стоит? Ссылка на комментарий
Studentic Опубликовано 17 ноября, 2019 Автор Поделиться Опубликовано 17 ноября, 2019 Пациент сохранить его очень хочет, да и мне интересно что получится из этого. Весь кариес удалил, дно полости зуба твердое, веду на кальции, симптомов нету. Было бы хорошо его спасти Ссылка на комментарий
Бардо Опубликовано 17 ноября, 2019 Поделиться Опубликовано 17 ноября, 2019 Прицервикального дентина, видимо, осталось все же не много (вам виднее), поэтому если вы ещё не успели набить шишек в конфликтах с пациентами из-за неудач в лечении, то это отличный шанс. Опять же, если пациент ваш родственник, коллега или просто хороший парень, я всегда сам лично за вытягивание всякого треша 2 Ссылка на комментарий
Kolchanov Опубликовано 17 ноября, 2019 Поделиться Опубликовано 17 ноября, 2019 Для введения вкладки и минимализации цементного зазора, возможно, придется убить оставшееся. Я бы делал адгезивно. 1 Ссылка на комментарий
Паращук Роман Опубликовано 18 ноября, 2019 Поделиться Опубликовано 18 ноября, 2019 пинлей 1 Ссылка на комментарий
krokomot Опубликовано 18 ноября, 2019 Поделиться Опубликовано 18 ноября, 2019 По снимку зуб весьма печален, покажите финальный снимок с эндо, тканей очень мало, штифт добьет зуб я бы делал только композитом билдап, если хотите экспериментировать, учтите, что в случае удачи пациент скажет "хорошо, что не дал удалить", а в случае неудачи будет криворукий доктор, либо доктор хапнул с безнадежного зуба. 2 Ссылка на комментарий
Studentic Опубликовано 19 ноября, 2019 Автор Поделиться Опубликовано 19 ноября, 2019 По снимку зуб весьма печален, покажите финальный снимок с эндо, тканей очень мало, штифт добьет зуб я бы делал только композитом билдап, если хотите экспериментировать, учтите, что в случае удачи пациент скажет "хорошо, что не дал удалить", а в случае неудачи будет криворукий доктор, либо доктор хапнул с безнадежного зуба.Я студент и работаю буквально за себестоимость материалов, поэтому вряд-ли будут проблемы в случае неудачи в леченииДа, скорее всего будет лучше восстановить композитом. Ссылка на комментарий
vse32 Опубликовано 19 ноября, 2019 Поделиться Опубликовано 19 ноября, 2019 Да, скорее всего будет лучше восстановить композитом. Не правильный ответ. Ссылка на комментарий
Studentic Опубликовано 19 ноября, 2019 Автор Поделиться Опубликовано 19 ноября, 2019 Не правильный ответ. Треснут остатки зуба? Ссылка на комментарий
vse32 Опубликовано 19 ноября, 2019 Поделиться Опубликовано 19 ноября, 2019 Треснут остатки зуба?Вам предстоит серьезная работа. Которая подразумевает адекватное восстановление зуба. В данной ситуации это вкладка и коронка если твердые ткани позволяют это сделать.Если твердых тканей недостаточно - зуб сразу удаляется.Если Вы делаете хорошую эндодонтию, то неадекватное восстановление губит все результаты. Ненадежная реставрация рано или поздно нарушит герметизм. Получается работа ради работы.Если Вы не можете сделать хорошую эндодонтию - зуб удаляется.Т.е. Вы поняли. У вас 2 этапа работ. Эндодонтический и восстановительный. И оба должны иметь положительный прогноз. Если хоть один этап имеет отрицательный прогноз - зуб под щипцы.Вы же не рассматриваете вариант провести резорцин-формалиновый метод и вкв + коронка. Тут минус уже на первом этапе. Так почему же рассматриваете второй этап со знаком минус.Самое главное для начинающего врача научится отдавать пациента смежным специалистам. Тут все показания к протезированию, так и соблюдите их. Вам же не придет в голову при необходимости удаления зуба, вместо того, что бы направить к хирургу, пытаться удалить зуб гладилкой.И второе, что нужно знать молодому специалисту - чудес не бывает. Если авторитетные и опытные коллеги дают определенные рекомендации это не значит, что они ленивые, криворукие идиоты. Нет, просто все этапы безрассудных эксперементов и отчаянного спасательства они прошли в молодости и уже наверняка знают какой метод будет самым оптимальным.Однако Вам никто не мешает получить опыт на своих граблях. Поверьте, лет через цать, когда Вы увидете своего давнего пациента с аккуратной короночкой во рту Вам будет значительно приятнее, чем полуразрушенную, полусгнившую лепнину. Или попросту торчащие из десны обломки. Тут уже придется своей совести доказывать, мол молодой был. 1 1 Ссылка на комментарий
krokomot Опубликовано 19 ноября, 2019 Поделиться Опубликовано 19 ноября, 2019 Композитный билдап, все имеют ввиду, наверх коронка. 1 Ссылка на комментарий
Studentic Опубликовано 24 ноября, 2019 Автор Поделиться Опубликовано 24 ноября, 2019 Снимок в верхней половине-после 4-5 недель на кальции. Есть положительная динамика, или все дело в разной контрастности снимков? Ссылка на комментарий
vse32 Опубликовано 24 ноября, 2019 Поделиться Опубликовано 24 ноября, 2019 4-5 недель это не те сроки, когда можно делать выводы о динамике. Хотя на снимках она вроде как есть. Ссылка на комментарий
DmitrySH Опубликовано 24 ноября, 2019 Поделиться Опубликовано 24 ноября, 2019 Да вроде там лучше, но кол-во дентина на фуркации очень настораживает 3 Ссылка на комментарий
ЛанаМ Опубликовано 26 ноября, 2019 Поделиться Опубликовано 26 ноября, 2019 Мне тоже сомнительно, что ортопед возьмется делать вкладку при столь малом количестве тканей. Наверное, стоит проконсультироваться с ним заранее. А то зуб запломбируете, а ортопед посмотрит на него и скажет - на удаление. И пациент будет на вас обижен за зря потраченное время. Я в сомнительных случаях всегда сначала к ортопеду направляю, и если он подтверждает возможность ортопедического лечения, то тогда и лечу. Без коронки от этого зуба будут постоянно кусочки откалываться. 1 Ссылка на комментарий
Studentic Опубликовано 28 ноября, 2019 Автор Поделиться Опубликовано 28 ноября, 2019 Обтурация конечно не очень красиво получилась. Видимо у-файлом нарезал стенки канала. Буду наблюдать что будет дальше. Ссылка на комментарий
Kolchanov Опубликовано 28 ноября, 2019 Поделиться Опубликовано 28 ноября, 2019 Леча такое барахло, тратится время и деньги, которые пригодились бы для сохранения других зубов. 4 Ссылка на комментарий
___49___ Опубликовано 28 ноября, 2019 Поделиться Опубликовано 28 ноября, 2019 Здравствуйте! Подскажите как лучше восстановить 3.6 зуб после эндодонтии? Вкладка + коронка? Прикрепленные изображения В данной клинической ситуации пересадка 8ки в место удаленной 6ки дало бы более прогнозируемый результат (у вас на контрольном снимке уже убегает кость в бифуркации) , тем более что у пациента ростковая зона в 8ке еще не закрыта ... Ссылка на комментарий
DmitrySH Опубликовано 28 ноября, 2019 Поделиться Опубликовано 28 ноября, 2019 Леча такое барахло, тратится время и деньги, которые пригодились бы для сохранения других зубов. Да уж, лучше бы кариесы на 34, 35 убрать 1 Ссылка на комментарий
red_butler Опубликовано 29 ноября, 2019 Поделиться Опубликовано 29 ноября, 2019 Имхо зуб не жилец, и потеряете кость в области фуркации 1 Ссылка на комментарий
Рекомендуемые сообщения
Для публикации сообщений создайте учётную запись или авторизуйтесь
Вы должны быть пользователем, чтобы оставить комментарий
Создать аккаунт
Зарегистрируйте новый аккаунт в нашем сообществе. Это очень просто!
Регистрация нового пользователяВойти
Уже есть аккаунт? Войти в систему.
Войти