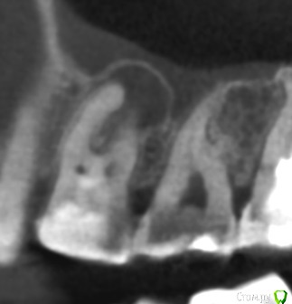
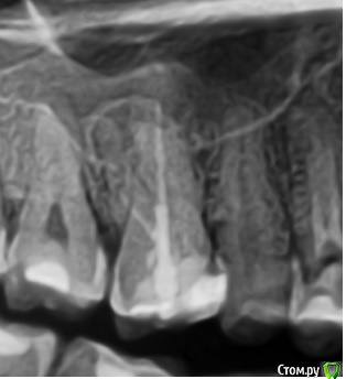
vse32 Опубликовано 8 ноября, 2019 Поделиться Опубликовано 8 ноября, 2019 16 зуб.Тему немного обсудили с хирургами на счет правильной имплантации. Появилось мнение, что реально добиться хорошего результата только эндодонтией. Я имею сомнения на этот счет. Вернее, 50 на 50.Что бы Вы выбрали? Эндодонтическое лечение или сразу имплантация. Ссылка на комментарий
Kolchanov Опубликовано 8 ноября, 2019 Поделиться Опубликовано 8 ноября, 2019 Я не видел еще стоматолога, который бы не спасал свои корешки до последнего. А тут такой зубище... 1 Ссылка на комментарий
vse32 Опубликовано 8 ноября, 2019 Автор Поделиться Опубликовано 8 ноября, 2019 Мне нужны хоть какие-нибудь гарантии. Константин, у Вас есть кейсы на все случаи жизни. Покажите исцеление оболочечных кист. Боюсь я этих оболочечников. Ссылка на комментарий
vse32 Опубликовано 8 ноября, 2019 Автор Поделиться Опубликовано 8 ноября, 2019 свои корешки Это не мои корешки, а чужие. Был бы кто из близких - эндодонтировала бы не задумываясь. Но тут придется брать деньги и обещать. Ссылка на комментарий
Kolchanov Опубликовано 8 ноября, 2019 Поделиться Опубликовано 8 ноября, 2019 Диагностическое лечение. Есть русская поговорка: обещать не значит жениться. 2 1 Ссылка на комментарий
Злючка Опубликовано 8 ноября, 2019 Поделиться Опубликовано 8 ноября, 2019 Эндодонтия и динамическое наблюдение. А как можно что-то обещать в такой ситуации? Если динамика отрицательная, удаление и имплант Ссылка на комментарий
krokomot Опубликовано 8 ноября, 2019 Поделиться Опубликовано 8 ноября, 2019 Предложите пациенту сделать выбор, учитывая ситуацию, и не нужно закрывать собой амбразуру... Ссылка на комментарий
катерина 81 Опубликовано 11 ноября, 2019 Поделиться Опубликовано 11 ноября, 2019 В таком случае,оставляю выбор за пациентом,объясняю,все перспективы и денежные,и временные,взвешиваем все за и против,и приходим к общему знаменателю так сказать Ссылка на комментарий
annda Опубликовано 11 ноября, 2019 Поделиться Опубликовано 11 ноября, 2019 Отличный кейс для апикалки щечных корней. Купол кисты - это фактически синус лифтинг, там ведь тоненькая косточка. Если суметь это сохранить и за счет апикалки вырастить там кость, то даже в будущем будет профит немалый 1 Ссылка на комментарий
Рекомендуемые сообщения
Для публикации сообщений создайте учётную запись или авторизуйтесь
Вы должны быть пользователем, чтобы оставить комментарий
Создать аккаунт
Зарегистрируйте новый аккаунт в нашем сообществе. Это очень просто!
Регистрация нового пользователяВойти
Уже есть аккаунт? Войти в систему.
Войти