Thunder Опубликовано 17 октября, 2019 Поделиться Опубликовано 17 октября, 2019 Приветствую всехПрошу быть снисходительными: рассказываю свою историю первый раз, заранее приношу извинения за возможный сумбур и некорректность в использовании проф. терминологии. Мне 40 лет. У меня:-глубокий прикус-скученность зубов во фронтальном отделе в/ч и н/ч; -короткая уздечка верхней губы, -мелкое преддверие полости рта, -тонкий биотип пародонта; -проблемы с суставом (левым), который периодически дает о себе знать: обычно ограничивается щелканьем, но пару раз и воспалялся (боли, рот с трудом открывался, особенно по утрам). Ничего, кроме местных мазей на сустав не наносила и особенно им никогда не занималась.- В этом году мне поставили диагноз полиостеоартроз (болят суставы нижних конечностей). - постепенно появился перекос челюсти влево, видно уже невооруженным глазом (возможно, после удаления верхней левой восьмерки)Прикус никогда не исправляла, по разным причинам, в том числе, потому что не хотела ставить брекеты. И сейчас не хочу (комплексы). Комплексы от некрасивой улыбки тоже были, но к своей внешности за столько лет уже привыкла (и смирилась), кроме того она мне совершенно не мешала жить. Однако!В последние годы вынесла основную мысль от стоматологов – мои суставы разрушаются (в большей степени левый), происходит это из-за моего прикуса, который срочно надо исправлять. Эстетика лица для меня – вторична. Вся работа над зубами должна проводиться именно для сохранения сустава (ну и чтобы зубы не потерять).В начале 2019 г. были сделаны ОПТГ, КТ и ТРГ. Есть еще зонография ВНЧС (правда от 2017г.) // не поняла, как КТ подгрузить, но есть описание врача Пикассо. Если надо будет, просто загружу как текст. Остальные фото, надеюсь, подгрузить получится// По КТ ортодонт, к которому я, наконец, обратилась, выявил «убыль костной ткани межальвеолярных гребней и вестибулооральных стенок по смешаному типу до 2,0 мм.» (кортикальная пластинка истончена по вестибулярной поверхности на передних зубах (в/ч зубы 1.2-1.1,2.1-2.4; н/ч зубы 3.1.-3.4, 4.1-4.5) до 0,1 мм). Мой ортодонт (лечение на капах) сказала, что риск потерять зубы при лечении на капах – 50/50, при лечении на брекетах – и того выше. После этого, конечно, я ушла.Стала искать дальше. Каждый раз мнения разнились:1 вариант: можно капами исправить прикус, но крайне осторожно2 вариант: только (!) брекеты. Тема потери зубов обходится стороной или уверяют, чтобы зубы останутся на месте засчет длинных корней. Если я не поставлю брекеты притом срочно – через несколько лет я потеряю все зубы, и мне придется тратиться на съемные протезы3 вариант: зубы вообще не трогать, просто всю жизнь носить каппу, помогающую моему суставу.4 вариант (стоит особняком): суставная каппа на нижнюю челюсть + одновременно аппарат ALF на верхнюю.Почему ALF? потому что из всех ортодонтических аппаратов для исправления прикуса этот – самый щадящий. Брекеты категорически не рекомендованы, потому что самые агрессивные по воздействию, каппы дороже + отмели из-за сустава: его было удобнее лечить параллельно с ALF. Смысл использования у меня ALF (как поняла) не столько в расширении челюсти, сколь в изменении наклона верхних зубов, которые не «пускают» нижнюю челюсть вперед. Мои зубы при этом не выпадут, а врастут в кость, изменив угол наклона.Второй этап – ALF или инвизилайн на нижнюю челюсть; и для возобновления смыкания боковых зубов – пломбы или коронки (эта часть смутила). В данном лечебном плане было прекрасно все, кроме моей неуверенности в достаточной квалификации врача. У меня сложилось впечатление, что для врача эта методика как бы.. далеко не основная. Она использует ALF просто как один из вариантов ортодонтических аппаратов (наряду с брекетами и пр.), а я так понимаю, у ALF философия немного другая (тесная связь с осанкой, остеопатией и пр.) – хотя могу и ошибаться. И в принципе эта методика новая, не особенно опробованная в России, отзывов нет, особенного опыта у врачей тоже. Страшно.Мучают вопросы, на которые здесь, возможно, получу ответы:1. мне были рекомендованы френулопластика на в/ч, вестибулопластика на н/ч. На сколько это необходимо в моем случае и что будет, если я их делать не буду2. последний ортодонт мне пригрозил полной потерей зубов через некоторое время, если не поставлю брекеты. Она была единственной, кто мне озвучил подобные последствия. Альтернативой исправления прикуса действительно будет только полное протезирование через несколько лет? если я не буду делать ничего, то чем, на самом деле это грозит? 3. какие ортодонтические аппараты при моих лежащих на поверхности зубах мне рекомендованы? не потеряю ли я зубы в результате лечения?страшно! 4. ваше мнение об ALF!5. в продолжение 3-го вопроса: возможно ли (при варианте «брекеты») мое лечение на лингвальных брекетах? можно в комбинированном варианте: в/ч лингвальные + н/ч обычные вестибулярные? готова терпеть все неудобства с ними связанные. но "внешние" брекеты не хочу, не могу психологически заставить себя носить. 6. так понимаю, что, учитывая мой диагноз полиостеоартроз и проблемы с суставом – о нем я тоже не должна забывать. И должна лечиться у врача, который эти проблемы (и все остальные) умеет учитывать. В общем, хотелось бы услышать ваши рекомендации по поводу врача в Москве. Можно в личку Заранее спасибо! Ссылка на комментарий
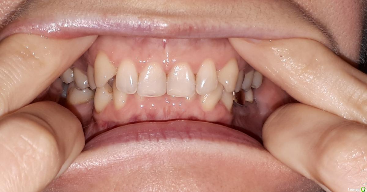
krokomot Опубликовано 17 октября, 2019 Поделиться Опубликовано 17 октября, 2019 сделайте фото передних зубов с десной со вспышкой, попросите кого-нибудь. зубы вы точно не потеряете, но проблемы есть. Ссылка на комментарий
Thunder Опубликовано 21 октября, 2019 Автор Поделиться Опубликовано 21 октября, 2019 сделайте фото передних зубов с десной со вспышкой, попросите кого-нибудь. зубы вы точно не потеряете, но проблемы есть. Ссылка на комментарий
krokomot Опубликовано 21 октября, 2019 Поделиться Опубликовано 21 октября, 2019 Не вижу проблем использовать бреккеты. Атрофии десны нет. Ставте бреккеты и лечите свой прикус. Ссылка на комментарий
Thunder Опубликовано 23 октября, 2019 Автор Поделиться Опубликовано 23 октября, 2019 Не вижу проблем использовать бреккеты. Атрофии десны нет. Ставте бреккеты и лечите свой прикус.Кроме брекетов никакие другие варианты не рассматриваются? и что насчет лингвальных брекетов? Ссылка на комментарий
krokomot Опубликовано 23 октября, 2019 Поделиться Опубликовано 23 октября, 2019 Кроме брекетов никакие другие варианты не рассматриваются? и что насчет лингвальных брекетов?Не выдумывайте себе проблемы, используйте классический вариант, самый надежный и предсказуемый и безопасный. Ссылка на комментарий
Рекомендуемые сообщения
Для публикации сообщений создайте учётную запись или авторизуйтесь
Вы должны быть пользователем, чтобы оставить комментарий
Создать аккаунт
Зарегистрируйте новый аккаунт в нашем сообществе. Это очень просто!
Регистрация нового пользователяВойти
Уже есть аккаунт? Войти в систему.
Войти