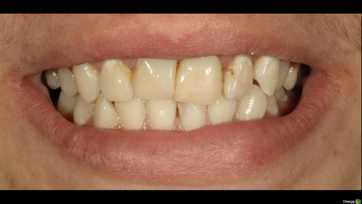
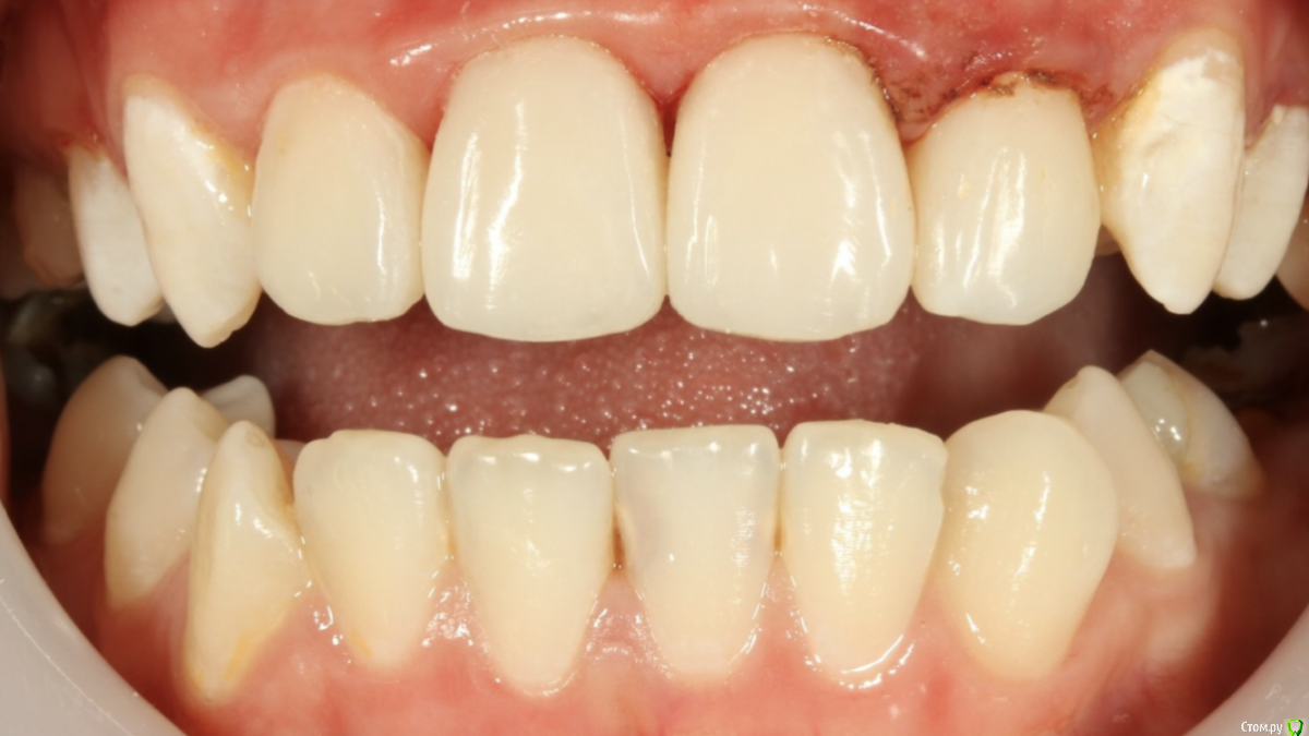
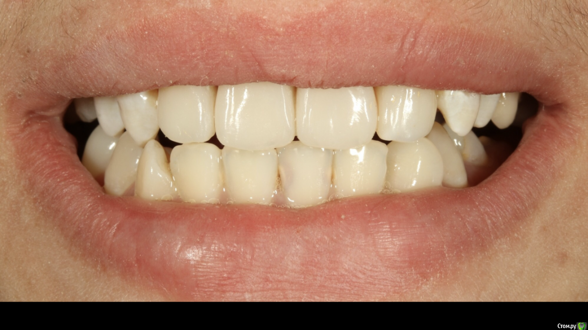
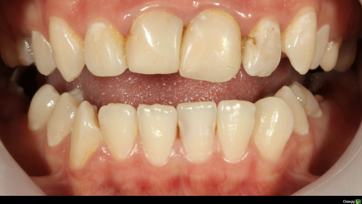
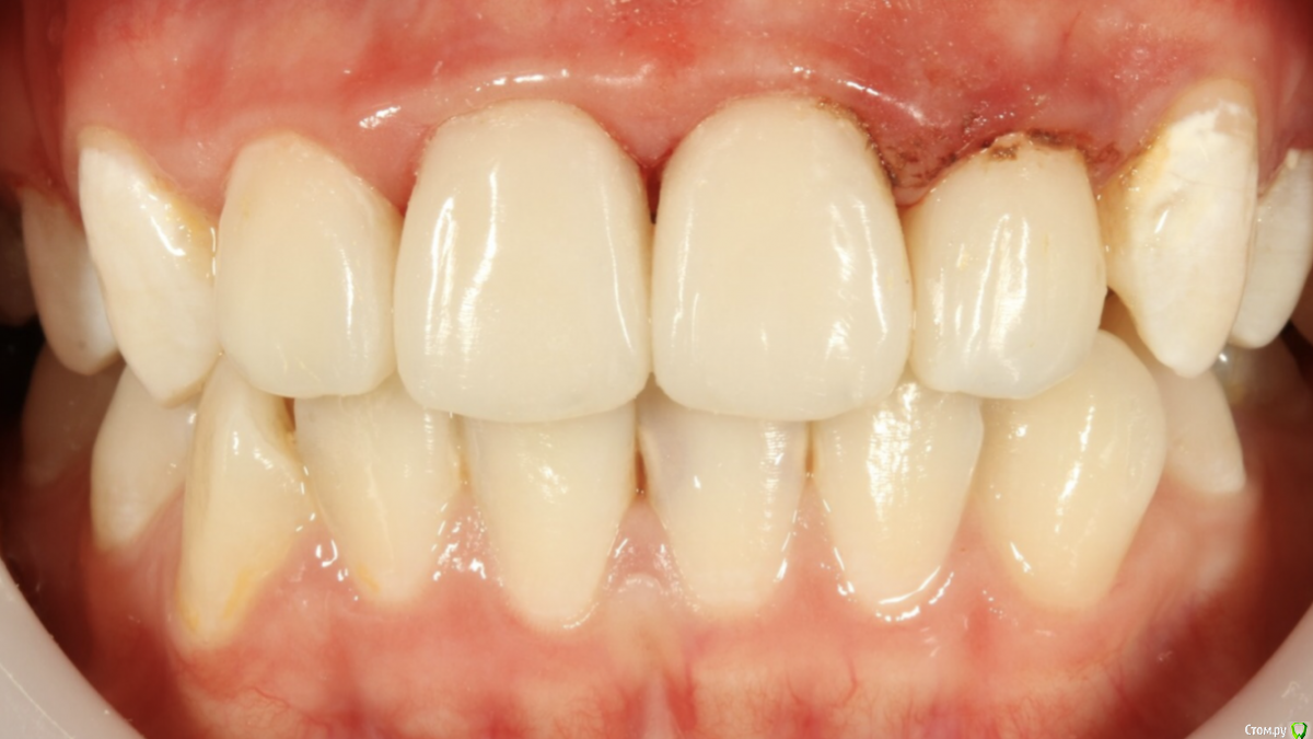
Медея хт Опубликовано 9 октября, 2019 Поделиться Опубликовано 9 октября, 2019 Добрый вечер, уважаемые коллеги!Сегодня делала рестарацию передних зубов, очень хочу услышать ваше мнение, критику и замечания, фото прилагаю) 8 Ссылка на комментарий
Мартовский Опубликовано 9 октября, 2019 Поделиться Опубликовано 9 октября, 2019 Красиво, техника исполнения на высоком уровне. Надеюсь пациентка понимает, что ухудшила возможности реабилитации в плане ортодонтии. 2 Ссылка на комментарий
dentikl Опубликовано 10 октября, 2019 Поделиться Опубликовано 10 октября, 2019 Добрый вечер, уважаемые коллеги!Сегодня делала рестарацию передних зубов, очень хочу услышать ваше мнение, критику и замечания, фото прилагаю)Супер.Чем полировали? 1 Ссылка на комментарий
Vladimirov Опубликовано 10 октября, 2019 Поделиться Опубликовано 10 октября, 2019 очень достойно! 1 Ссылка на комментарий
1586Doc Опубликовано 10 октября, 2019 Поделиться Опубликовано 10 октября, 2019 Добрый вечер, уважаемые коллеги!Сегодня делала рестарацию передних зубов, очень хочу услышать ваше мнение, критику и замечания, фото прилагаю)Работа красивая, Вы молодец. Скажите, у Вас материал не сохнет ? 1 Ссылка на комментарий
Vladimirov Опубликовано 10 октября, 2019 Поделиться Опубликовано 10 октября, 2019 у Вас материал не сохнет ? да он у всех сохнет. В соседней теме написали-надо греть 1 Ссылка на комментарий
St. Опубликовано 10 октября, 2019 Поделиться Опубликовано 10 октября, 2019 да он у всех сохнет. В соседней теме написали-надо греть +1. или быстро использовать, тогда не успевает сохнуть 1 Ссылка на комментарий
dr Alexandr Опубликовано 10 октября, 2019 Поделиться Опубликовано 10 октября, 2019 Отличная работа ))Как восстанавливали контакты? 1 Ссылка на комментарий
Медея хт Опубликовано 10 октября, 2019 Автор Поделиться Опубликовано 10 октября, 2019 Добрый вечер! Спасибо большое за отзывы, они стали для меня неожиданостью..)Красиво, техника исполнения на высоком уровне. Надеюсь пациентка понимает, что ухудшила возможности реабилитации в плане ортодонтии.Наверное, я понимаю это лучше, чем она(( Полировка набором Komet и белым кендо. Материал если начал кристаллизоваться, то и не грею, и не использую, потом надо где- то, что- то да и переделывать, как правило это последняя четверть шприца, но к сожалению, бывает и раньше(( Ссылка на комментарий
krokomot Опубликовано 10 октября, 2019 Поделиться Опубликовано 10 октября, 2019 Красиво, форма отличная 1 Ссылка на комментарий
Медея хт Опубликовано 11 октября, 2019 Автор Поделиться Опубликовано 11 октября, 2019 Отличная работа ))Как восстанавливали контакты?Спасибо, прозрачными матрицами) Красиво, форма отличнаяСпасибо!) Ссылка на комментарий
dentikl Опубликовано 13 октября, 2019 Поделиться Опубликовано 13 октября, 2019 Спасибо, прозрачными матрицами) Спасибо!)а покажете фото отпрепарированных зубов? 1 Ссылка на комментарий
Рекомендуемые сообщения
Для публикации сообщений создайте учётную запись или авторизуйтесь
Вы должны быть пользователем, чтобы оставить комментарий
Создать аккаунт
Зарегистрируйте новый аккаунт в нашем сообществе. Это очень просто!
Регистрация нового пользователяВойти
Уже есть аккаунт? Войти в систему.
Войти