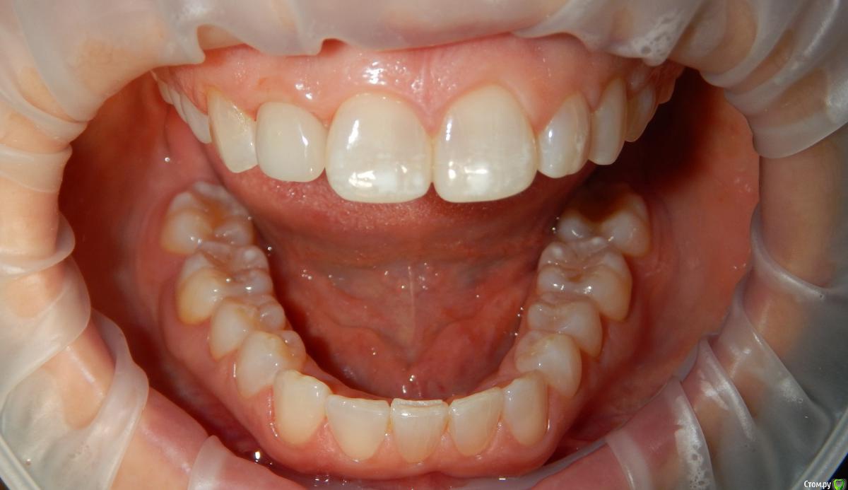
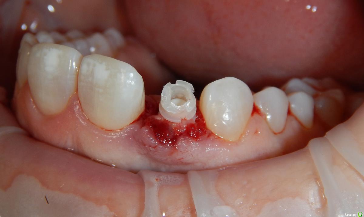
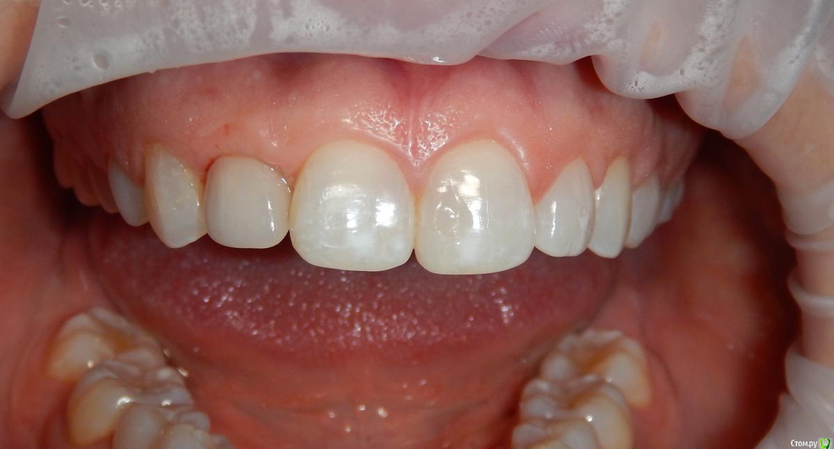
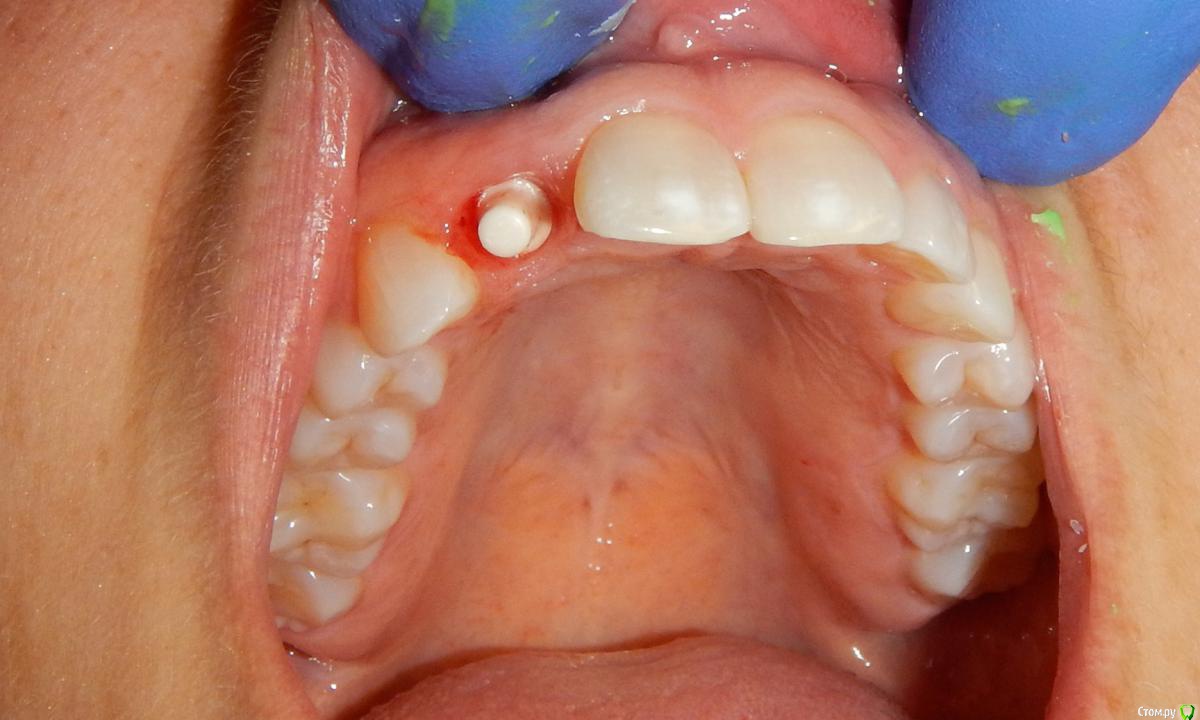
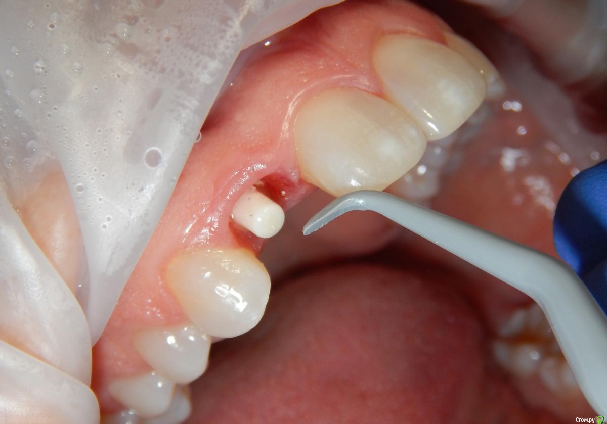
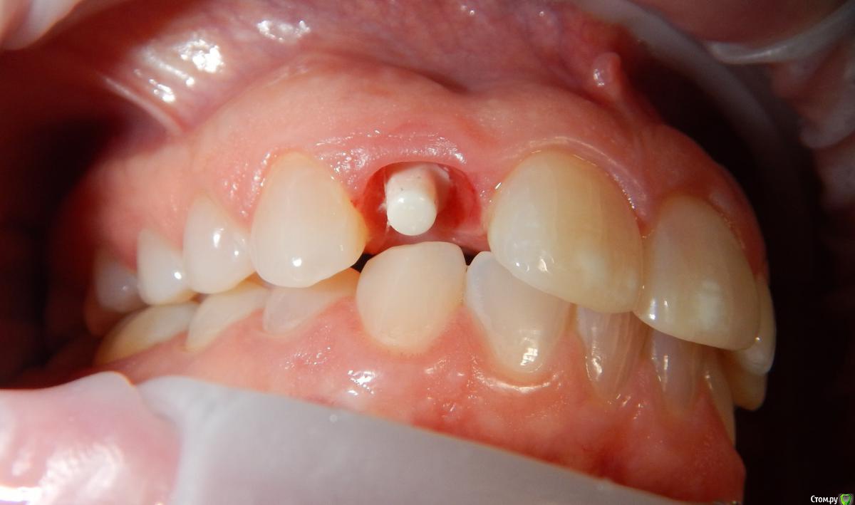
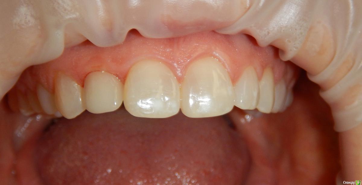
Astronaft Опубликовано 20 сентября, 2019 Поделиться Опубликовано 20 сентября, 2019 На примере этого кейса хочу рассказать о некоторых ньюансах работы с циркониевыми имплантами. - большинство зиркониевых имплантов на рынке неразборные.- некоторые менее известные компании предлагают разборные циркониевые импланты ( цементируемый и винтовой абатмент), но доверия к ним мало из-за высокой вероятности поломок. Во всяком случаеа пока.- подтачивать цирконий не рекомендуют т.к. это вызывает распростарнение никротрещин и тем самым укорачивает срок службы.- механ. свойства циркония намного ниже чем у титана. Испанская CeraRoot не рекомендует превышать торк 35нсм т.к. были случаи трещин и поломок.http://miworks.weebly.com/uploads/1/6/8/7/16879370/ceraroot_orig.jpg Свой выбор я остановил на Штрауман Pure.Пожизненнаа гарантия ( и обмен) от одного из лидеров при условии что абатмент никак механически не дорабатывается Допущение реалистичных торков >80нсм Итак, пациент имела адгезивный композитный мост.http://miworks.weebly.com/uploads/1/6/8/7/16879370/dscn9062_orig.jpg http://miworks.weebly.com/uploads/1/6/8/7/16879370/dscn9063_orig.jpg Небольшое воспаление под понтиком. http://miworks.weebly.com/uploads/1/6/8/7/16879370/dscn9079_orig.jpg http://miworks.weebly.com/uploads/1/6/8/7/16879370/dscn9085_orig.jpg Специальные позиционеры покажут положение абатмента.Одна из граней должна быть параллельна вестибулярной поверхности, правильно расчитать глубину уступа.Здесь видно что мало места до антагониста. http://miworks.weebly.com/uploads/1/6/8/7/16879370/dscn9087_orig.jpg Легкая коррекция. Достаточно места для антагониста, и достаточно с вестибулярной стороны для коронки. http://miworks.weebly.com/uploads/1/6/8/7/16879370/dscn9092_orig.jpg http://miworks.weebly.com/uploads/1/6/8/7/16879370/dscn9089_orig.jpg Осталось достич хорошего торка и остановиться параллельно вестибуларной стороне. http://miworks.weebly.com/uploads/1/6/8/7/16879370/dscn9093-copy_orig.jpg http://miworks.weebly.com/uploads/1/6/8/7/16879370/dscn9094_orig.jpg http://miworks.weebly.com/uploads/1/6/8/7/16879370/dscn9096_orig.jpghttp://miworks.weebly.com/uploads/1/6/8/7/16879370/dscn9098_orig.jpg http://miworks.weebly.com/uploads/1/6/8/7/16879370/dscn9099_orig.jpg http://miworks.weebly.com/uploads/1/6/8/7/16879370/dscn9102_orig.jpg http://miworks.weebly.com/uploads/1/6/8/7/16879370/dscn9104_orig.jpg По времянке видно что места на ошибку практически нет - не мешать антагонистам, не выстоять вестибулярно, не пилить абатмент, http://miworks.weebly.com/uploads/1/6/8/7/16879370/dscn9106_orig.jpg http://miworks.weebly.com/uploads/1/6/8/7/16879370/dscn9108_orig.jpg 3 месяца. http://miworks.weebly.com/uploads/1/6/8/7/16879370/dscn9658_orig.jpg Простой оттиск. http://miworks.weebly.com/uploads/1/6/8/7/16879370/dscn9650_orig.jpg Коронка слегка серит.http://miworks.weebly.com/uploads/1/6/8/7/16879370/dscn9660_orig.jpg Коррекция цвета. http://miworks.weebly.com/uploads/1/6/8/7/16879370/dscn9663_orig.jpg http://miworks.weebly.com/uploads/1/6/8/7/16879370/dscn9665_orig.jpg Предложил пациентке слегка скорректировать зенит, но ее все устроило как есть. Вывод:Необходимо тщательное планирование позиции во всех плоскостях. Не для новичков имплантации. В который раз отмечаю замечательное состояние десны вокруг циркониевых имплантов 3 Ссылка на комментарий
wladdX Опубликовано 20 сентября, 2019 Поделиться Опубликовано 20 сентября, 2019 Почему-то иллюстрации не открываются. 4 Ссылка на комментарий
Astronaft Опубликовано 20 сентября, 2019 Автор Поделиться Опубликовано 20 сентября, 2019 Почему-то иллюстрации не открываются.Извините, не учел интернет обстановку. Дублирую. - механ. свойства циркония намного ниже чем у титана. Испанская CeraRoot не рекомендует превышать торк 35нсм т.к. были случаи трещин и поломок. Свой выбор я остановил на Штрауман Pure.Пожизненнаа гарантия ( и обмен) от одного из лидеров при условии что абатмент никак механически не дорабатывается Допущение реалистичных торков >80нсм Итак, пациент имела адгезивный композитный мост. Небольшое воспаление под понтиком. Специальные позиционеры покажут положение абатмента.Одна из граней должна быть параллельна вестибулярной поверхности, правильно расчитать глубину уступа.Здесь видно что мало места до антагониста. Коррекция положения Осталось достич хорошего торка и остановиться параллельно вестибуларной стороне. По времянке видно что места на ошибку практически нет - не мешать антагонистам, не выстоять вестибулярно, не пилить абатмент, 3 месяца спустя. Птостой оттиск. Коронка. Подчистка цемента пластиковым скейлером. Предложил пациентке слегка скорректировать зенит, но ее все устроило как есть. Вывод:Необходимо тщательное планирование позиции во всех плоскостях. Не для новичков имплантации. В который раз отмечаю замечательное состояние десны вокруг циркониевых имплантов 19 Ссылка на комментарий
Dman Опубликовано 27 сентября, 2019 Поделиться Опубликовано 27 сентября, 2019 на что фиксировали? Ссылка на комментарий
Astronaft Опубликовано 2 октября, 2019 Автор Поделиться Опубликовано 2 октября, 2019 на что фиксировали? 3M RelyX luting 2Это модифицированный стеклоиномер (неадгезивная фиксация). Ссылка на комментарий
Dman Опубликовано 4 октября, 2019 Поделиться Опубликовано 4 октября, 2019 3M RelyX luting 2Это модифицированный стеклоиномер (неадгезивная фиксация). не представляю как контролировать излишки цемента - у вас же около 3мм под десной. Сразу вымываете из пустера? Ссылка на комментарий
Astronaft Опубликовано 5 октября, 2019 Автор Поделиться Опубликовано 5 октября, 2019 Сразу вымываете из пустера?Пустером вы ничего не добьётесь.Конечно это не винтовая фиксация где граница отполирована, но пытаюсь достичь на клиническом уровне следующими шагами:1. Упакованная нить вокруг уступа, ее легко вынять с избытком цемента.2. Последующее прохождение флоссом с узелком вокруг (как змея вокруг столба)3. Выбор цемента - даже если останутся маленькие крошки - стеклоиономер вымоется/раствориться.4. Минимум цемента в коронку (еле еле пленка размазанная брашиком по принципу лучше пусть будет пустота чем значительный избыток) 3 Ссылка на комментарий
annda Опубликовано 6 октября, 2019 Поделиться Опубликовано 6 октября, 2019 3M RelyX luting 2Это модифицированный стеклоиномер (неадгезивная фиксация).То бишь компомер? Ссылка на комментарий
Kotyara Опубликовано 6 октября, 2019 Поделиться Опубликовано 6 октября, 2019 ну так и зачем тогда??? Ссылка на комментарий
Astronaft Опубликовано 7 октября, 2019 Автор Поделиться Опубликовано 7 октября, 2019 То бишь компомер?3M разделяют их как разные категории. В модифицированном стеклоиономере композита как бы намного меньше и реакция идет стеклоиономерная. Толерантность к влаге больше, пост.операционная чувствительность меньше. В компомере больше композита, стеклоиономерной (химической) реакции меньше, толерантностть к влаге ниже. Так вот описывают в мануале. Этот сделан на опыте и по подобию Витремера. Ссылка на комментарий
Dman Опубликовано 7 октября, 2019 Поделиться Опубликовано 7 октября, 2019 Пустером вы ничего не добьётесь.Конечно это не винтовая фиксация где граница отполирована, но пытаюсь достичь на клиническом уровне следующими шагами:1. Упакованная нить вокруг уступа, ее легко вынять с избытком цемента.2. Последующее прохождение флоссом с узелком вокруг (как змея вокруг столба)3. Выбор цемента - даже если останутся маленькие крошки - стеклоиономер вымоется/раствориться.4. Минимум цемента в коронку (еле еле пленка размазанная брашиком по принципу лучше пусть будет пустота чем значительный избыток) ну почему же, есть следующий вариант: замешиваете реликс, в коронку, в полость рта и недожидаясь полимеризации вымываете все пустером вода-воздух. Если все прилегает точно, то фиксация занимает секунды времени и не нужны кофферы и тд. Услышал этот вариант от доктора - фиксирует так кучу единиц (коронок накладок) за 5 минут, сам не пробовал, но может вам с циркониевыми имплантами пригодится. Ссылка на комментарий
annda Опубликовано 7 октября, 2019 Поделиться Опубликовано 7 октября, 2019 А коронка при вымывании стоит на опоре при этом?В случае,если шов глубоко,то как это поможет.А вот если коронку снять и пока цемент в рабочем времени,быстро все вымыть , просушить и обратно нахлобучить...Но есть риск получить кровотечение из десны и загрязнение рабочего поля(В данном случае,я бы об аналог коронку с цементом быстро обжимала,убирала излишки цемента с краёв коронки и в рот на абатмент,раз не пилится ничего во рту. Ссылка на комментарий
Smileee Опубликовано 8 октября, 2019 Поделиться Опубликовано 8 октября, 2019 Рассматриваете риск задуть постером цемент под абатмент? Ссылка на комментарий
Astronaft Опубликовано 9 октября, 2019 Автор Поделиться Опубликовано 9 октября, 2019 вымываете все пустером вода-воздух.но может вам с циркониевыми имплантами пригодится.Я вам точно говорю, намного легче заметить и вынять конгломерат цемента, чем тонкую пленку, которая будет разрываться маленькими хлопьями. Ссылка на комментарий
Astronaft Опубликовано 9 октября, 2019 Автор Поделиться Опубликовано 9 октября, 2019 А вот если коронку снять и пока цемент в рабочем времени,быстро все вымыть , просушить и обратно нахлобучить...Но есть риск получить кровотечение из десны и загрязнение рабочего поля (Даже если нет аналога или абатмент уже во рту, можно быстро аналог абатмента из Протемпа отлить и делать по вашему варианту вне рта. Ссылка на комментарий
Карен Аванесов Опубликовано 20 января, 2021 Поделиться Опубликовано 20 января, 2021 Необходимо тщательное планирование позиции во всех плоскостях. Не для новичков имплантации. В который раз отмечаю замечательное состояние десны вокруг циркониевых имплантов "Отдаленными" результатами довольны? Все же редкий "зверь", интересно. Ссылка на комментарий
Astronaft Опубликовано 21 января, 2021 Автор Поделиться Опубликовано 21 января, 2021 "Отдаленными" результатами довольны? Все же редкий "зверь", интересно.Очень. Сильно радует состояние мягких тканей. Всего поставил около 2х десятков - все красавцы. Перимукозита не встречал, кость держат. 3 Ссылка на комментарий
Карен Аванесов Опубликовано 21 января, 2021 Поделиться Опубликовано 21 января, 2021 Очень. Сильно радует состояние мягких тканей. Всего поставил около 2х десятков - все красавцы. Перимукозита не встречал, кость держат.Круто! Показывайте еще работы пожалуйста. 3 Ссылка на комментарий
annda Опубликовано 21 января, 2021 Поделиться Опубликовано 21 января, 2021 Очень. Сильно радует состояние мягких тканей. Всего поставил около 2х десятков - все красавцы. Перимукозита не встречал, кость держат.Все во фронте? Немедленные, отсроченные? Ссылка на комментарий
Astronaft Опубликовано 24 января, 2021 Автор Поделиться Опубликовано 24 января, 2021 (изменено) Все во фронте? Немедленные, отсроченные?Все отсроченно.Моляры-премоляры в большинстве.Немедленно тяжело угадать с протоколом - очень неагрессивный дизайн. И если разборные можно зашить, то здесь необходимо делать вакуумную каппу и надеятся что пациент ее будет методично носить 12 недель 24 часа. К тому же, уступ который вроде как нельзя пилить - непонятно как глубоко ставить в попытке компенсировать атрофию... Я думаю в определенных условиях я бы пошел на немедленную имплантацию, но пока не попадался скучай (лунка маленького диаметра, достаточная толщина вестибулярной кости). Изменено 24 января, 2021 пользователем Astronaft 3 Ссылка на комментарий
Рекомендуемые сообщения
Для публикации сообщений создайте учётную запись или авторизуйтесь
Вы должны быть пользователем, чтобы оставить комментарий
Создать аккаунт
Зарегистрируйте новый аккаунт в нашем сообществе. Это очень просто!
Регистрация нового пользователяВойти
Уже есть аккаунт? Войти в систему.
Войти