Zemtsov.alexander Опубликовано 28 августа, 2019 Поделиться Опубликовано 28 августа, 2019 Всем доброго времени суток, лечил 46 зуб по поводу пульпита, при вертикальной пломбировки вывел в медально-язычном канале гуттаперчу за верхушку, ваши прогнозы, какой ваш опыт в таких ситуациях? Пациент был неделю спустя, первые 2 дня зуб реагировал при накусывании, сейчас боль почти сошла на нет. Ссылка на комментарий
Dent32 Опубликовано 28 августа, 2019 Поделиться Опубликовано 28 августа, 2019 Живите спокойно. Ссылка на комментарий
vse32 Опубликовано 28 августа, 2019 Поделиться Опубликовано 28 августа, 2019 Так это вроде как пафф. Не страшно. Ссылка на комментарий
Zemtsov.alexander Опубликовано 29 августа, 2019 Автор Поделиться Опубликовано 29 августа, 2019 Спасибо) Ссылка на комментарий
Гарриевич Опубликовано 11 сентября, 2019 Поделиться Опубликовано 11 сентября, 2019 не беспокойтесь, это не главное Ссылка на комментарий
dr Alexandr Опубликовано 25 сентября, 2019 Поделиться Опубликовано 25 сентября, 2019 На первый взгляд ничего страшного, но я бы сделал снимок через 6 месяцев, для контроля! лишний материал за апексом, не есть норма 1 Ссылка на комментарий
Гарриевич Опубликовано 29 сентября, 2019 Поделиться Опубликовано 29 сентября, 2019 На первый взгляд ничего страшного, но я бы сделал снимок через 6 месяцев, для контроля! лишний материал за апексом, не есть нормадоказана, что это и не есть сама по себе проблема Ссылка на комментарий
ЛанаМ Опубликовано 30 сентября, 2019 Поделиться Опубликовано 30 сентября, 2019 Это индивидуально. Депульпировала как-то пациентке верхнюю семерку под коронку . В небном канале гуттаперча на 1 мм вышла за апекс. После пациентка жаловалась на чувствительность при жевании на этот зуб. И она не прошла, пока я не перепломбировала этот канал четко до верхушки. Возможно, выход гуттаперчи при периодонтитах, переносится легче. 1 Ссылка на комментарий
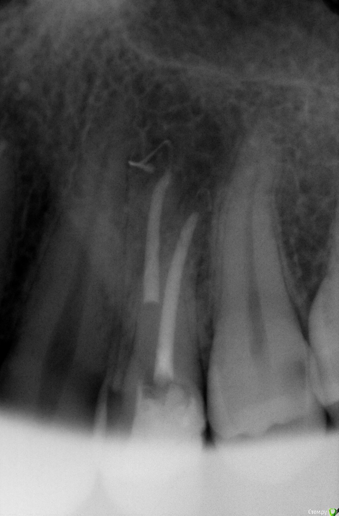
annda Опубликовано 30 сентября, 2019 Поделиться Опубликовано 30 сентября, 2019 не беспокойтесь, это не главное24_4668.jpg24_7625.jpg24_119616.jpgСилер, нет? Ссылка на комментарий
Гарриевич Опубликовано 3 октября, 2019 Поделиться Опубликовано 3 октября, 2019 Силер, нет?инжектор, гутта точно Ссылка на комментарий
Zemtsov.alexander Опубликовано 23 октября, 2019 Автор Поделиться Опубликовано 23 октября, 2019 Спустя два месяца пациент пришёл на осмотр, есть лёгкая реакция на перкуссию. Судя по снимку есть воспаление на 45 зубе, но реагирует именно 46 Ссылка на комментарий
Zemtsov.alexander Опубликовано 23 октября, 2019 Автор Поделиться Опубликовано 23 октября, 2019 Вот панорамный снимок Ссылка на комментарий
Петрович Опубликовано 30 октября, 2019 Поделиться Опубликовано 30 октября, 2019 Это индивидуально. Депульпировала как-то пациентке верхнюю семерку под коронку . В небном канале гуттаперча на 1 мм вышла за апекс. После пациентка жаловалась на чувствительность при жевании на этот зуб. И она не прошла, пока я не перепломбировала этот канал четко до верхушки. Возможно, выход гуттаперчи при периодонтитах, переносится легче.1 мм хуже чем 2 мм Ссылка на комментарий
Рекомендуемые сообщения
Для публикации сообщений создайте учётную запись или авторизуйтесь
Вы должны быть пользователем, чтобы оставить комментарий
Создать аккаунт
Зарегистрируйте новый аккаунт в нашем сообществе. Это очень просто!
Регистрация нового пользователяВойти
Уже есть аккаунт? Войти в систему.
Войти