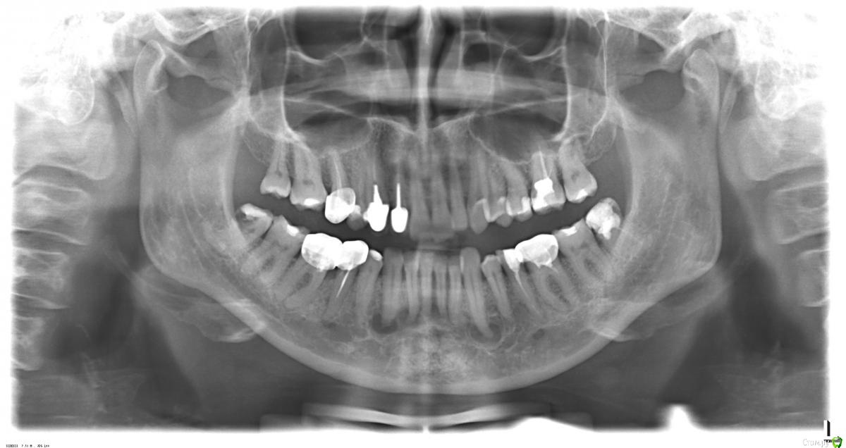
Бардо Опубликовано 8 августа, 2019 Поделиться Опубликовано 8 августа, 2019 Собственно обнаружил случайно, жалоб нет, весь фронт снизу интактен, термопроба в норме, отправил на клкт, пока жду, хотелось бы услышать мнение коллег по поводу данной ситуации. Что это вообще? Ссылка на комментарий
vse32 Опубликовано 8 августа, 2019 Поделиться Опубликовано 8 августа, 2019 Вы хотите сказать, что эти зубы чувствуют холод? Ссылка на комментарий
red_butler Опубликовано 8 августа, 2019 Поделиться Опубликовано 8 августа, 2019 Травма в анамнезе? Ссылка на комментарий
Бардо Опубликовано 8 августа, 2019 Автор Поделиться Опубликовано 8 августа, 2019 Вы хотите сказать, что эти зубы чувствуют холод?Я это и говорю. Холод чувствуют как здоровые Травма в анамнезе?Честно, не уточнил. Пациентка утверждает, что в никогда в жизни они её не беспокоили. Видимо, травмы не было. Ссылка на комментарий
Kolchanov Опубликовано 8 августа, 2019 Поделиться Опубликовано 8 августа, 2019 Я думаю, что это анатомия такой. ОПТГ - довольно толстый срез, до сантиметра во фронте. По КТ понятно будет все. Ссылка на комментарий
сирена Опубликовано 8 августа, 2019 Поделиться Опубликовано 8 августа, 2019 (изменено) Периапикальная цементная дисплазия? ПЕРИАПИКАЛЬНАЯ ЦЕМЕНТНАЯ ДИСПЛАЗИЯ Реактивный процесс. Странный ответ периапикальной кости и цемента на раздражители. Частый феномен- на апексе витального(ых) зубов. Чаще у женщин. Возраст- чаще 40 лет. Чаще в переднем отделе челюстей. Обычно 2-3 зуба поражает. Обнаруживают случайно. Асимптоматично. периапикальное рентгенолюцентное поражение, как бы продолжение PDL . Зубы всегда витальны. Через некоторое время становится mixed- смешанной, потом- радиоопактной(как бы созреает). Длится это несколько лет. Вариантом ПЦД является Florid Osteus Displasia. Лечения не требуют Дифференцируют с болезнью Педжета,диффузным склерозирующим остеомиелитом, гранулема. Изменено 8 августа, 2019 пользователем сирена 7 Ссылка на комментарий
Astronaft Опубликовано 9 августа, 2019 Поделиться Опубликовано 9 августа, 2019 Это 100% цементная дисплазия.Через 20 лет очаги опаковыми станут. 1 Ссылка на комментарий
Рекомендуемые сообщения
Для публикации сообщений создайте учётную запись или авторизуйтесь
Вы должны быть пользователем, чтобы оставить комментарий
Создать аккаунт
Зарегистрируйте новый аккаунт в нашем сообществе. Это очень просто!
Регистрация нового пользователяВойти
Уже есть аккаунт? Войти в систему.
Войти