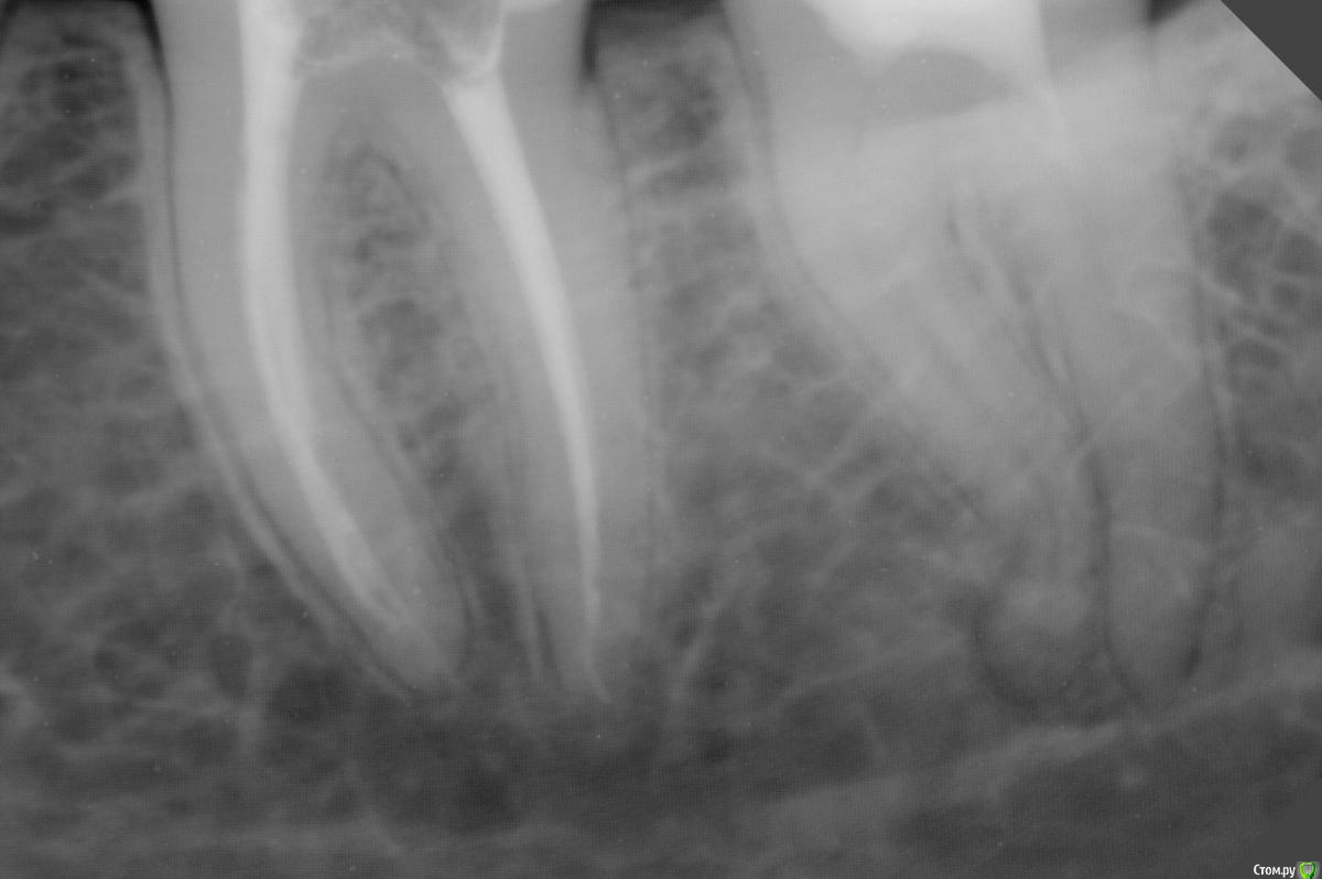
dr.Dre Опубликовано 7 августа, 2019 Поделиться Опубликовано 7 августа, 2019 Добрый день .Коллеги подскажите пожалуйста протокол работы с таким каналом?22 зуб Ссылка на комментарий
Kolchanov Опубликовано 7 августа, 2019 Поделиться Опубликовано 7 августа, 2019 Краун, до изгиба чем угодно, за изгиб что-то тоненькое и гибкое. Типа профайла 25.04. Но, даже если заступените криминала не будет. Плотно подогнанной гуттаперчиной активировать растворы полчасика и нормально будет. 2 Ссылка на комментарий
dr.Dre Опубликовано 8 августа, 2019 Автор Поделиться Опубликовано 8 августа, 2019 Краун, до изгиба чем угодно, за изгиб что-то тоненькое и гибкое. Типа профайла 25.04. Но, даже если заступените криминала не будет. Плотно подогнанной гуттаперчиной активировать растворы полчасика и нормально будет. спасибо Ссылка на комментарий
Shyrikkk Опубликовано 8 августа, 2019 Поделиться Опубликовано 8 августа, 2019 Как запасной вариант резекция Ссылка на комментарий
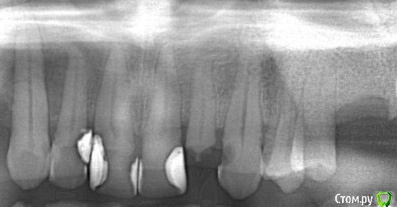
ЛанаМ Опубликовано 8 августа, 2019 Поделиться Опубликовано 8 августа, 2019 Пациентка недавно приходила с жалобами на боль при жевании в 37 зубе. Я отправила ее к другому специалисту, т.к. не уверена, что у меня есть что-то настолько гибкое. А чем лучше проходить такой канал по вашему мнению? Ссылка на комментарий
Kolchanov Опубликовано 8 августа, 2019 Поделиться Опубликовано 8 августа, 2019 Профайлы отлично берут изгибы. Главное - новые файлы и не торопиться. http://forum.stom.ru/topic/20766-materialy-dlia-edodontii/?view=findpost&p=321250 Ссылка на комментарий
Kolchanov Опубликовано 8 августа, 2019 Поделиться Опубликовано 8 августа, 2019 Самый максимум был тут http://forum.stom.ru/topic/21885-endosvalka/?view=findpost&p=422753с тех пор так похожего и не встретилось. Ссылка на комментарий
St. Опубликовано 10 августа, 2019 Поделиться Опубликовано 10 августа, 2019 Пациентка недавно приходила с жалобами на боль при жевании в 37 зубе. Я отправила ее к другому специалисту, т.к. не уверена, что у меня есть что-то настолько гибкое. А чем лучше проходить такой канал по вашему мнению?а еще лучше что нибудь из сплава с памятью формы(хайфлекс. соко или что то подобное) Ссылка на комментарий
ЛанаМ Опубликовано 12 августа, 2019 Поделиться Опубликовано 12 августа, 2019 S1 и S2 это что было? Протейперы? Ссылка на комментарий
St. Опубликовано 12 августа, 2019 Поделиться Опубликовано 12 августа, 2019 S1 и S2 это что было? Протейперы?да Ссылка на комментарий
ЛанаМ Опубликовано 13 августа, 2019 Поделиться Опубликовано 13 августа, 2019 Что-то мне не верится, что они могут так изогнуться. Ломались в каналах с гораздо меньшими изгибами при ковровой дорожке до 20. Ссылка на комментарий
Ico Опубликовано 16 августа, 2019 Поделиться Опубликовано 16 августа, 2019 Что-то мне не верится, что они могут так изогнуться. Ломались в каналах с гораздо меньшими изгибами при ковровой дорожке до 20.Так он ими до WL не рабаотал,только до первого изгиба. Ссылка на комментарий
Рекомендуемые сообщения
Для публикации сообщений создайте учётную запись или авторизуйтесь
Вы должны быть пользователем, чтобы оставить комментарий
Создать аккаунт
Зарегистрируйте новый аккаунт в нашем сообществе. Это очень просто!
Регистрация нового пользователяВойти
Уже есть аккаунт? Войти в систему.
Войти